Foram encontradas 1.119 questões.
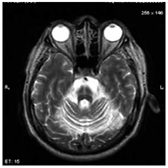
Homem de 68 anos apresenta lentificação progressiva
dos movimentos, rigidez muscular e instabilidade postural há três anos. Inicialmente, o quadro foi interpretado
como Parkinsonismo, mas a evolução clínica revelou
pobre resposta à levodopa, quedas frequentes, disautonomia e sinais cerebelares. A ressonância magnética do
encéfalo, a seguir, demonstrou atrofia do putâmen e do
cerebelo, com hipersinal na ponte (hot cross bun sign).
(https://www.google.com/imgres?q=resson%C3%A2ncia%20 magn%C3%A9tica%20do%20enc%C3%A9falo%20demonstrou%20atrofia%20do%20put%C3%A2men%20e%20do%20cerebelo%2C%20com%20hipersinal%20na%20ponte%20(%22hot%20cross%20bun%20sign%22).&imgu rl=https%3A%2F%2Fwww.researchgate.net%2Fpublication%2F339576611% 2Ffigure%2Ffig1%2FAS%3A11431281117679215%401675512276380%2FF igura-1-Imagem-em-T2-na-ressonancia-magnetica-corte-axial-mostrando- -hipersinal-tanto_Q320.jpg&imgrefurl=https%3A%2F%2Fwww.researchgate. net%2Fpublication%2F339576611_Sinal_da_Cruz&docid=qZYJTk75i4lkqM &tbnid=Mdjz47V0DR57UM&vet=12ahUKEwjyuYfA582LAxXRr5UCHXtyI3Q QM3oECAkQAA..i&w=320&h=320&hcb=2&ved=2ahUKEwjyuYfA582LAxXRr 5UCHXtyI3QQM3oECAkQAA)
Diante desse quadro clínico, qual é o diagnóstico mais provável?
(https://www.google.com/imgres?q=resson%C3%A2ncia%20 magn%C3%A9tica%20do%20enc%C3%A9falo%20demonstrou%20atrofia%20do%20put%C3%A2men%20e%20do%20cerebelo%2C%20com%20hipersinal%20na%20ponte%20(%22hot%20cross%20bun%20sign%22).&imgu rl=https%3A%2F%2Fwww.researchgate.net%2Fpublication%2F339576611% 2Ffigure%2Ffig1%2FAS%3A11431281117679215%401675512276380%2FF igura-1-Imagem-em-T2-na-ressonancia-magnetica-corte-axial-mostrando- -hipersinal-tanto_Q320.jpg&imgrefurl=https%3A%2F%2Fwww.researchgate. net%2Fpublication%2F339576611_Sinal_da_Cruz&docid=qZYJTk75i4lkqM &tbnid=Mdjz47V0DR57UM&vet=12ahUKEwjyuYfA582LAxXRr5UCHXtyI3Q QM3oECAkQAA..i&w=320&h=320&hcb=2&ved=2ahUKEwjyuYfA582LAxXRr 5UCHXtyI3QQM3oECAkQAA)
Diante desse quadro clínico, qual é o diagnóstico mais provável?
Provas
Questão presente nas seguintes provas
Paciente de 72 anos, previamente independente, é
levado à consulta pelos familiares devido a queixas
progressivas de esquecimento de eventos recentes,
dificuldade para se orientar em locais conhecidos e
mudanças no comportamento. A esposa relata que ele
tem demonstrado desinteresse por atividades antes
prazerosas e apresenta episódios de apatia. No exame
clínico, observa-se alteração na memória episódica,
sem déficits motores evidentes. O Mini-Exame do Estado Mental (MEEM) revelou pontuação de 20/30, com
maior comprometimento em memória e orientação.
Considerando os diagnósticos diferenciais das demências, assinale a alternativa correta.
Considerando os diagnósticos diferenciais das demências, assinale a alternativa correta.
Provas
Questão presente nas seguintes provas
Em relação à prevenção secundária do AVC isquêmico,
assinale a alternativa que corresponde a estratégia baseada nas diretrizes mais recentes.
Provas
Questão presente nas seguintes provas
A Miastenia Gravis (MG) é uma doença autoimune da
junção neuromuscular associada a autoanticorpos que
interferem na transmissão colinérgica.
Com base nos diferentes subtipos da doença e nos anticorpos detectados, assinale a alternativa correta.
Com base nos diferentes subtipos da doença e nos anticorpos detectados, assinale a alternativa correta.
Provas
Questão presente nas seguintes provas
Mulher de 62 anos, ex-tabagista, com antecedente de
adenocarcinoma pulmonar tratado há dois anos, apresenta cefaleia progressiva, episódios de desorientação
e fraqueza no membro superior esquerdo nas últimas
semanas. A tomografia computadorizada (TC) de crânio
com contraste revela múltiplas lesões hiperdensas, com
captação heterogênea de contraste e edema vasogênico
importante.
Diante desse quadro, a conduta inicial mais adequada é:
Diante desse quadro, a conduta inicial mais adequada é:
Provas
Questão presente nas seguintes provas
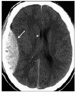
Homem de 45 anos foi atendido na emergência após
sofrer uma queda de altura. A tomografia de crânio encontra-se a seguir.
(https://www.google.com/url?sa=i&url=https%3A%2F%2Fwww.scielo.br%2Fj%2F rb%2Fa%2Fq8FxMFHx6VyBjmLvJnVNChf%2F%3Flang%3Dpt&psig=AOvVaw2 ATnROKFO8InWPDwkvIStP&ust=1739989651593000&source=images&cd=vfe &opi=89978449&ved=0CBQQjRxqFwoTCKjX2dzszYsDFQAAAAAdAAAAABAE)
Com base nesses achados, qual é o diagnóstico mais provável?
(https://www.google.com/url?sa=i&url=https%3A%2F%2Fwww.scielo.br%2Fj%2F rb%2Fa%2Fq8FxMFHx6VyBjmLvJnVNChf%2F%3Flang%3Dpt&psig=AOvVaw2 ATnROKFO8InWPDwkvIStP&ust=1739989651593000&source=images&cd=vfe &opi=89978449&ved=0CBQQjRxqFwoTCKjX2dzszYsDFQAAAAAdAAAAABAE)
Com base nesses achados, qual é o diagnóstico mais provável?
Provas
Questão presente nas seguintes provas
Homem de 45 anos, obeso e hipertenso, procura atendimento devido a sonolência excessiva diurna, roncos
intensos e episódios de sufocamento noturno relatados
por sua esposa. Ele refere acordar cansado e apresentar
dificuldade de concentração durante o dia. Foi submetido
à polissonografia, que evidenciou um Índice de Apneia-Hipopneia (IAH) de 38 eventos/hora, com saturação mínima
de oxigênio de 78%.
Com base nesse quadro clínico, qual é o diagnóstico mais provável e sua conduta inicial?
Com base nesse quadro clínico, qual é o diagnóstico mais provável e sua conduta inicial?
Provas
Questão presente nas seguintes provas
O que diferencia a Neuromielite Óptica (NMO) da Esclerose Múltipla em termos de biomarcadores?
Provas
Questão presente nas seguintes provas
A hidrocefalia de pressão normal (HPN) é uma condição caracterizada pela tríade clássica de disfunção da
marcha, demência e incontinência urinária, associada
à dilatação ventricular sem hipertensão intracraniana
evidente.
Em relação a essa condição, assinale a alternativa correta.
Em relação a essa condição, assinale a alternativa correta.
Provas
Questão presente nas seguintes provas
Mulher de 30 anos, com epilepsia do lobo temporal, encontra-se em tratamento com carbamazepina (CBZ). Ela
planeja engravidar e busca orientação médica sobre os
riscos e alternativas terapêuticas.
Qual a melhor conduta para esse caso?
Qual a melhor conduta para esse caso?
Provas
Questão presente nas seguintes provas
Cadernos
Caderno Container