Foram encontradas 1.670 questões.
Uma criança de 12 anos de idade está em lista de espera para transplante pulmonar. Apresenta como diagnóstico fibrose cística. Está atualmente usando oxigenioterapia domiciliar em virtude de hipoxemia crônica. Na espirometria, o valor do VeF1 (volume total expirado no primeiro segundo) é < 15%.
No que se refere a esse caso clínico e com base nos conhecimentos médicos correlatos, julgue os itens a seguir.
A fibrose cística é a causa mais comum de indicação de transplante pediátrico.
Provas
Uma criança de 12 anos de idade está em lista de espera para transplante pulmonar. Apresenta como diagnóstico fibrose cística. Está atualmente usando oxigenioterapia domiciliar em virtude de hipoxemia crônica. Na espirometria, o valor do VeF1 (volume total expirado no primeiro segundo) é < 15%.
No que se refere a esse caso clínico e com base nos conhecimentos médicos correlatos, julgue os itens a seguir.
Transplante cardiopulmonar está indicado.
Provas
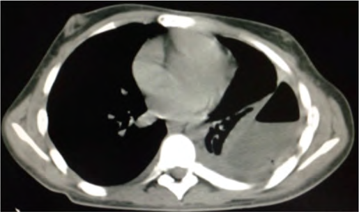
Um paciente do sexo masculino, jovem de 21 anos de idade, com diagnóstico prévio de esquizofrenia, foi internado para investigação de alteração na tomografia de tórax, conforme a imagem a seguir. A clínica apresentada era perda de peso, febre vespertina, tosse e um episódio de hemoptise. É familiar contactante de paciente com tuberculose ativa.

Acervo Pessoal.
Com base nesse caso clínico e nos conhecimentos médicos correlatos, julgue os itens a seguir.
O principal diagnóstico diferencial da condição apresentada pelo paciente é a sarcoidose.
Provas
Um paciente do sexo masculino, jovem de 21 anos de idade, com diagnóstico prévio de esquizofrenia, foi internado para investigação de alteração na tomografia de tórax, conforme a imagem a seguir. A clínica apresentada era perda de peso, febre vespertina, tosse e um episódio de hemoptise. É familiar contactante de paciente com tuberculose ativa.

Acervo Pessoal.
Com base nesse caso clínico e nos conhecimentos médicos correlatos, julgue os itens a seguir.
O mais provável fator de risco para a condição que o paciente apresenta é exposição ao asbesto e ao tabaco.
Provas
Um paciente do sexo masculino, jovem de 21 anos de idade, com diagnóstico prévio de esquizofrenia, foi internado para investigação de alteração na tomografia de tórax, conforme a imagem a seguir. A clínica apresentada era perda de peso, febre vespertina, tosse e um episódio de hemoptise. É familiar contactante de paciente com tuberculose ativa.

Acervo Pessoal.
Com base nesse caso clínico e nos conhecimentos médicos correlatos, julgue os itens a seguir.
Pleurodese está indicado como tratamento definitivo desse caso.
Provas
Um paciente do sexo masculino, jovem de 21 anos de idade, com diagnóstico prévio de esquizofrenia, foi internado para investigação de alteração na tomografia de tórax, conforme a imagem a seguir. A clínica apresentada era perda de peso, febre vespertina, tosse e um episódio de hemoptise. É familiar contactante de paciente com tuberculose ativa.

Acervo Pessoal.
Com base nesse caso clínico e nos conhecimentos médicos correlatos, julgue os itens a seguir.
Mesotelioma de pleura é o principal diagnóstico provável.
Provas
Um paciente do sexo masculino, jovem de 21 anos de idade, com diagnóstico prévio de esquizofrenia, foi internado para investigação de alteração na tomografia de tórax, conforme a imagem a seguir. A clínica apresentada era perda de peso, febre vespertina, tosse e um episódio de hemoptise. É familiar contactante de paciente com tuberculose ativa.

Acervo Pessoal.
Com base nesse caso clínico e nos conhecimentos médicos correlatos, julgue os itens a seguir.
O paciente tem indicação de pleuroscopia para descorticação pulmonar e biópsia de pleura.
Provas
Um paciente do sexo masculino, jovem de 21 anos de idade, com diagnóstico prévio de esquizofrenia, foi internado para investigação de alteração na tomografia de tórax, conforme a imagem a seguir. A clínica apresentada era perda de peso, febre vespertina, tosse e um episódio de hemoptise. É familiar contactante de paciente com tuberculose ativa.

Acervo Pessoal.
Com base nesse caso clínico e nos conhecimentos médicos correlatos, julgue os itens a seguir.
Espera-se, na análise do líquido pleural desse paciente, um exsudato com predomínio linfocítico e ADA elevado.
Provas
Considere um paciente de 75 anos de idade, tabagista ativo, cerca de 100 anos-maço, com achado ocasional de nódulo pulmonar. Esse paciente é previamente hígido e apresenta boa capacidade funcional para a realização de atividades físicas moderadas (academia duas vezes por semana e caminhadas duas vezes por semana). A tomografia computadorizada de tórax evidenciou uma lesão de 1,9 cm em topografia de lobo inferior do pulmão esquerdo. O PET-CT demonstrou que a lesão é hipercaptante, com SUV = 14,5. Não houve captação do radiofármaco nos linfonodos mediastinais, que se encontram de tamanho normal, e nem em demais órgãos a distância. A avaliação clínica préoperatória desse paciente e a espirometria permitem ressecção pulmonar. A biópsia pré-operatória confirmou tratar-se de um adenocarcinoma primário pulmonar.
Tendo em vista esse caso clínico e os conhecimentos médicos correlatos, julgue os itens a seguir.
Os três sítios mais comuns de metástases a distância da neoplasia que o paciente apresenta são fígado, adrenal e ossos.
Provas
Considere um paciente de 75 anos de idade, tabagista ativo, cerca de 100 anos-maço, com achado ocasional de nódulo pulmonar. Esse paciente é previamente hígido e apresenta boa capacidade funcional para a realização de atividades físicas moderadas (academia duas vezes por semana e caminhadas duas vezes por semana). A tomografia computadorizada de tórax evidenciou uma lesão de 1,9 cm em topografia de lobo inferior do pulmão esquerdo. O PET-CT demonstrou que a lesão é hipercaptante, com SUV = 14,5. Não houve captação do radiofármaco nos linfonodos mediastinais, que se encontram de tamanho normal, e nem em demais órgãos a distância. A avaliação clínica préoperatória desse paciente e a espirometria permitem ressecção pulmonar. A biópsia pré-operatória confirmou tratar-se de um adenocarcinoma primário pulmonar.
Tendo em vista esse caso clínico e os conhecimentos médicos correlatos, julgue os itens a seguir.
Terapia combinada com crizotinib e ceritinib está indicada como tratamento para o paciente nesse momento.
Provas
Caderno Container