Magna Concursos

Foram encontradas 2.101 questões.

3727713 Ano: 2025
Disciplina: Medicina
Banca: FUNDATEC
Orgão: GHC
São contraindicações para a realização de punção lombar, EXCETO:
 

Provas

Questão presente nas seguintes provas
3727712 Ano: 2025
Disciplina: Medicina
Banca: FUNDATEC
Orgão: GHC
Sobre o abscesso cerebral, assinale a alternativa correta.
 

Provas

Questão presente nas seguintes provas
3727711 Ano: 2025
Disciplina: Medicina
Banca: FUNDATEC
Orgão: GHC
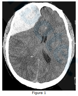
Homem jovem é admitido na emergência de um hospital terciário, vítima de acidente automobilístico (condutor de motocicleta). Ao exame, encontrava-se com pressão arterial 170/100 mmHg, frequência cardíaca de 47 bpm, ritmo respiratório irregular, frequência respiratória de 9 irpm, com saturação de oxigênio 90%. Sem lesões exsanguinantes. Ao exame neurológico, encontrava-se com abertura ocular à dor, emitindo palavras incompreensíveis e com postura de flexão anormal.
Após tomadas as condutas iniciais, ainda assim o paciente evoluiu com anisocoria à direita. Foi realizada tomografia de crânio de urgência, conforme apresentado na Figura 1 abaixo:
Enunciado 4483403-1

Considerando o achado radiológico, o diagnóstico tomográfico é:
 

Provas

Questão presente nas seguintes provas
3727710 Ano: 2025
Disciplina: Medicina
Banca: FUNDATEC
Orgão: GHC
Homem jovem é admitido na emergência de um hospital terciário, vítima de acidente automobilístico (condutor de motocicleta). Ao exame, encontrava-se com pressão arterial 170/100 mmHg, frequência cardíaca de 47 bpm, ritmo respiratório irregular, frequência respiratória de 9 irpm, com saturação de oxigênio 90%. Sem lesões exsanguinantes. Ao exame neurológico, encontrava-se com abertura ocular à dor, emitindo palavras incompreensíveis e com postura de flexão anormal.
Qual é a primeira conduta a ser realizada frente ao caso?
 

Provas

Questão presente nas seguintes provas
3727709 Ano: 2025
Disciplina: Medicina
Banca: FUNDATEC
Orgão: GHC
Homem jovem é admitido na emergência de um hospital terciário, vítima de acidente automobilístico (condutor de motocicleta). Ao exame, encontrava-se com pressão arterial 170/100 mmHg, frequência cardíaca de 47 bpm, ritmo respiratório irregular, frequência respiratória de 9 irpm, com saturação de oxigênio 90%. Sem lesões exsanguinantes. Ao exame neurológico, encontrava-se com abertura ocular à dor, emitindo palavras incompreensíveis e com postura de flexão anormal.
Com base nas informações apresentadas, qual é a pontuação na escala de coma de Glasgow do paciente?
 

Provas

Questão presente nas seguintes provas
3727708 Ano: 2025
Disciplina: Medicina
Banca: FUNDATEC
Orgão: GHC

O termo padrões eletroencefalográficos anormais refere-se a padrões de atividade elétrica cerebral julgados fora da faixa da normalidade no EEG. Referente aos padrões considerados anormais no ECG, analise as assertivas abaixo e assinale V, se verdadeiras, ou F, se falsas.

( ) Ritmo alfa abaixo de 8 Hz no adulto em vigília.

( ) Falta de reatividade à abertura ocular.

( ) Assimetria do ritmo Mu.

A ordem correta de preenchimento dos parênteses, de cima para baixo, é:

 

Provas

Questão presente nas seguintes provas
3727707 Ano: 2025
Disciplina: Medicina
Banca: FUNDATEC
Orgão: GHC
Nas doenças do sistema nervoso periférico, é correto afirmar que:
 

Provas

Questão presente nas seguintes provas
3727706 Ano: 2025
Disciplina: Medicina
Banca: FUNDATEC
Orgão: GHC
Considerando as fases do sono, assinale a alternativa correta.
 

Provas

Questão presente nas seguintes provas
3727705 Ano: 2025
Disciplina: Medicina
Banca: FUNDATEC
Orgão: GHC
Homem de 25 anos, hígido, com histórico de quadro infeccioso de resolução espontânea há 15 dias, procura a emergência por ter iniciado com fraqueza muscular progressiva e simétrica há 4 dias. Refere, ainda, parestesias discretas nos dedos das mãos. No exame neurológico, apresenta ausência de reflexos aquileu e patelar bilateralmente e não possui nível sensitivo. O exame de líquor evidenciou proteinorraquia de 80 mg/dL e 2 células/mm3 . O exame de eletroneuromiografia realizado no dia seguinte foi normal. Qual é a principal hipótese diagnóstica e o respectivo tratamento de escolha?
 

Provas

Questão presente nas seguintes provas
3727704 Ano: 2025
Disciplina: Medicina
Banca: FUNDATEC
Orgão: GHC
Levando-se em conta que o exame de EEG pode ser de grande utilidade na investigação etiológica e no diagnóstico diferencial do coma, é INCORRETO afirmar que:
 

Provas

Questão presente nas seguintes provas