Foram encontradas 1.119 questões.
Um médico é chamado para atestar o óbito de um
paciente internado há duas semanas devido a um acidente vascular cerebral (AVC). No prontuário, consta
que o paciente desenvolveu sepse de foco pulmonar
durante a internação, evoluindo para choque séptico
e disfunção múltipla de órgãos.
Considerando a correta declaração do atestado de óbito, qual das alternativas segue corretamente as diretrizes da CID-10 para preenchimento da causa básica da morte?
Considerando a correta declaração do atestado de óbito, qual das alternativas segue corretamente as diretrizes da CID-10 para preenchimento da causa básica da morte?
Provas
Questão presente nas seguintes provas
A hipersonia idiopática é um distúrbio caracterizado por
excessiva necessidade de sono e dificuldade em acordar,
sem causa identificável.
Em relação ao diagnóstico e tratamento dessa condição, assinale a alternativa correta.
Em relação ao diagnóstico e tratamento dessa condição, assinale a alternativa correta.
Provas
Questão presente nas seguintes provas
Paciente de 62 anos, com diabetes mellitus tipo 2 há 18
anos, apresenta queixas de formigamento, queimação e
dormência progressiva nos pés, que agora se estendem
até a região dos tornozelos. Ele também relata dificuldades para manter o equilíbrio, principalmente no escuro,
e episódios ocasionais de dor lancinante nos membros
inferiores. O exame neurológico revela redução da sensibilidade vibratória nos maléolos mediais, hiporreflexia
aquileia bilateral e força preservada nos membros inferiores.
Com base nesse quadro clínico, assinale a alternativa correta.
Com base nesse quadro clínico, assinale a alternativa correta.
Provas
Questão presente nas seguintes provas
Paciente de 34 anos foi admitido no pronto-socorro após
sofrer um acidente automobilístico. No exame inicial,
apresentava abertura ocular apenas ao estímulo doloroso, respostas verbais incompreensíveis e localizava o
estímulo doloroso com os membros superiores.
Com base na Escala de Coma de Glasgow (ECG), qual é a pontuação desse paciente e sua classificação do Traumatismo Cranioencefálico (TCE)?
Com base na Escala de Coma de Glasgow (ECG), qual é a pontuação desse paciente e sua classificação do Traumatismo Cranioencefálico (TCE)?
Provas
Questão presente nas seguintes provas
Paciente de 28 anos, previamente hígido, procura atendimento com febre alta (38,9ºC), cefaleia intensa, rigidez
de nuca e rebaixamento progressivo do nível de consciência. Não há história de viagens recentes, uso de imunossupressores ou exposição a animais. A punção lombar
revela os seguintes achados no líquor: aspecto turvo,
leucócitos: 2100 células/mm³ (90% polimorfonucleares),
Glicose: 32 mg/dL (glicemia sérica: 98 mg/dL), proteínas:
210 mg/dL e pressão de abertura: 290 mmH2
O.
Com base nesse quadro, o diagnóstico mais provável e a conduta correta é:
Com base nesse quadro, o diagnóstico mais provável e a conduta correta é:
Provas
Questão presente nas seguintes provas
Paciente de 52 anos apresenta fraqueza progressiva
há seis meses, com dificuldade para subir escadas e
levantar-se de cadeiras. O exame neurológico evidencia
fraqueza proximal nos membros inferiores e superiores,
sem envolvimento ocular. A eletroneuromiografia mostra
padrão miopático e a biópsia muscular revela inflamação
endomisial com invasão de fibras musculares por linfócitos T CD8+. Os níveis de creatina quinase (CK) estão
elevados.
Com relação ao diagnóstico e manejo dessa condição, assinale a alternativa correta.
Com relação ao diagnóstico e manejo dessa condição, assinale a alternativa correta.
Provas
Questão presente nas seguintes provas
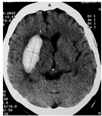
Homem de 67 anos, hipertenso de longa data e sem
acompanhamento médico regular, dá entrada no pronto-socorro com déficit motor súbito à esquerda, cefaleia
intensa e rebaixamento do nível de consciência. A tomografia computadorizada de crânio, encontra-se a seguir.
(https://www.google.com/url?sa=i&url=https%3A%2F%2Fwww.scielo.br%2Fj %2Fanp%2Fa%2FrYV49hvG7mV9MP8vRkxNgJg%2F%3Fformat%3Dpdf%2 6lang%3Dpt&psig=AOvVaw3DQEZ8OMFOj6pCJPnASmg6&ust=173998784 1048000&source=images&cd=vfe&opi=89978449&ved=0CBQQjRxqFwoTCI jd__zlzYsDFQAAAAAdAAAAABAE)
Qual das seguintes condutas é a mais apropriada nesse caso?
(https://www.google.com/url?sa=i&url=https%3A%2F%2Fwww.scielo.br%2Fj %2Fanp%2Fa%2FrYV49hvG7mV9MP8vRkxNgJg%2F%3Fformat%3Dpdf%2 6lang%3Dpt&psig=AOvVaw3DQEZ8OMFOj6pCJPnASmg6&ust=173998784 1048000&source=images&cd=vfe&opi=89978449&ved=0CBQQjRxqFwoTCI jd__zlzYsDFQAAAAAdAAAAABAE)
Qual das seguintes condutas é a mais apropriada nesse caso?
Provas
Questão presente nas seguintes provas
Paciente idosa é encaminhada para avaliação devido a
queixas de instabilidade postural e quedas frequentes.
Durante o exame físico, observa-se que ela oscila ao
ficar em pé com os pés juntos e os olhos fechados.
Esse achado é sugestivo do seguinte achado semiológico:
Esse achado é sugestivo do seguinte achado semiológico:
Provas
Questão presente nas seguintes provas
Em relação à transmissão do impulso nervoso no sistema
nervoso periférico, assinale a alternativa correta.
Provas
Questão presente nas seguintes provas
Paciente de 14 anos apresenta movimentos involuntários progressivos nos membros inferiores, inicialmente
após esforço físico, que evoluíram para torção e posturas
anormais envolvendo o tronco e membros superiores. O
exame neurológico mostra contrações simultâneas de
agonistas e antagonistas, sem déficits motores ou sensitivos, além de uma postura distônica fixa em um dos pés.
A ressonância magnética do encéfalo é normal.
Sabendo-se que o paciente tem um histórico familiar de distúrbios do movimento, qual a conduta diagnóstica e terapêutica?
Sabendo-se que o paciente tem um histórico familiar de distúrbios do movimento, qual a conduta diagnóstica e terapêutica?
Provas
Questão presente nas seguintes provas
Cadernos
Caderno Container