Foram encontradas 485 questões.
Com relação à doença de Charcot-Marie-Tooth, assinale a alternativa correta:
Provas
Com relação às cefaleias, assinale a alternativa incorreta:
Provas
Os dois exames laboratoriais que caracterizam a insuficiência hepato-celular são:
Provas
Em um doente de 62 anos de idade de sexo feminino e história de icterícia com coluria, fezes acólicas e prurido, o exame laboratorial que mais auxilia na hipótese diagnóstica é:
Provas
Na suspeita de uma diarreia crônica causada por supercrescimento bacteriano intestinal, o exame indicado é:
Provas
Pode se afirmar que a intolerância à lactose:
Provas
A doença celíaca é classificada como uma síndrome de má absorção intestinal
Provas
Qual alternativa não está relacionada à infecção pelo helicobacter pylori nos seres humanos?
Provas
Com relação à limitação do fluxo aéreo observada nas doenças pulmonares obstrutivas, analise as alternativas abaixo e assinale a correta:
Provas
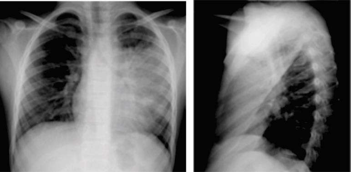
Um paciente de 36 anos de idade procurou atendimento médico queixando-se de tosse produtiva com escarro purulento, febre alta com calafrios e dor pleurítica à esquerda. Negou comorbidades e tabagismo. Ao exame físico, observava-se PA de 121 x 79 mmHg, FC de 106 bpm, FR de 23 irpm, Sat. de o2 de 94% em ar ambiente, com temperatura axilar de 38,8 ⁰C. O exame do tórax registrou a presença de murmúrio vesicular reduzido à esquerda. O hemograma mostrou leucocitose de 18.000 com 4% de bastões, sendo que eletrólitos e função renal e hepática estavam normais. A radiografia de tórax obtida na admissão é a seguinte:

Com base nesse caso hipotético, assinale a alternativa correta:
Provas
Caderno Container