Foram encontradas 1.680 questões.
A imagem a seguir, de uma RNM da coxa direita, representa uma massa de crescimento rápido no grupo muscular posterior de um paciente do sexo masculino, negro, com lesões umbilicadas em tronco e membros superiores e inferiores. Chama a atenção a presença de uma mancha do tipo “café com leite”no ombro esquerdo. A biópsia incisional dessa lesão revelou “neoplasia fusiforme de padrão sarcomatóide; provavelmente se trata de um rabdomiossarcoma“.

A respeito desse caso clínico e da doença genética que predispõe ao surgimento da neoplasia, julgue os itens a seguir.
Provas
A imagem a seguir, de uma RNM da coxa direita, representa uma massa de crescimento rápido no grupo muscular posterior de um paciente do sexo masculino, negro, com lesões umbilicadas em tronco e membros superiores e inferiores. Chama a atenção a presença de uma mancha do tipo “café com leite”no ombro esquerdo. A biópsia incisional dessa lesão revelou “neoplasia fusiforme de padrão sarcomatóide; provavelmente se trata de um rabdomiossarcoma“.

A respeito desse caso clínico e da doença genética que predispõe ao surgimento da neoplasia, julgue os itens a seguir.
Provas
Uma paciente de 32 anos de idade, preocupada pelo fato de sua tia materna ter falecido por um câncer de mama aos 58 anos de idade compareceu à consulta e o médico solicitou uma mamografia digital. A imagem do exame realizado é apresentada a seguir.

O laudo do exame revela mamas densas com ausência de nódulos, apresentando linfonodos no respectivo prolongamento axilar, com pequenos cistos distribuídos em ambas as mamas com até 3 mm de diâmetro em sua dimensão máxima. O radiologista atribuiu a classificação BIRADS escore 2 para ambas as mamas.
Considerando esse caso clínico e os conhecimentos relativos ao rastreamento do câncer de mama, julgue os itens a seguir.
Provas
Uma paciente de 32 anos de idade, preocupada pelo fato de sua tia materna ter falecido por um câncer de mama aos 58 anos de idade compareceu à consulta e o médico solicitou uma mamografia digital. A imagem do exame realizado é apresentada a seguir.

O laudo do exame revela mamas densas com ausência de nódulos, apresentando linfonodos no respectivo prolongamento axilar, com pequenos cistos distribuídos em ambas as mamas com até 3 mm de diâmetro em sua dimensão máxima. O radiologista atribuiu a classificação BIRADS escore 2 para ambas as mamas.
Considerando esse caso clínico e os conhecimentos relativos ao rastreamento do câncer de mama, julgue os itens a seguir.
Provas
Uma paciente de 32 anos de idade, preocupada pelo fato de sua tia materna ter falecido por um câncer de mama aos 58 anos de idade compareceu à consulta e o médico solicitou uma mamografia digital. A imagem do exame realizado é apresentada a seguir.

O laudo do exame revela mamas densas com ausência de nódulos, apresentando linfonodos no respectivo prolongamento axilar, com pequenos cistos distribuídos em ambas as mamas com até 3 mm de diâmetro em sua dimensão máxima. O radiologista atribuiu a classificação BIRADS escore 2 para ambas as mamas.
Considerando esse caso clínico e os conhecimentos relativos ao rastreamento do câncer de mama, julgue os itens a seguir.
Provas
Uma paciente de 32 anos de idade, preocupada pelo fato de sua tia materna ter falecido por um câncer de mama aos 58 anos de idade compareceu à consulta e o médico solicitou uma mamografia digital. A imagem do exame realizado é apresentada a seguir.

O laudo do exame revela mamas densas com ausência de nódulos, apresentando linfonodos no respectivo prolongamento axilar, com pequenos cistos distribuídos em ambas as mamas com até 3 mm de diâmetro em sua dimensão máxima. O radiologista atribuiu a classificação BIRADS escore 2 para ambas as mamas.
Considerando esse caso clínico e os conhecimentos relativos ao rastreamento do câncer de mama, julgue os itens a seguir.
Provas
Uma paciente de 32 anos de idade, preocupada pelo fato de sua tia materna ter falecido por um câncer de mama aos 58 anos de idade compareceu à consulta e o médico solicitou uma mamografia digital. A imagem do exame realizado é apresentada a seguir.

O laudo do exame revela mamas densas com ausência de nódulos, apresentando linfonodos no respectivo prolongamento axilar, com pequenos cistos distribuídos em ambas as mamas com até 3 mm de diâmetro em sua dimensão máxima. O radiologista atribuiu a classificação BIRADS escore 2 para ambas as mamas.
Considerando esse caso clínico e os conhecimentos relativos ao rastreamento do câncer de mama, julgue os itens a seguir.
Provas
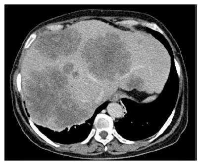
Paciente do sexo feminino, 62 anos de idade, relata dor abdominal em hipocôndrio direito há cerca de 1 mês e emagrecimento de 10 kg nos últimos 6 meses. Sem outras comorbidades. Nega história familiar de câncer de intestino. Ao exame físico: anictérica, palpada hepatomegalia dolorosa. A tomografia computadorizada de abdome evidenciou múltiplas metástases hepáticas inoperáveis e não passiveis de conversão. Tomografia computadorizada de tórax normal. CEA = 2.000 ng/ml. Colonoscopia mostrou lesão ulcerada em cólon sigmoide, ocupando 90% da luz do órgão. A biópsia da lesão em sigmoide confirmou adenocarcinoma de cólon. Pesquisa da mutação KRAS foi positiva.

Com base nesse caso clínico e nos conhecimentos médicos correlatos, julgue os itens a seguir.
Provas
Paciente do sexo feminino, 62 anos de idade, relata dor abdominal em hipocôndrio direito há cerca de 1 mês e emagrecimento de 10 kg nos últimos 6 meses. Sem outras comorbidades. Nega história familiar de câncer de intestino. Ao exame físico: anictérica, palpada hepatomegalia dolorosa. A tomografia computadorizada de abdome evidenciou múltiplas metástases hepáticas inoperáveis e não passiveis de conversão. Tomografia computadorizada de tórax normal. CEA = 2.000 ng/ml. Colonoscopia mostrou lesão ulcerada em cólon sigmoide, ocupando 90% da luz do órgão. A biópsia da lesão em sigmoide confirmou adenocarcinoma de cólon. Pesquisa da mutação KRAS foi positiva.

Com base nesse caso clínico e nos conhecimentos médicos correlatos, julgue os itens a seguir.
Provas
Paciente do sexo feminino, 62 anos de idade, relata dor abdominal em hipocôndrio direito há cerca de 1 mês e emagrecimento de 10 kg nos últimos 6 meses. Sem outras comorbidades. Nega história familiar de câncer de intestino. Ao exame físico: anictérica, palpada hepatomegalia dolorosa. A tomografia computadorizada de abdome evidenciou múltiplas metástases hepáticas inoperáveis e não passiveis de conversão. Tomografia computadorizada de tórax normal. CEA = 2.000 ng/ml. Colonoscopia mostrou lesão ulcerada em cólon sigmoide, ocupando 90% da luz do órgão. A biópsia da lesão em sigmoide confirmou adenocarcinoma de cólon. Pesquisa da mutação KRAS foi positiva.

Com base nesse caso clínico e nos conhecimentos médicos correlatos, julgue os itens a seguir.
Provas
Caderno Container