Foram encontradas 590 questões.
Mulher, 67 anos, deu entrada no Pronto Socorro com dor e edema de membro inferior direito associada a leve dispnéia. Tem antecedente de histerectomia com salpingo-ooforectomia bilateral videolaparoscópica por neoplasia de ovário há 6 dias, com alta hospitalar há 3 com medicação sintomática. À admissão, estava eupneica em ar ambiente, Sat O2 97%, PA 130 x 80 mmHg, Pulso 82 bpm. Ausculta pulmonar e cardíaca limpas. Abdome flácido, indolor, cicatrizes de bom aspecto. Edema de perna direita com dor à palpação dessa panturrilha, sem outras peculiaridades. Qual a primeira medida mais adequada para realização ainda no Pronto Socorro?
Provas
A inserção de um cateter venoso central (CVC) na veia subclávia direita requer conhecimento técnico específico. Qual das seguintes afirmações descreve corretamente a técnica de inserção do CVC?
Provas
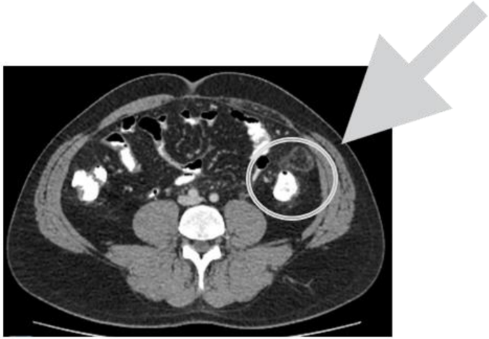
Homem, 47 anos, se apresenta ao Pronto Socorro com dor em fossa ilíaca esquerda há 1 dia sem febre ou demais sintomas. Nega episódios semelhantes ou cirurgias prévias. No exame físico, está em bom estado geral, normocárdico, afebril, abdome flácido, com dor localizada em fossa ilíaca esquerda, sem dor à descompressão brusca. Hemoglobina 14,8 g/dL (normal 12-16g/dL), Leucócitos 8750 s/ desvio (normal 6-10 mil), Proteína C Reativa 9 mg/L (normal até 5 mg/L). Realizada Tomografia, que observou a seguinte imagem.

Aponte o tratamento mais adequado:
Provas
Paciente masculino, 67 anos, diabético, apresenta lesão trófica em hálux direito com exposição tendínea. Angiotomografia evidencia oclusão da artéria femoral superficial em seu terço médio com reenchimento de artéria poplítea supragenicular via colaterais, e perviedade de artéria tibial posterior até o arco plantar. No planejamento do bypass femoropoplíteo supragenicular com veia safena magna invertida ipsilateral de bom calibre (3,8mm), considerando a técnica cirúrgica e manipulação do conduto, selecione a afirmativa correta.
Provas
No manejo da Síndrome Antifosfolípide (SAP), a anticoagulação é indicada para:
Provas
Paciente de 3 meses, portador de hidrocefalia por Síndrome de Dandy-Walker, apresentou três episódios de disfunção valvar por obstrução do cateter proximal em derivação ventriculoperitoneal programável gravitacional. Após avaliação por neuroimagem e análise do líquor, verifica-se alta concentração proteica (350mg/dL) e debris intraventriculares. Em relação à melhor conduta terapêutica específica para este caso, selecione a alternativa que representa o sistema de derivação mais apropriado para reduzir o risco de nova obstrução.
Provas
No exame físico de pacientes com suspeita de insuficiência arterial periférica crônica, a elevação do membro inferior seguida por sua descida para a posição dependente pode causar um rubor tardio do pé e palidez ao ser elevado novamente. Esse achado semiológico é denominado:
Provas
Paciente recém-nascido, sexo masculino, 40 semanas de idade gestacional, apresenta onfalocele gigante contendo fígado e intestino, associada à extrofia de cloaca. A respeito do manejo cirúrgico dessa complexa condição, assinale a alternativa correta:
Provas
O teste de imagem mais comumente utilizado na avaliação pré-operatória para determinar a presença de obstruções arteriais e avaliar o fluxo sanguíneo nos membros inferiores é:
Provas
A técnica cirúrgica indicada para realização de uma flebotomia na veia basílica envolve:
Provas
Caderno Container