Foram encontradas 485 questões.
Um lactente com dois meses de vida apresenta história de obstipação intestinal desde o nascimento. Nasceu de parto normal, a termo, e eliminou mecônio com 48 horas de vida. Recebe aleitamento materno exclusivo.
Com base nesse caso hipotético, assinale a alternativa que apresenta a melhor conduta.
Provas
As anomalias anorretais mais comuns, em meninos e em meninas, respectivamente, são:
Provas
Acerca da anatomia do sistema circulatório, assinale a alternativa correta.
Provas
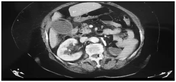
Um paciente de 58 anos de idade, com antecedente pessoal de hipertensão arterial sistêmica, diabetes melito e doença renal crônica estádio 4, pouco aderente ao tratamento medicamentoso, necessitou de internação recente devido a estado hiperglicêmico e hiperosmolar há três semanas. Nesta internação, permaneceu sob cuidados intensivos e, entre outras terapias, foi submetido a quatro sessões de hemodiálise. Desde a alta, melhorou sua adesão medicamentosa, no entanto, vem apresentando calafrios, sudorese e alguns episódios de febre, que o paciente tem atribuído aos medicamentos que agora passou a usar. Há um dia, iniciou quadro de tosse e dor ventilatório-dependente e, devido a isso, resolveu procurar o pronto-socorro. Na triagem, apresentava FC de 101, PA de 160 x 100, T 37,6 e sat. de O2 de 92%. O médico plantonista, sem examinar o doente, solicitou uma tomografia de tórax, que revelou a imagem seguinte.

Com base nesse caso hipotético, assinale a alternativa que apresenta a melhor conduta.
Provas
A respeito de cuidados paliativos, assinale a alternativa correta.
Provas
Uma mulher de quarenta anos de idade está evoluindo bem no 5.º dia pós-operatório de toracotomia traumática, com dreno de tórax em selo d'água.
Com base nesse caso hipotético, assinale a alternativa que apresenta o critério para a retirada do dreno.
Provas
Um homem de 72 anos de idade, fumante de trinta anos/maço, trabalhou como mecânico de freios automotivos. Apresenta-se com dor torácica aguda, emagrecimento e dispneia. RX de tórax mostra espessamento/derrame pleural. A TC de tórax mostrou espessamento pleural, infiltração das fissuras e pequeno derrame pleural.
Com base nesse caso hipotético, assinale a alternativa que apresenta o diagnóstico mais provável.
Provas
Com relação à doença de Castleman, assinale a alternativa correta.
Provas
No que se refere ao tratamento do derrame pleural neoplásico, assinale a alternativa correta.
Provas
Um paciente de 82 anos de idade, com colecistite aguda, apresenta confusão mental, hipotensão refratária a cristaloide e leucocitose de 22 mil, com creatinina de 2,5 g/dl. Tem antecedente de infarto de miocárdio há dois anos, diabete e hipertensão. Realizou a tomografia abaixo para ajudar na orientação.

Com base nesse caso hipotético, assinale a alternativa correta quanto à melhor opção.
Provas
Caderno Container