Foram encontradas 50 questões.
Homem de 61 anos é atendido com a principal preocupação de “tosse com sangue e fraqueza” nas últimas 5 semanas. Relata vários episódios de tosse com sangue vermelho vivo a cada poucos dias, aproximadamente, uma a duas colheres de sopa de cada vez, associado a dispneia leve. O paciente nega dor torácica, febre, calafrios ou viagens recentes. Ele desenvolveu recentemente cãibras musculares nos membros inferiores e tem dificuldade para se levantar de uma cadeira. O histórico é significativo para DPOC diagnosticada há 5 anos, hipertensão arterial e histórico de tabagismo de 40 maços/ano (atualmente, fuma 1 maço por dia).
O exame físico é notável por: sibilância expiratória final e uma fase expiratória prolongada na ausculta pulmonar; a força para flexão de quadril é reduzida (3/5); reflexos tendinosos profundos diminuídos bilateralmente nos membros inferiores. Os exames laboratoriais são normais, incluindo eletrólitos. A radiografia de tórax revela alterações típicas observadas na DPOC (diafragmas achatados, hiperinsuflação) e uma massa peri-hilar.
Nesse paciente, o diagnóstico mais provável é
Provas
Homem de 44 anos é avaliado por um histórico de 15 anos de episódios de cefaleia que se tornaram cada vez mais frequentes nos últimos 6 meses, ocorrendo atualmente entre 15 e 20 dias por mês. Ele descreve a dor de cabeça como uma sensação global de peso ou aperto que parece melhorar com exercícios ou distração. As cefaleias são frequentemente precedidas e acompanhadas por aperto no pescoço. Ele não apresenta fotofobia, fonofobia, náuseas, aura ou sintomas neurológicos. Acetaminofeno, treinamento de relaxamento e terapia cognitivo-comportamental foram ineficazes. Anti-inflamatórios causaram sintomas de refluxo gastroesofágico.
Todos os achados do exame físico, incluindo os sinais vitais, são normais.
Nesse momento, o tratamento preventivo de escolha é
Provas
No manejo do paciente politraumatizado com suspeita de lesão pélvica instável e hipotensão arterial, após as medidas iniciais na sala de emergência, qual é a conduta mais apropriada para promover estabilização hemodinâmica rápida?
Provas
Com relação ao carcinoma hepatocelular (CHC), assinale a alternativa correta em relação ao seu manejo cirúrgico.
Provas
Em relação ao tratamento cirúrgico das neoplasias de reto médio e inferior, qual alternativa reflete a melhor prática atual em relação à excisão mesorretal total (TME)?
Provas
Em pacientes com hemorragia digestiva baixa aguda significativa, na qual a endoscopia digestiva alta resultou normal, qual a conduta diagnóstica de escolha inicial após estabilização hemodinâmica?
Provas
Em relação à abordagem cirúrgica das hérnias inguinais em pacientes adultos, assinale a alternativa correta de acordo com as diretrizes mais recentes.
Provas
Qual dos exames a seguir, é considerado mais apropriado para a avaliação da extensão local do câncer esofágico avançado e definição do estadiamento T, de acordo com o sistema TNM de estadiamento?
Provas
O instrumento que é mais indicado para a dissecção delicada de planos avasculares em cirurgia colorretal é
Provas
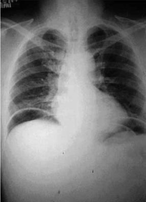
Homem, 69 anos, tabagista, com histórico de uso crônico de AINEs por osteoartrite, apresenta dor epigástrica súbita, intensa, há 4 horas, irradiando para dorso. Ao exame: abdome em tábua, dor à descompressão brusca, sinal de Jobert presente. PA 116/77 mmHg, FC 108 bpm, febre de 38,2ºC. Leucograma com 16.000/mm3 , lactato: 3,5 mmol/L. Radiografia de tórax em ortostase demonstrada na imagem a seguir.

(https://www.researchgate.net/)
Qual é a conduta mais apropriada?
Provas
Caderno Container