Foram encontradas 50 questões.
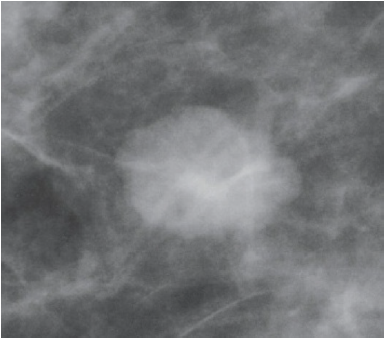
Paciente de 64 anos, sem história familiar de câncer de mama, sem queixas mamárias, comparece ao consultório com resultado de mamografia de rastreamento. Antecedentes: mamoplastia redutora há 20 anos. O laudo não apresenta classificação segundo BI-RADS, mas descreve nódulo oval, hiperdenso, margens microlobuladas, medindo 1,0x0,8cm em quadrante superolateral da mama esquerda. Ao exame físico: mamas médias sem alterações palpáveis. Abaixo imagem do exame. Assinale a alternativa que apresenta qual a melhor conduta para seguimento do caso.

Figura 1. Lesão em mamografia de rastreamento.
Provas
Questão presente nas seguintes provas
Sobre a propedêutica adequada do Mastologista, frente ao nódulo de mama, é correto afirmar:
Provas
Questão presente nas seguintes provas
Todos abaixo são critérios de suspeição de síndrome de câncer de mama hereditário, exceto:
Provas
Questão presente nas seguintes provas
Se Ana já fez 120% de 35% de uma tarefa, então a fração que representa o que ainda resta da tarefa é:
Provas
Questão presente nas seguintes provas
As seguintes características morfológicas de calcificações evidenciadas em mamografia sugerem malignidade, exceto:
Provas
Questão presente nas seguintes provas
Analise as afirmativas sobre a definição de micrometástase de carcinoma mamário invasivo em linfonodo axilar e assinale a alternativa correta.
I. Metástase até 0,2mm.
II. Metástase maior que 0,2mm.
III. Menos de 200 células tumorais.
IV. Mais de 200 células tumorais.
V. Metástase maior que 2mm.
II. Metástase maior que 0,2mm.
III. Menos de 200 células tumorais.
IV. Mais de 200 células tumorais.
V. Metástase maior que 2mm.
Provas
Questão presente nas seguintes provas
Os carcinomas da mama são divididos em dois grandes grupos: carcinoma in situ e carcinoma invasivo. Sobre o carcinoma mamário invasivo é incorreto afirmar:
Provas
Questão presente nas seguintes provas
Em relação aos seguintes subtipos de carcinoma mamário invasivo assinale a alternativa que não apresenta bom prognóstico
Provas
Questão presente nas seguintes provas
Assinale a alternativa que apresenta o estudo que demonstrou aumento das taxas de sobrevida livre de doença com o prolongamento da terapia adjuvante com inibidor de aromatase por 10 anos.
Provas
Questão presente nas seguintes provas
Paciente de 73 anos, sem comorbidades, realiza mamografia de rastreamento com laudo BI-RADS 4 (microcalcificações amorfas com extensão de 0,9cm, distando 1,0mm do complexo areolopapilar). Prossegue investigação da lesão com mamotomia, apresentando diagnóstico de carcinoma ductal in situ de baixo grau, receptores hormonais positivos. Assinale a alternativa que apresenta qual a melhor conduta:
Provas
Questão presente nas seguintes provas
Cadernos
Caderno Container