Magna Concursos

Foram encontradas 1.287 questões.

3698733 Ano: 2025
Disciplina: Medicina
Banca: VUNESP
Orgão: Pref. Campinas-SP
Provas:
Paciente de 23 anos realiza colonoscopia durante investigação de quadro de diarreia crônica. No laudo, o único achado que está presente é o seguinte termo: backwash ileíte (ileíte de refluxo).
Sobre o tema, assinale a alternativa correta.
 

Provas

Questão presente nas seguintes provas
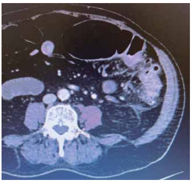
3698732 Ano: 2025
Disciplina: Medicina
Banca: VUNESP
Orgão: Pref. Campinas-SP
Provas:
Paciente de 71 anos, sexo feminino, apresenta queixa de dor em hemiabdome esquerdo. Em bom estado geral, sem febre, vômito ou alterações do trato gastrointestinal. Ao exame físico, dor à palpação de flanco esquerdo com descompressão brusca interrogada.
Obteve-se a seguinte imagem na tomografia realizada na investigação:

Enunciado 4449355-1
(Arquivo pessoal; imagem utilizada com autorização)

Com relação ao caso, assinale a alternativa correta.
 

Provas

Questão presente nas seguintes provas
3698731 Ano: 2025
Disciplina: Medicina
Banca: VUNESP
Orgão: Pref. Campinas-SP
Provas:
Paciente de 35 anos com queixa dor intensa na região do períneo, antecedente de obesidade e diabetes mellitus não insulinodependente. Apresenta exame físico ilustrado pela imagem a seguir.

Enunciado 4449354-1

(Arquivo pessoal; imagem utilizada com autorização)
Na triagem, foram observadas febre e taquicardia. Realizados exames laboratoriais de urgência, que identificaram leucocitose e aumento de provas inflamatórias.

A respeito do quadro apresentado, assinale a alternativa correta.
 

Provas

Questão presente nas seguintes provas
3698730 Ano: 2025
Disciplina: Medicina
Banca: VUNESP
Orgão: Pref. Campinas-SP
Provas:
Quanto aos abscessos perianais, assinale a alternativa correta.
 

Provas

Questão presente nas seguintes provas
3698729 Ano: 2025
Disciplina: Medicina
Banca: VUNESP
Orgão: Pref. Campinas-SP
Provas:
Paciente 55 anos, sexo feminino, refere que apresenta dificuldade para evacuar há mais de um ano. Relata sensação de evacuação incompleta e necessita de esforço evacuatório intenso. Já apresentou quadro de impactação fecal no passado.
A respeito do quadro descrito, assinale a alternativa correta.
 

Provas

Questão presente nas seguintes provas
3698728 Ano: 2025
Disciplina: Medicina
Banca: VUNESP
Orgão: Pref. Campinas-SP
Provas:
Paciente feminina de 35 anos apresenta-se com queixa de dor em região anal após evacuação há 5 meses. Refere histórico de constipação e episódios de hematoquezia, sem outros antecedentes pessoais, sem dor abdominal e sem alteração das fezes. Ao exame físico, verifica-se o que segue na imagem:

Enunciado 4449351-1
(Arquivo pessoal; imagem utilizada com autorização)

Com relação ao quadro, assinale a alternativa correta.
 

Provas

Questão presente nas seguintes provas
3698727 Ano: 2025
Disciplina: Medicina
Banca: VUNESP
Orgão: Pref. Campinas-SP
Provas:
Quanto à técnica cirúrgica a ser utilizada e o tipo de patologia ilustrados a seguir, assinale a alternativa correta.

Enunciado 4449350-1

(Arquivo pessoal; imagem utilizada com autorização)
 

Provas

Questão presente nas seguintes provas
3698726 Ano: 2025
Disciplina: Medicina
Banca: VUNESP
Orgão: Pref. Campinas-SP
Provas:
Paciente de 37 anos, sexo masculino, dirige-se ao pronto atendimento com queixa de dor em região anal há 24 horas. Refere ainda alguns episódios pontuais de hematoquezia no passado. Ao exame físico, observa-se o seguinte:

Enunciado 4449349-1

(Arquivo pessoal; imagem utilizada com autorização)

Em relação ao diagnóstico e ao tratamento do caso, assinale a alternativa correta.
 

Provas

Questão presente nas seguintes provas
3698725 Ano: 2025
Disciplina: Medicina
Banca: VUNESP
Orgão: Pref. Campinas-SP
Provas:
Com relação à doença hemorroidária e suas características, classificação e etiologia, assinale a alternativa correta.
 

Provas

Questão presente nas seguintes provas
3698724 Ano: 2025
Disciplina: Medicina
Banca: VUNESP
Orgão: Pref. Campinas-SP
Provas:
Com relação à anatomia do canal anal, assinale a alternativa correta.
 

Provas

Questão presente nas seguintes provas