Foram encontradas 50 questões.
A tuberculose (TB) é uma infecção causada pela bactéria Mycobacterium tuberculosis e transmitida pelo ar. Recentemente, o aparecimento de cepas multirresistentes (justificada principalmente pela falta de adesão ao tratamento) fez com que essa grave doença se destacasse novamente entre as doenças infectocontagiosas, estimando-se ainda uma elevada taxa de mortalidade nos próximos 10 anos. Considerando seus aspectos de diagnóstico e fisiopatológico, assinale a alternativa CORRETA:
Provas
A designação do gênero Salmonella foi adotada em 1900, em homenagem a Daniel Salmon, o qual isolou o microrganismo de suínos conhecido como Salmonella enterica. Este gênero representa um grupo de bactérias que pode causar enterite (vômitos, diarreia, dor abdominal, febre) e, geralmente, é encontrada em alimentos de origem animal (aves, ovos e laticínios). De acordo com os aspectos clássicos laboratoriais e da infecção por Salmonella, assinale a opção CORRETA:
Provas
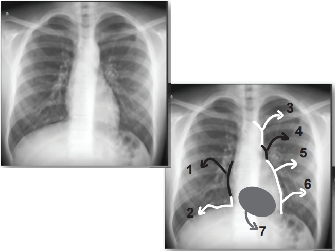
Você preparou uma prova de radiografia de tórax para os seus alunos de biomedicina. Para tanto, escolheu uma radiografia normal de tórax (póstero anterior) de um adulto jovem, e em seguida identificou estruturas de 1 a 7, conforme abaixo, para que o aluno identificasse os contornos da silhueta cardíaca. Seguem as respostas de cinco alunos. Assinale a alternativa do aluno que acertou todas as estruturas:

Questões | |||||||
ALUNOS | 1 | 2 | 3 | 4 | 5 | 6 | 7 |
Mateus | veia cava superior | ventrículo direito | carótida | veia pulmonar | átrio esquerdo | ventrículo esquerdo | ápice do ventrículo esquerdo |
| Lucas | ventrículo direito | ventrículo direito | carótida | aorta | veia pulmonar | ventrículo direito | ápice do ventrículo esquerdo |
| Beth | veia cava inferior | junção com a veia cava inferior | aorta | tronco da veia pulmonar | átrio esquerdo | ventrículo esquerdo | ventrículo direito |
| Julia | átrio direito | junção com a veia cava inferior | aorta | tronco da artéria pulmonar | átrio esquerdo | ventrículo esquerdo | ventrículo direito |
| Daniel | átrio direito | ventrículo direito | carótida | aorta | ventrículo esquerdo | ventrículo esquerdo | ápice do ventrículo esquerdo |
Provas
A realização de exames radiológicos permite a obtenção da imagem de formações internas do corpo, sendo possível avaliar a presença de tumores, fraturas, sangramentos, corpo estranho ou qualquer outra anomalia. Analisando a imagem abaixo, assinale a alternativa CORRETA:

Provas
A osteomielite aguda já foi uma doença comum, devastadora e muito temida pela população, devido ao risco de mutilações. Com o advento dos antibacterianos e avanços na antissepsia, tornou-se tratável, menos comum e bem menos grave. Em relação aos seus achados radiológicos, é CORRETO afirmar que:
Provas
Na época de estágio dos alunos de biomedicina em imaginologia enfatizou-se sobre a biossegurança relacionada aos riscos da radiação para os profissionais que lidarão com esse fator de risco. Considere as alternativas que ensinam estratégias de reduzir a exposição à radiação. Julgue-as, colocando V para as VERDADEIRAS e F para as FALSAS:
( ) Para gestantes após o segundo trimestre, limitar a dose fetal até 20 mSv.
( ) Reduzir tempo de exposição.
( ) Colocar blindagem contra radiação entre o indivíduo e a fonte de radiação.
( ) Aumentar a distância da fonte de radiação.
( ) Para os profissionais que lidam com a radiação, não ultrapassar o limite anual de 500 mSv para corpo inteiro ou 50 mSv para os olhos.
A sequência CORRETA de respostas, de cima para baixo, é:
Provas
Todas as modalidades de imagem para o estudo do sistema biliar contribuem para a obtenção do diagnóstico correto. Entretanto, o custo e a invasividade desses métodos são bem distintos. Num estudo dirigido sobre esse assunto, alguns alunos de biomedicina fizeram anotações que o professor corrigiu logo em seguida. Seguem as frases:
João: A radiografia simples do abdome é suficiente para detecção de dilatação dos ductos biliares.
Roberta: A ressonância magnética de vesícula biliar e dos ductos pode ser melhor que a tomografia computadorizada. Além disso, por não utilizar radiação ionizante, é mais seguro para os pacientes.
Sônia: A ultrassonografia é o método menos interessante para rastreamento de doença biliar, devido ao seu custo e inconveniência.
Marcos: Através da radiografia simples, pode ser visualizado gás no centro dos cálculos biliares em um padrão triangular, mimetizando classicamente o “sinal de Mercedes-Benz”.
Os alunos que fizeram as afirmações CORRETAS são:
Provas
Para investigação de tumores da fossa posterior, foi obtida a seguinte imagem:

Adaptado de Santos et al., 2004.
A referida imagem corresponde a:
Provas
Ainda que a anamnese e o exame físico sejam a base do diagnóstico clínico, os biomarcadores tumorais podem ser importantes elementos orientadores para detecção de recidivas, controle da terapêutica e rastreamento em grupos de risco de processos neoplásicos. Normalmente, os biomarcadores produzidos em neoplasias no trato gastrointestinal, fígado, ovário, mama e bexiga são, respectivamente,
Provas
A hemoterapia é o emprego terapêutico do sangue. A partir de uma única doação, muitas vidas podem ser salvas. Sobre os hemocomponentes e hemoderivados, é correto afirmar que:
Provas
Caderno Container