Foram encontradas 808 questões.
Homem, 42 anos, refere lombalgia há cerca de 8 anos. Refere que teve início insidioso e o quadro apresenta piora com o repouso prolongado e alívio com o exercício físico. Na investigação radiológica, diagnosticou-se sacroileíte. Nos exames laboratoriais, os achados relevantes foram: fator reumatoide negativo e HLA-B27 positivo. Medicado apenas com analgésicos, há 6 meses passou a apresentar dispneia aos esforços moderados.
O achado mais provável na ausculta cardíaca desse paciente será
Provas
Mulher, 44 anos, portadora de obesidade e atualmente sedentária, foi avaliada em unidade de saúde da família e recebeu o diagnóstico de hipertensão arterial sistêmica e foi orientada a praticar mudanças no estilo de vida.
De acordo com as diretrizes da Sociedade Brasileira de Cardiologia, assinale a alternativa que contém a medida de modificação do estilo de vida que terá o maior impacto na redução dos níveis tensionais.
Provas
Homem, 32 anos, portador de cardiopatia reumática, encontra-se internado em tratamento para endocardite infecciosa e apresenta insuficiência cardíaca (IC) aguda no sexto dia de evolução. Foi repetido o ecocardiograma transtorácico que revelou insuficiência mitral grave, rotura de cordoalha e função ventricular preservada. O paciente foi incialmente compensado com diuréticos, ventilação não invasiva e inotrópico endovenoso.
Assinale a alternativa que apresenta a estratégia terapêutica correta para esse paciente.
Provas
Mulher, 56 anos, é admitida com quadro de síndrome coronariana aguda na emergência e apresenta o seguinte eletrocardiograma:

No cateterismo cardíaco, espera-se encontrar oclusão
Provas
Homem, 58 anos, com antecende de hipertensão de longa data, procura atendimento médico com queixa de dor torácica, súbita, em facada, que iniciou há duas horas. Dá entrada no hospital com pressão arterial de 200 X 120 mmHg e frequência cardíaca de 100 bpm. O eletrocardiograma não apresenta alterações isquêmicas agudas. Opta-se pela realização de angiotomografia de tórax, ilustrada a seguir.

Assinale a alternativa que apresenta a classificação e conduta corretas, respectivamente
Provas
Homem, 33 anos, previamente assintomático, sedentário, procura cardiologista para avaliação de rotina, após seu irmão de 44 anos ter sido diagnosticado como hipertenso. Tem antecedente familiar de hipertensão arterial, e a mãe teve acidente vascular cerebral aos 79 anos. Exame físico: paciente em bom estado geral, com sobrepeso (IMC = 27), PA = 150 x 90mmHg, porém refere medidas mais elevadas em situações ocasionais; auscultas cardíaca e pulmonar normais. Traz consigo os seguintes exames laboratoriais: hemograma normal; ureia = 28 mEq/L; creatinina = 0,85 mEq/L; glicemia = 88 mg/dL; hemoglobina glicada = 5,3 %; colesterol LDL = 108 mg/dL; colesterol HDL = 55 mg/dL.
Além da recomendação de iniciar mudanças no estilo de vida, é recomendável
Provas
Criança, 11 meses, portadora de dextroposição da aorta, estenose pulmonar, defeito do septo atrioventricular e hipertrofia do ventrículo direito, chega ao pronto atendimento, trazida pelos pais, com quadro de choro fácil, cianose intensa e extremamente irritada. Os pais relatam que, antes da chegada no pronto atendimento, houve perda momentânea da consciência, fato que ocorrera com frequência nas últimas semanas.
Foi administrado oxigênio, cristaloide endovenoso e feita leve sedação com morfina, sem melhora importante do quadro. O medicamento de eleição e que deve ser administrado para essa criança é
Provas
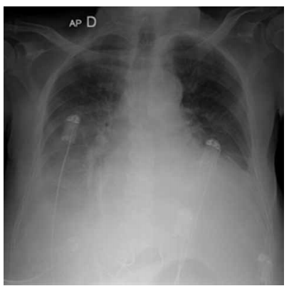
Homem, 76 anos, hipertenso e portador de miocardiopatia isquêmica, queixa-se de mal-estar, dispneia em repouso, dispneia paroxística noturna e, na última semana, ortopneia. Medicamentos em uso: captopril 25 mg; a cada 8 horas; furosemida 40 mg; espironolactona 50 mg; aspirina 100 mg e sinvastatina 20 mg. Exame físico: paciente lúcido e orientado no tempo e no espaço, presença de edema em membros inferiores 4+/4, extremidades frias, perfusão lentificada, pressão arterial = 90 x 50 mmHg, SpO2 = 89%, ausculta cardíaca com terceira bulha e ausculta pulmonar com estertores crepitantes nos dois terços inferiores de ambos os pulmões. Realizada radiografia de tórax, que está ilustrada a seguir.

O tratamento correto deverá, obrigatoriamente, incluir
Provas
Mulher, 22 anos, comparece à unidade de pronto atendimento com queixa de palpitação taquicárdica e sensação de pré-síncope, após jogar uma partida de tênis. Não tem antecedentes mórbidos e não faz uso de medicação específica. No momento da avaliação cardiológica, encontra-se estável hemodinamicamente, apenas com queixa de coração acelerado. Exame físico: lúcida, orientada, PA = 100 x 60 mmHg, bulhas arrítmicas e aceleradas, pulmões limpos. O ECG realizado encontra-se ilustrado a seguir.

Dentre as opções farmacológicas, assinale a alternativa que apresenta aquela considerada como primeira opção para reversão do quadro apresentado.
Provas
Leia o enunciado a seguir e responda às questões de números 47 e 48.
Mulher, 36 anos, com história de dois abortamentos prévios e sem uso de medicação específica, retorna de viagem aérea, com 12 horas de duração, e apresenta dor torácica ventilatório-dependente, súbita, de moderada intensidade, associada à dispneia leve. Exame físico: paciente taquipneica, ansiosa, PA = 140 x 90 mmHg, FR = 32 ipm, SpO2 = 92% em ar ambiente; ausculta pulmonar normal; sem outras alterações significativas ao exame clínico. Exames laboratoriais: nada digno de nota, com função renal normal. Realizado ECG, que está ilustrado a seguir.

Confirmando-se a principal hipótese diagnóstica, assinale a alternativa que apresenta a opção terapêutica correta.
Provas
Caderno Container