Foram encontradas 808 questões.
Com relação ao papel da radiografia de tórax no manuseio da exacerbação da asma, é correto afirmar:
Provas
Mulher de 69 anos de idade refere dor epigástrica há 6 meses. Exame físico: hidratada, hipocorada (1+/4+), anictérica e afebril; PA: 145 x 90 mmHg: FC: 84 bpm; cardiopulmonar: normal; abdome: flácido e indolor à palpação. Nesse momento, a conduta correta é
Provas
Paciente de 77 anos de idade, antecedentes de diabetes, hipertensão arterial e insuficiência cardíaca, em uso de enalapril (20 mg/dia), metformina (2 g/dia), carvedilol (50 mg/dia), espironolactona (25 mg/dia) e atorvastatina (40 mg/dia), evolui com bradicardia sintomática. Exames séricos: creatinina: 1,1 mg/dL, glicemia: 168 mg/dL, potássio: 4,7 mEq/L. O medicamento que mais provavelmente pode justificar essa complicação é:
Provas
Com relação à migrânea clássica, constitui um dos achados que está contemplado dentre os critérios diagnósticos desta condição:
Provas
Homem de 67 anos de idade, previamente hígido, é avaliado com quadro de disúria, polaciúria e desconforto em região hipogástrica há 2 dias. Nega alergia medicamentosa, febre, náuseas, vômitos, dor abdominal, diarreia, descarga uretral e não há patologias prévias, exceto, por 2 episódios de cistite nos últimos 6 meses. Exame clínico: afebril, hemodinamicamente estável e sem alteração relevante. Com esses dados, é correto afirmar:
Provas
Homem de 47 anos de idade, em uso de enalapril (20 mg, de 12/12 horas), é avaliado em consulta de rotina. As medidas de pressão arterial nos últimos 6 meses ficaram próximas de 150 x 100 mmHg. Nega tabagismo, etilismo, diabetes mellitus, doença coronariana, nefropatia ou acidente vascular cerebral. Exame físico: hidratado, corado e afebril; PA: 149 x 99 mmHg, FC: 76 bpm; cardíaco e respiratório: normais. Hemograma, eletrólitos e função renal normais. Nesse momento, a conduta recomendada é:
Provas
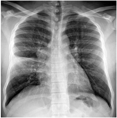
Homem de 24 anos de idade, sem antecedentes patológicos, apresenta-se à unidade básica de saúde com quadro de febre, dispneia e tosse com expectoração amarelada há 3 dias. Ele nega náuseas, vômitos, dor abdominal, diarreia, uso de medicamentos, tabagismo, etilismo ou uso de drogas. Exame físico: consciente, corado, hidratado e anictérico; PA: 115 x 75 mmHg, FC: 98 bpm, T: 38,6 ºC, FR: 16 ipm e SatO2: 96%; abdome: indolor; exame cutâneo e extremidades sem alterações relevantes. A radiografia realizada é mostrada a seguir.

Com essas informações, é correto afirmar:
Provas
Mulher de 29 anos de idade apresenta quadro de congestão nasal, sensação de plenitude em projeção de seios maxilares, febre, rinorreia amarelada e de odor fétido há 5 dias. Exame físico: PA: 115 x 70 mmHg, FC: 102 bpm e T: 38,8 °C; dor à palpação de ambos os seios maxilares; orofaringe: discretamente eritematosa, sem exsudatos; membranas timpânicas normais; não há linfadenopatia cervical; cardiopulmonar: sem alteração. Nesse momento, a conduta inicial correta é
Provas
Mulher de 29 anos de idade relata episódios de palpitações, sudorese, falta de ar, tremores em extremidades, sensação de sufocamento e formigamento há cerca de 6 meses. Ela não sabe referir o que desencadeia esses “ataques”, mas encontra-se muito preocupada, pois tem afetado bastante a sua vida rotineira e o trabalho. Sinais vitais e exame clínico normais. Na ausência de contraindicação, o tratamento medicamentoso de escolha é:
Provas
Criança de 4 anos de idade, do sexo masculino, é avaliada devido a um episódio de convulsão há cerca de 3 dias, após uma infecção do trato respiratório superior. No momento da crise, ela estava com temperatura de 38,8 ºC. A mãe relata que a criança é saudável e não tem nenhum histórico médico significativo, inclusive, está em dia com suas vacinas. Dos achados a seguir, o que se associa a maior risco de recorrência da convulsão febril é:
Provas
Caderno Container