Foram encontradas 980 questões.
Nas hipospádias, a abertura do meato uretral é tipicamente:
Provas
O gráfico a seguir representa o nomograma de Abrams-Griffiths, muito útil na análise do estudo fluxo-pressão em uma avaliação urodinâmica:

De acordo com a posição no nomograma, pode-se afirmar que o paciente representado no gráfico:
Provas
Paciente do sexo masculino, 12 anos de idade, apresenta-se à emergência com queixas de dor no testículo direito com 5 horas de evolução. Ao exame, o testículo direito é doloroso, mais elevado em relação ao contralateral, com sinais de flogose na bolsa testicular. Realizada ultrassonografia que evidencia testículo direito heterogêneo e sem fluxo sanguíneo ao Doppler. A conduta correta, nesse caso, é:
Provas
Dentre as técnicas abaixo, a técnica que mais tem impacto em reduzir as chances de recanalização do dueto deferente após uma vasectomia é a:
Provas
Paciente do sexo masculino, 59 anos de idade, tabagista, é submetido à ressecção transuretral de tumor de bexiga, cujo histopatológico foi carcinoma urotelial de alto grau, estadiamento pT1. Esse paciente deverá ser submetido à nova cistoscopia/ressecção em aproximaciamente:
Provas
Paciente do sexo feminino, 40 anos de idade, realiza tomografia computadorizada do abdome para investigação de abdome agudo. É identificada massa na adrenal direita, medindo 3 centímetros, bem delimitada, com baixa atenuação. O próximo passo na investigação dessa paciente, com relação ao achado supracitado é:
Provas
A causa mais comum de hipertensão renovascular e a porção da artéria renal mais amiúde acometida são, respectivamente:
Provas
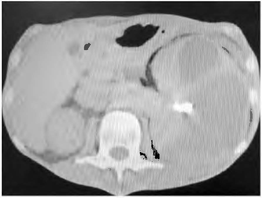
Paciente do sexo masculino, 62 anos de idade, dá entrada na emergência apresentando dor no flanco esquerdo e febre com dois meses de evolução, que se intensificaram na última semana. Realizada tomografia de abdome sem contraste, abaixo representada:

Fonte: Arquivo pessoal.
O diagnóstico que se impõe nesse caso é:
Provas
O sítio mais comumente acometido por metástases à distância em crianças com tumor de Wilms é o:
Provas
O quimioterápico de primeira linha para o tratamento do câncer de próstata metastático resistente à castração é:
Provas
Caderno Container