Foram encontradas 1.269 questões.
Considerando indivíduos hipogonádicos sintomáticos, analise as seguintes situações:
I. Homens com níveis elevados de hematócrito.
II. Homens que ainda tenham interesse em prole.
III. Homens com câncer de mama.
IV. Homens com insuficiência cardíaca congestiva não controlada.
Em quais a terapia de reposição de testosterona NÃO está indicada?
Provas
A notação ASN.1 está presente nos protocolos de gerenciamento CMIP e SNMP. O papel da ASN.1 nestes protocolos é:
Provas
Sobre Filtros de Veia Cava Inferior (FVCI), analise as assertivas abaixo e assinale V, se verdadeiras, ou F, se falsas.
( ) Os FVCI são indicados para pacientes de alto risco para trombose venosa profunda que não podem receber profilaxia medicamentosa.
( ) A anticoagulação não deve ser retomada após a instalação de um FVCI, mesmo se o paciente não tiver contraindicações a ela.
( ) Um diâmetro máximo de veia cava inferior de 28-30 mm deve respeitado na maioria dos modelos de FVCI, o que não é um problema na imensa maioria dos casos, pois é rara a ocorrência da veia cava inferior com diâmetro maior que 28 mm.
( ) Em pacientes anticoagulados, tais medicamentos devem ser interrompidos para a remoção do filtro, reiniciando-se o mais brevemente possível após o procedimento.
A ordem correta de preenchimento dos parênteses, de cima para baixo, é:
Provas
A deformidade mais comumente vista no fragmento distal das fraturas de clavícula é a translação:
Provas
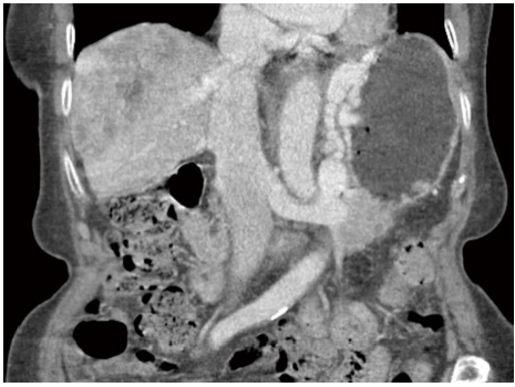
Mulher de 68 anos, com história de cirrose secundária a esteatohepatite não alcoólica, chega à emergência com quadro de vômitos em borra de café e fezes escurecidas nas últimas 48 horas, referindo ainda fraqueza e tonturas. Refere outro episódio semelhante no passado. Seu escore de Child é B (7 pontos), não apresenta história de encefalopatia ou ascite e sua hemoglobina é de 8g/dL. É realizada estabilização hemodinâmica com reposição volêmica seguida de endoscopia digestiva alta, na qual são observadas proeminentes varizes gástricas isoladas, com mucosa apresentando vergão vermelho e coágulos na cavidade, sem sangramento ativo no momento do exame. Uma angiotomografia venosa é realizada e está representada abaixo. Assinale a alternativa correta entre as abaixo.

Provas
Analise as seguintes assertivas de acordo com a Portaria nº 2.436/2017, que aprovou a Política Nacional de Atenção Básica, estabelecendo a revisão de diretrizes para a organização da Atenção Básica, no âmbito do SUS e assinale V, se verdadeiras, ou F, se falsas.
( ) Compete ao Ministério da Saúde a gestão das ações de Atenção Básica no âmbito da União, sendo responsabilidade da União definir e rever anualmente, de forma pactuada, na Conferência de Saúde, as diretrizes da Política Nacional de Atenção Básica.
( ) A Atenção Básica é o conjunto de ações de saúde individuais, familiares e coletivas que envolvem promoção, prevenção, proteção, diagnóstico, tratamento, reabilitação, redução de danos, cuidados paliativos e vigilância em saúde, desenvolvida por meio de práticas de cuidado integrado e gestão qualificada, realizada com equipe multiprofissional e dirigida à população em território definido, sobre as quais as equipes assumem responsabilidade sanitária.
( ) Todas as Unidades Básicas de Saúde são consideradas potenciais espaços de educação, formação de recursos humanos, pesquisa, ensino em serviço, inovação e avaliação tecnológica para a Rede de Atenção à Saúde.
A ordem correta de preenchimento dos parênteses, de cima para baixo, é:
Provas
base na Lei das Licitações (Lei nº 8.666/1993), considerando suas atualizações, analise as assertivas abaixo:
I. Um dos critérios definidos no Art. 24 para dispensa de licitação prevê a aquisição de componentes ou peças de origem nacional ou estrangeira, necessários à manutenção de equipamentos durante o período de garantia técnica, junto ao fornecedor original desses equipamentos, quando tal condição de exclusividade for para a vigência da garantia.
II. Os tipos de licitação previstos são: concorrência, tomada de preço, convite, concurso e leilão. No entanto, o Pregão foi incorporado como tipo de licitação a partir da Lei nº 10.520/2002.
III. Segundo o §4º do Art. 23, nos casos em que couber convite, a Administração poderá utilizar a tomada de preços e, em qualquer caso, a concorrência.
IV. Segundo o Art. 7º, as licitações para a execução de obras e para a prestação de serviços obedecerão ao disposto neste artigo e, em particular, à seguinte sequência: projeto básico, projeto executivo e execução das obras e serviços. Além disso, o § 1º define que a execução de cada etapa será obrigatoriamente precedida da conclusão e aprovação, pela autoridade competente, dos trabalhos relativos às etapas anteriores, à exceção do projeto executivo, o qual poderá ser desenvolvido concomitantemente com a execução das obras e serviços, desde que também autorizado pela Administração.
V. Segundo o Art. 6º, o Projeto Executivo é o conjunto de elementos necessários e suficientes, com nível de precisão adequado, para caracterizar a obra ou serviço, ou complexo de obras ou serviços objeto da licitação, elaborado com base nas indicações dos estudos técnicos preliminares, que assegurem a viabilidade técnica e o adequado tratamento do impacto ambiental do empreendimento, e que possibilite a avaliação do custo da obra e a definição dos métodos e do prazo de execução.
Quais estão corretas?
Provas
João trabalha em uma empresa de alta tecnologia e que investe em seu negócio de atuação. Como gerente de vendas, você gostou de um projeto proposto pelo seu funcionário. Sua apresentação foi tão eficaz para cúpula de gestão de negócios que eles lhe deram suporte total para seguir o projeto. Para isso acontecer, é preciso definir os stakeholders e seus objetivos, suas metas, funcionalidades, reunião de requisitos, necessidades a serem supridas, histórias, o que é necessário em seu projeto. Levando em conta que será usado uma metodologia ágil do tipo Scrum, qual o nome desse primeiro e principal artefato?
Provas
A evolução natural da hiperplasia benigna da próstata é a progressão. Os sintomas do trato urinário inferior são causados também pela hiperplasia prostática. Quais são os fatores de risco de progressão dos sintomas causados pela hiperplasia prostática, com risco de retenção urinária aguda e necessidade de cirurgia de desobstrução, e que servem como indicação de terapia combinada (alfa bloqueador e inibidor da 5 alfa redutase)?
Provas
Mulher, 55 anos, apresenta um carcinoma urotelial de alto grau, T1, com 2 cm de extensão, completamente ressecado, e com músculo presente no material enviado para exame anatomopatológico. Nesse caso, qual é a próxima medida a ser tomada?
Provas
Caderno Container