Foram encontradas 1.460 questões.
Masculino, 47 anos, comparece ao consultório para uma segunda opinião. O mesmo recebeu o diagnóstico de Síndrome das pernas inquietas há 10 anos e está em uso de pramipexol 0,25 mg 3x/dia para controle dos sintomas. Apesar de inicialmente apresentar melhora no quadro, passou a queixar-se de alterações sensitivas em membros inferiores no início do sono com alívio temporário ao movimentar as pernas. Assinale a alternativa que apresenta a medicação que pode contribuir para a exacerbação dos sintomas da Síndrome das Pernas Inquietas.
Provas
A imagem a seguir refere-se a um homem de 62 anos com queixa de cefaleia crônica, claudicação mandibular e dores articulares difusas. Com base nestes dados e na imagem a seguir, assinale a alternativa correta referente ao possível diagnóstico deste paciente.

(https://link.springer.com/article/10.1007/s00296-007-0504-5)
Provas
Homem, 47 anos, admitido no pronto-socorro com quadro de febre não aferida, cefaleia holocraniana de intensidade progressiva nos últimos 3 dias e, há um dia, quadro de sonolência. Ao exame: presença de rigidez de nuca e temperatura de 39 ºC. Tomografia de crânio sem alterações. Realizada coleta de líquor. Até o resultado do exame de líquor ser liberado pelo laboratório, qual é a melhor opção de tratamento empírico na suspeita de meningite bacteriana neste caso?
Provas
Masculino, 57 anos, comparece ao consultório com queixa de fraqueza progressiva em porção proximal de membros superiores e inferiores e quedas frequentes da própria altura. Previamente a este período, era totalmente independente. Atualmente encontra-se dependente para levantar-se da cadeira. Além disso, refere disfagia para líquidos, perda de peso de 9 kg (não fez dieta) e dispneia aos esforços. Nunca fez uso de estatinas. Ex-tabagista. Ao exame apresenta força muscular grau 3 proximal dos membros superiores e inferiores, sem lesões de pele. Exames: creatinafosfoquinase (CPK) de 4 000 U/L. Eletroneuromiografia compatível com miopatia. Biópsia do quadríceps esquerdo compatível com miopatia necrosante. Assinale a alternativa que apresenta corretamente o diagnóstico deste paciente.
Provas
Feminina, 36 anos, foi admitida com antecedente de fraqueza em membros inferiores e superiores, proximal, associado à arreflexia e hipoestesia distal de início há 3 dias da internação. Antecedente de diarreia uma semana antes do início dos sintomas. Líquor mostrou leucócitos normais e proteinorraquia de 51 mg/dL. Sobre o diagnóstico desta paciente assinale a alternativa correta.
Provas
A neuropatia de fibras pequenas refere-se a distúrbios que danificam seletivamente as fibras nervosas sensoriais e autônomas desmielinizadas e finamente mielinizadas. Assinale a alternativa que apresenta corretamente uma condição relacionada a esta neuropatia de pequenas fibras.
Provas
Masculino, 66 anos, queixa-se de quedas há mais de 2 anos, não provocadas, tanto para trás como para frente. Nos últimos seis meses, passou a apresentar dificuldade para se alimentar, pois passou a derramar a comida nas roupas. Além disso, queixa-se de tontura crônica, e sua esposa referiu comportamento “estranho” em que ele passou a rir sem motivo. Ao exame, apresenta rigidez moderada do pescoço e membros inferiores, postura distônica nas mãos, redução do piscamento e dificuldade para acompanhar o objeto com olhar no plano vertical. Assinale a alternativa que apresenta o diagnóstico mais provável deste paciente.
Provas
Masculino, 70 anos, recebeu o diagnóstico de doença de Parkinson há 9 anos quando iniciou quadro de tremor em repouso na mão direita associado à rigidez. Desde então, vem sendo tratado com inibidores da monoamino oxidase tipo B e levodopa em doses crescentes. Há 4 anos, passou a apresentar flutuações, sendo que a dose de levodopa foi ajustada para ser tomada a cada 4 horas e foi adicionado entacapone aos medicamentos. No entanto, o paciente passou a apresentar discinesias e passou a ter maiores períodos de estado de “off”. Assinale a alternativa que apresenta a melhor opção terapêutica para este paciente.
Provas
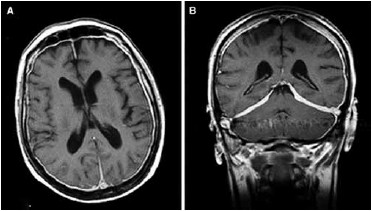
A síndrome de Coreia-Acantocitose é uma condição autossômica recessiva rara que cursa com alterações específicas no exame de ressonância magnética. Assinale a alternativa correta a respeito de uma destas alterações.
Provas
Vários medicamentos são conhecidos por desencadearem neuropatias periféricas. Assinale a alternativa que correlaciona corretamente a medicação ao tipo de neuropatia periférica.
Provas
Caderno Container