Foram encontradas 40 questões.
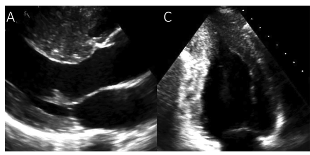
A cardiomiopatia hipertrófica é definida pela presença de hipertrofia ventricular esquerda na ausência de outras doenças sistêmicas, sindrômicas, metabólicas e cardíacas. É a anormalidade genética mais comum do miocárdio com uma prevalência estimada variando de 1:500 a 1:200.
Analise o ecocardiograma a seguir.

Sendo esse exame a modalidade de escolha inicial para o diagnóstico dessa patologia, assinale a alternativa correta.
Provas
O ecocardiograma intraoperatório é uma técnica de monitoramento de cirurgias cardíacas e não cardíacas que permite uma avaliação rápida e em tempo real dos detalhes anatômicos e funcionais cardíacos, função sistólica global e segmentar, função valvar, estado volêmico e resistência vascular.
Sendo esse exame muito útil na avaliação da regurgitação mitral, auxiliando na quantificação da gravidade da lesão, assinale a alternativa incorreta.
Provas
As câmaras cardíacas podem ser medidas de maneira seriada ao ecocardiograma para monitorar intervenção terapêutica e volemia do paciente. Existem técnicas corretas para se medir os diâmetros sistólico e diastólico do ventrículo esquerdo.
Sendo o ecocardiograma capaz de avaliar a resposta à ressuscitação volêmica dos pacientes criticamente comprometidos que estão em risco de insuficiência cardíaca ou hipoperfusão tecidual, assinale a alternativa incorreta.
Provas
Tamponamento cardíaco é uma condição ameaçadora à vida, causada pelo acúmulo de líquido no saco pericárdico que comprime as câmaras cardíacas e inibe o enchimento normal. Quando o tamponamento é suspeitado, o ecocardiograma bidimensional deve ser obtido em caráter de emergência.
Nesse contexto, assinale a alternativa correta.
Provas
A ecocardiografia é o principal exame complementar para a avaliação anatômica da valva mitral, sendo essencial para a definição da gravidade da estenose mitral e das repercussões hemodinâmicas.
Nesse contexto, analise os critérios a seguir.
I. Área valvar mitral < 1,5 cm2
II. Gradiente diastólico médio AE/VE ≥ 10 mmHg
III. PSAP ≥ 50 mmHg em repouso
IV. PSAP ≥ 60 mmHg com esforço
São critérios para diagnóstico de estenose mitral importante:
Provas
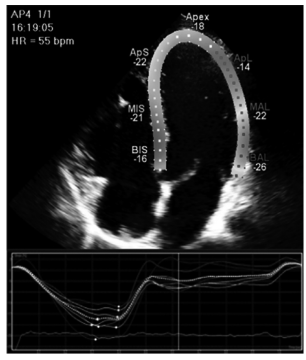
A figura a seguir representa um corte apical quatro câmaras ao ecocardiograma transtorácico mostrando o cálculo do strain global longitudinal (GLS), que descreve a mudança relativa do comprimento do miocárdio do ventrículo esquerdo entre a diástole final e sístole final por meio da fórmula GLS% = (MLs – MLd)/MLd.
Dados: ML: comprimento miocárdico, MLd: comprimento miocárdico diastólico, MLs: comprimento miocárdico sistólico.

Com relação a aspectos relacionados à técnica da captura da imagem cardíaca ao ecocardiograma, é incorreto afirmar:
Provas
Pacientes submetidos a troca valvar aórtica devem ser avaliados por meio do ecocardiograma e alguns parâmetros são elegíveis para essa análise, como pico da velocidade do fluxo aórtico, gradiente médio e área do orifício efetivo, além da razão de velocidades na via de saída e aórtica, tempo de aceleração e tempo de ejeção do fluxo sistólico.
Um algoritmo recente facilita a determinação da função protética. Baseado nas informações contidas nesse algoritmo, assinale a alternativa incorreta.
Provas
Um dos parâmetros mais comumente usados para descrever o tamanho do ventrículo esquerdo inclui a medida de suas dimensões internas e do seu volume ao ecocardiograma.
Ciente de que as medidas são realizadas ao final da sístole e da diástole, com o objetivo do cálculo da fração de ejeção, assinale a alternativa correta.
Provas
Sobre a cardiotoxicidade (após o uso de medicação cardiotóxica) e uso do strain global longitudinal (GLS), assinale com V as afirmativas verdadeiras e com F as falsas.
( ) A aplicação do GLS pela técnica do speckle tracking analisa a mecânica ventricular gradativamente quando associada ao uso de antineoplásicos, como antracíclicos e trastuzumabe.
( ) Revisão de vários estudos demonstraram a capacidade do GLS na detecção das alterações de deformação miocárdica de forma mais precoce que a queda da fração de ejeção do ventrículo esquerdo, seja imediatamente após a infusão da terapia ou em estágios mais tardios.
( ) Uma redução significativa do GLS em um momento em que a fração de ejeção do ventrículo esquerdo ainda está normal sinaliza que novas ferramentas diagnósticas são capazes de prever precocemente esse declínio.
( ) Ficou demonstrado que o GLS e a troponina não conseguiram prever disfunção sistólica em pacientes com câncer de mama como ficou comprovado em pacientes com leucemia e linfoma.
Assinale a sequência correta
Provas
A ética pode ser conceituada como “o conjunto de regras de comportamento e formas de vida que busca permitir às pessoas a realização do valor fundamental da existência, o bem” (Felizardo, 2012).
Nas instituições de prestação de serviço em saúde, existem conflitos relacionados ao descumprimento de regras estabelecidas e, sobretudo, à ignorância dos preceitos de ética e cidadania no ambiente de trabalho, decorrendo em denúncias e processos.
Nesse contexto, assinale a alternativa que exemplifica uma má conduta proposital do trabalhador de saúde, acarretando danos diretos e iminentes ao paciente.
Provas
Caderno Container