Foram encontradas 1.580 questões.
Homem, 55 anos, infarto agudo do miocárdio com supradesnivelamento do segmento ST de parede anterior, é encaminhado ao setor de hemodinâmica, para angioplastia primária. Ao ser posicionado na maca da hemodinâmica, evolui em parada cardiorrespiratória. Assinale a alternativa correta sobre a ressuscitação cardiopulmonar (RCP) desse paciente.
Provas
Paciente de 80 anos é considerada para implante de bioprótese aórtica por via percutânea (TAVI). Assinale a alternativa correta sobre a avaliação pré-implante e o procedimento.
Provas
Homem, 75 anos, diabético, e fibrilação atrial permanente em uso de anticoagulante oral direto (DOAC), apresenta infarto agudo do miocárdio de parede anterior, sendo tratado com angioplastia primária e implante de quatro stents farmacológicos, dois em artéria descendente anterior, um em artéria marginal esquerda e um em artéria coronária direita. Assinale a alternativa que apresenta a melhor estratégia sobre a combinação do DOAC e dos antiplaquetários.
Provas
Mulher, 75 anos, durante procedimento de implante de bioprótese aórtica (TAVI) há a suspeita de tamponamento cardíaco. Qual achado na curva de pressão do átrio esquerdo é compatível com o esse diagnóstico?
Provas
A técnica de implante do MitraClip para o tratamento da insuficiência mitral em pacientes com miocardiopatia dilatada tem aumento nos últimos anos. Assinale a alternativa correta sobre o dispositivo e a técnica de implante.
Provas
Assinale a alternativa que apresenta uma indicação possível de uso de anticoagulante oral direto (DOAC) em paciente com valvopatia.
Provas
Mulher de 29 anos com estenose mitral reumática grave deseja engravidar. É proposto o tratamento com valvoplastia com balão. Sobre esse procedimento para essa paciente, assinale a alternativa correta.
Provas
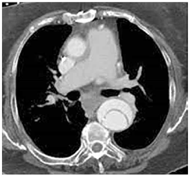
Homem, 60 anos, hipertenso, evolui com dor torácica em dorso de forte intensidade e início súbito, em caráter de facada. Realiza angiotomografia que evidencia a imagem a seguir. Frequência cardíaca de 90 bpm e pressão arterial de 240 x 120 mmHg.

É correto afirmar que
Provas
Homem, 45 anos, apresenta estenose mitral reumática com indicação de troca valvar. A fração de ejeção do ventrículo esquerdo é de 65%. Não apresenta outras comorbidades. Assinale a alternativa correta sobre pesquisa de doença arterial coronária (DAC) nesse paciente.
Provas
Em pacientes com insuficiência cardíaca crônica pode ser necessária a indicação de cardioversor-desfibrilador implantável (CDI) como prevenção primária de morte súbita. Assinale a alternativa que apresenta a uma indicação para implante de CDI neste cenário.
Provas
Caderno Container