Foram encontradas 700 questões.

Internet: <www.dbbm.fiocruz.br>.
Considerando a figura acima e os princípios básicos da biologia molecular, assinale a opção correta.
Provas
Considerando a equação básica da fotossíntese: nCO2 + nH2O + luz → (CH2O)n + nO2 e os fatores limitantes da fotossíntese, assinale a opção correta.
Provas

Considerando as formas e arranjos das células bacterianas representadas na figura acima, bem como características gerais das células bacterianas, assinale a opção correta.
Provas

Internet: <www.fop.unicamp.br/microbiologia/aulas/fisiologia_bacteriana.pdf>.
Considerando a figura acima, que representa as diferentes fases do crescimento bacteriano, assinale a opção correta.
Provas
Com referência às técnicas envolvidas no isolamento e preservação de culturas bacterianas, assinale a opção correta.
Provas

Internet: <www.fop.unicamp.br/ddo/microbiologia/aulas/slide/anaerobios.PDF>.
Considerando as figuras acima e o fato de que o crescimento dos microrganismos é influenciado pela presença de O2, assinale a opção correta.
Provas
Considerando que o cultivo de alguns tipos de bactérias exige condições especiais, assinale a opção correta.
Provas
Tendo em vista os recentes avanços nas técnicas de cultura de tecidos vegetais e animais, assinale a opção correta.
Provas

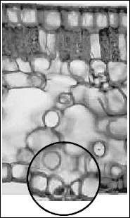
Internet: <atlasveg.ib.usp.br>.
Na micrografia acima, a estrutura destacada
Provas
Assinale a opção correta, acerca das técnicas utilizadas no melhoramento genético de plantas.
Provas
Caderno Container