Foram encontradas 2.033 questões.
“Mulher, 52 anos, com diagnóstico de miocardiopatia chagásica (FEVE: 25%); evolui com piora de dispneia, náuseas, vômitos e palidez. Ao exame físico, além da propedêutica cardiovascular, foi detectada a presença de turgência jugular positiva, extremidades frias e tempo de enchimento capilar de cinco segundos. Ausculta pulmonar sem alterações. Pressão arterial de 85 x 40 mmHg e frequência cardíaca de 105 bpm.”
Qual o melhor manejo inicial dessa paciente?
Provas
“Mulher, 52 anos, com diagnóstico de miocardiopatia chagásica (FEVE: 25%); evolui com piora de dispneia, náuseas, vômitos e palidez. Ao exame físico, além da propedêutica cardiovascular, foi detectada a presença de turgência jugular positiva, extremidades frias e tempo de enchimento capilar de cinco segundos. Ausculta pulmonar sem alterações. Pressão arterial de 85 x 40 mmHg e frequência cardíaca de 105 bpm.”
Qual a melhor classificação da descompensação da paciente?
Provas
Mulher, 78 anos, com queixa de tontura há seis meses. Teve um episódio de síncope, onde procurou o pronto-socorro e realizou o seguinte eletrocardiograma:

Qual o diagnóstico mais provável?
Provas
“Mulher, 44 anos, procura o pronto-socorro referindo mal-estar e cefaleia occipital. Ao exame físico, foi detectada a presença de 4ª bulha e pressão arterial: 190 x 110 mmHg. Realizou exames laboratoriais sem alterações significativas, bem como o seguinte eletrocardiograma:”

Assinale o melhor tratamento inicial para a paciente, além de mudanças do estilo de vida.
Provas
“Mulher, 44 anos, procura o pronto-socorro referindo mal-estar e cefaleia occipital. Ao exame físico, foi detectada a presença de 4ª bulha e pressão arterial: 190 x 110 mmHg. Realizou exames laboratoriais sem alterações significativas, bem como o seguinte eletrocardiograma:”

Qual o estágio da doença da paciente?
Provas
“Mulher, 44 anos, procura o pronto-socorro referindo mal-estar e cefaleia occipital. Ao exame físico, foi detectada a presença de 4ª bulha e pressão arterial: 190 x 110 mmHg. Realizou exames laboratoriais sem alterações significativas, bem como o seguinte eletrocardiograma:”

Após seis meses do tratamento inicial otimizado, a paciente mantinha pressão arterial de 160 x 80 mmHg. Qual a melhor conduta nesse momento?
Provas
“Mulher, 44 anos, procura o pronto-socorro referindo mal-estar e cefaleia occipital. Ao exame físico, foi detectada a presença de 4ª bulha e pressão arterial: 190 x 110 mmHg. Realizou exames laboratoriais sem alterações significativas, bem como o seguinte eletrocardiograma:”

Considerando que a paciente possui síndrome das pernas inquietas e iniciou fogachos do climatério, qual das medicações anti-hipertensivas pode ser favorável para a melhora desses sintomas?
Provas
“Mulher, 44 anos, procura o pronto-socorro referindo mal-estar e cefaleia occipital. Ao exame físico, foi detectada a presença de 4ª bulha e pressão arterial: 190 x 110 mmHg. Realizou exames laboratoriais sem alterações significativas, bem como o seguinte eletrocardiograma:”

São considerados fatores de risco para a hipertensão arterial sistêmica, EXCETO:
Provas
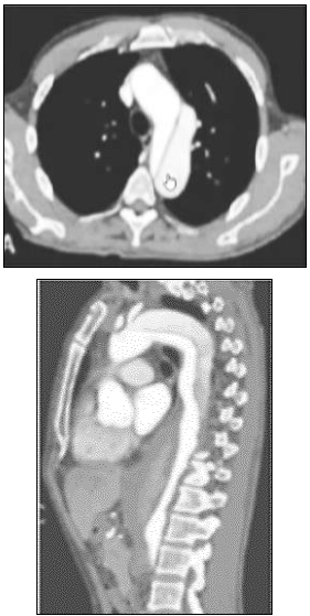
“Homem, 34 anos, refere dor torácica lancinante de início há doze horas; dá entrada no pronto-socorro. À entrada, encontrava- -se com a PA: 180 x 60 mmHg e FC: 105. Diante da suspeita diagnóstica, foi realizado o seguinte exame:”

Após o manejo inicial, o paciente foi submetido ao procedimento cirúrgico com sucesso. Em reavaliação ambulatorial, realizou-se nova angiotomografia de tórax que detectou a presença de endoleak decorrente da porosidade do enxerto. Qual a classificação desse tipo de endoleak?
Provas
“Homem, 34 anos, refere dor torácica lancinante de início há doze horas; dá entrada no pronto-socorro. À entrada, encontrava- -se com a PA: 180 x 60 mmHg e FC: 105. Diante da suspeita diagnóstica, foi realizado o seguinte exame:”

São consideradas síndromes genéticas que podem estar associadas ao quadro clínico, EXCETO:
Provas
Caderno Container