Foram encontradas 1.977 questões.
Uma das grandes novidades no arsenal terapêutico da psiquiatria é o lançamento da escetamina inalatória, aprovada nos Estados Unidos e no Brasil. A escetamina é:
Provas
Leia o caso clínico a seguir.
Paciente do sexo feminino, de 22 anos, queixa-se de insônia inicial. Apresenta há mais de um ano quadro em que sente intenso mal-estar nas pernas, descrito como uma “agonia” e necessidade de ficar movimentando repetidamente para obter alívio. O sintoma é muito leve durante o dia e se intensifica muito à noite, sobretudo quando se deita. Por isso, acaba tendo dificuldade de iniciar o sono. Nega edema, câimbras ou dores. Apresenta ferritina e ferro sérico em níveis abaixo do normal.
Sabe-se que há medicamentos que pioram e outros que melhoram esse quadro como, por exemplo:
Provas
A maior importância da mudança de paradigmas iniciada pelo DSM-III e que perdura no DSM-5 é:
Provas
De tempos em tempos, novas classificações são elaboradas e criticadas. A causa disso é a ausência de um modelo único que satisfaça as diversas escolas de pensamento em psicopatologia. Conhecer as características paradigmáticas de cada classificação é algo necessário para uma prática clínica mais aprofundada e crítica sobre o sofrimento humano. Sobre o modelo classificatório mais usado atualmente em psiquiatria (DSM-5), sabe-se que ele é:
Provas
Leia o caso clínico a seguir.
Paciente do sexo feminino, de 25 anos, sob suspeita clínica de doença desmielinizante, realiza ressonância magnética do crânio e das colunas cervical e dorsal. No relatório, são descritas lesões ovaladas com hipersinal em T2/FLAIR nas seguintes localizações: justa-corticais, periventriculares, ponte e coluna cervical, sendo que algumas delas apresentam realce pelo meio de contraste.
Considerando-se os conceitos definidos pelos critérios revisados de MacDonald (2017), conclui-se que:
Provas
Leia o caso clínico a seguir.
Paciente do sexo masculino, de 16 anos, estudante do ensino médio, vive com os pais. Aos sete anos, começou a apresentar pensamentos intrusivos e repetitivos de contaminação, simetria e dúvidas. Apresenta comportamento de lavar as mãos várias vezes ao dia e checagens ritualísticas que levam a importante perda de tempo e sofrimento. Ao exame, nota-se tiques motores (piscar os olhos, fazer caretas) e vocálicos (grunhidos e pigarro). A mãe relatou que esses últimos ocorrem desde a infância e resultam em sofrimento e prática de bullying pelos colegas.
Nesse caso, a opção terapêutica indicada para o quadro do paciente é:
Provas
A doença vascular encefálica isquêmica pode determinar diferentes síndromes clínicas a depender do território arterial acometido. A percepção destas síndromes clínicas informadas no pedido médico pode auxiliar o radiologista na percepção de sinais precoces de isquemia intracraniana.

Com base na análise das imagens apresentadas, o território arterial acometido e as respectivas síndromes clínicas proporcionadas são, respectivamente:
Provas
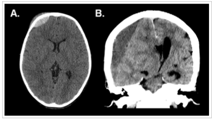
As imagens a seguir referem-se a dois pacientes diferentes, previamente hígidos, com traumatismo cranioencefálico.

Em relação às características das lesões intracranianas evidenciadas tem-se que:
Provas
Ao se avaliar pessoas que apresentam ideação suicida, percebe-se que o principal fator de risco de predição de o paciente vir a suicidar-se é o seguinte:
Provas
Leia o caso clínico a seguir.
Paciente com antecedente de hidrocefalia não comunicante, portador de cateter para drenagem ventricular referindo cefaleia postural, com predomínio na posição ortostática. Relatório de estudo de ressonância magnética do crânio para avaliação da cefaleia descreve na conclusão os seguintes achados: “Espessamento / realce paquimeníngeo difuso, aumento nas dimensões da glândula hipofisária, migração inferior das tonsilas cerebelares e hematomas subdurais bilaterais”.
Considerando a descrição fornecida, a entidade que se encaixa nos padrões é:
Provas
Caderno Container