Foram encontradas 600 questões.
A presença de baqueteamento digital é um sinal clínico de doenças crônicas, tais como fibrose cística, cardiopatias congênitas e síndrome hepatopulmonar. Em relação a esse sinal, eventualmente presente no exame físico de crianças e adolescentes, assinale a alternativa correta.
Provas
Os reflexos primitivos, presentes em recém-nascidos e lactentes, demonstram a integridade do sistema nervoso central. Tanto a ausência quanto a persistência desses reflexos podem sinalizar disfunções neurológicas. Em relação ao reflexo de preensão palmar, assinale a alternativa correta.
Provas
M.P., 7 anos, masculino, previamente diagnosticado com asma e epilepsia, faz uso contínuo de montelucaste de sódio, valproato de sódio, lamotrigina, carnitina e piridoxina. Ele chega à emergência em estado confusional que, segundo a mãe, começou há 24 horas. Ela nega febre, cefaleia, ou sintomas gastrintestinais. Não há relato de traumatismo. Os sinais vitais à entrada são: PA = 102 x 60 mmHg, frequência cardíaca = 86 bpm, frequência respiratória = 28 ipm, temperatura axilar = 36,3 ºC. Os exames laboratoriais detectaram hiperamonemia – um efeito colateral causado por um dos medicamentos acima, a saber:
Provas
Em relação às crises epilépticas e ao seu tratamento, considere as seguintes afirmativas:
1. Nas crises parciais ou focais, pode ocorrer perda da consciência (crises parciais complexas).
2. Epilepsia é definida no paciente que apresenta duas ou mais crises não provocadas dentro de um intervalo maior que 24 horas.
3. A fenitoína e o fenobarbital, aplicados de forma endovenosa, são os medicamentos de primeira escolha para tratamento de Estado de Mal Epiléptico.
4. O uso do ácido valproico pode causar trombocitopenia e pancreatite.
Assinale a alternativa correta.
Provas
Menino, 12 anos, trazido à consulta com o pediatra por dificuldades na aprendizagem e na comunicação e socialização. Apresenta casos familiares com dificuldade de aprendizagem na linha materna. Ao exame, apresenta face alongada, fronte e orelhas proeminentes, articulações hiperextensíveis, hipotonia global e aumento do volume testicular. O estudo genético mostrou o gene FMR1. Considerando os dados apresentados, o diagnóstico correto é síndrome:
Provas
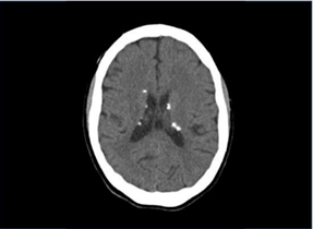
Menina, 4 anos, é trazida à consulta por crises convulsivas. Na avaliação, apresenta atraso de linguagem e, ao exame clínico, observam-se máculas hipopigmentadas em regiões lateral direita de abdome, perna direita, inguinal esquerda e dorso (fig.1). Observam-se nódulos eritematosos em região malar bilateralmente e dorso de nariz (fig.2). O exame de imagem apresenta nódulos subependimários (fig.3) e lesões em hiperdensas em parênquima cerebral. Apresentou síndrome de West no primeiro ano de vida.



Figura 1 Figura 2 Figura 3
Com base nos dados apresentados, o diagnóstico do caso é:
Provas
Sobre as características clínicas e evolutivas de lesões vasculares na infância, assinale a alternativa correta.
Provas
Sobre a identificação dos tipos de manchas hipocrômicas nas crianças, considere as seguintes afirmativas:
1. A hipocromia pós-inflamatória é comum após várias afecções cutâneas, como picadas de inseto, dermatite seborreica ou traumas locais.
2. O vitiligo é uma doença autoimune que cursa com lesões acrômicas, descamativas e mal delimitadas.
3. A esclerose tuberosa, uma enfermidade neurocutânea, pode apresentar manchas hipocrômicas em formato de folha.
4. A pitiríase alba é uma dermatose rara na infância, caracterizada por manchas hipocrômicas bem delimitadas e o tratamento é feito com antiparasitários.
Assinale a alternativa correta.
Provas
Uma menina de 3 anos apresenta há 4 dias febre e dificuldade de deglutição. Ao exame, apresenta lesões vesiculares nas plantas das mãos e dos pés, nas nádegas bem como lesões exulceradas na cavidade oral. A respeito do caso, considere as seguintes afirmativas:
1. O agente causal dessa doença é o vírus herpes e deve ser indicado precocemente aciclovir.
2. Trata-se de doença mão-pé-boca e o exantema pode estender-se para dorso de mãos.
3. Trata-se de infecção viral e o tratamento é sintomático e involui espontaneamente.
4. As lesões nas nádegas indicam que o diagnóstico é eritema infeccioso por parvovírus.
Assinale a alternativa correta.
Provas
Criança de 4 anos, há um mês com quadro de lesão ulcerativa, crostosa, úmida e endurada em membro superior direito de 5 cm de diâmetro, acompanhada de nódulos satélites em cordão. Refere contato com gato de estimação que foi a óbito com feridas na pele e mucosa. O diagnóstico para essa criança é:
Provas
Caderno Container