Foram encontradas 1.977 questões.
Leia o caso clínico a seguir.
Recém-nascido prematuro (30 semanas) apresentando quadro de hipotonia e rebaixamento do nível de consciência. Estudo ultrassonográfico transfontanela evidencia sinais de hemorragia da matriz germinal, com componente hemorrágico intraventricular e dilatação ventricular, sem alterações no parênquima cerebral.
Em relação à graduação dos achados, devem ser classificados como (classificação de Papile):
Provas
É frequente o encontro de idosos em uso de alimentação por via artificial. O medicamento inadequado para diluição em água e administração via sonda nasoenteral é o seguinte:
Provas
Leia o caso clínico a seguir.
Paciente do sexo feminino, de 15 anos, apresenta preocupação mórbida com a imagem corporal e compulsão alimentar seguida de métodos compensatórios (vômitos, uso de laxantes e diuréticos). Apresenta-se com sobrepeso.
Nesse caso, está formalmente contraindicada a prescrição de
Provas
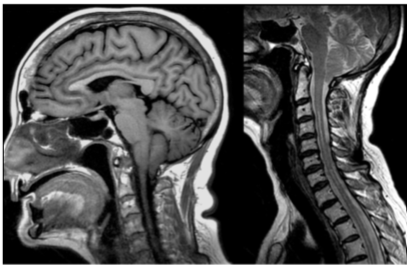
Leia o caso clínico a seguir.
Paciente do sexo feminino, de 63 anos, realiza estudo por ressonância magnética para avaliação de cefaleia, sendo diagnosticado malformação de Chiari tipo I.

A respeito das características da malformação de Chiari tipo I tem-se que:
Provas
Leia o caso clínico a seguir.
|
Enfermeira aposentada, de 81 anos, queixa-se de deficiência de memória, dificuldades para fazer compras e manusear dinheiro. Obteve as seguintes pontuaçoes nas escalas de avaliaçao funcional e cognitiva: Questionario de Pfeffer para Atividades Instrumentais da Vida Diária (AIVD): 24 pontos (dependente), Índice de Barthel para as Atividades Básicas da Vida Diária (ABVD): 100 pontos (independente), Mini-exame do Estado Mental (MEEM): 16 pontos. |
Baseando-se na história e nos instrumentos de avaliaçao aplicados, estabelece-se o diagnóstico de
Provas
A espondilodiscite infecciosa é uma condição pouco frequente do compartimento ósseo, porém um importante diagnóstico a ser considerado em casos de dor não traumática. O agente mais frequente isolado e o segmento mais comumente envolvido nas espondilodiscites infecciosas são, respectivamente:
Provas
Os métodos de imagem são de relevante importância na detecção de focos de endometriose, sendo a ultrassonografia a modalidade primária. A localização preferencial dos focos endometrióticos nos diferentes compartimentos é:
Provas
Leia o caso clínico a seguir.
Paciente do sexo masculino, de 70 anos, realiza estudo tomográfico contrastado para avaliação de lesão renal cística vista em exame ultrassonográfico. Durante a avaliação tomográfica, o radiologista percebe lesão cística (2,0 cm), com septações espessas (cerca de 5 mm) que apresentam realce algo irregular, sem definição de nódulos propriamente ditos de permeio aos septos internos.
Considerando as características morfológicas descritas, a classificação de Bosniak (atualizada em 2019) é:
Provas
Leia o caso clínico a seguir.
Paciente do sexo feminino, de 35 anos, realiza estudo ultrassonográfico de rotina do abdome, sendo detectado nódulo hepático (3,0 cm), com comportamento bastante isoecogênico ao parênquima hepático, ao modo doppler apresentando artéria nutridora central e vasos menores radiais periféricos.
Baseado nestas características, o diagnóstico a ser sugerido é de:
Provas
Leia o caso clínico a seguir.
Paciente do sexo feminino, de 50 anos, assintomática e sem histórico médico relevante pregresso, realiza estudo tomográfico sem contraste endovenoso para avaliação de litíase urinária caracterizada em estudo ultrassonográfico. Evidenciado nódulo homogêneo na glândula adrenal direita medindo 0,9 cm, com coeficiente de atenuação de 5 UH. Não possui exames anteriores para comparação.
Considerando as características de imagem, a conduta apropriada para a lesão evidenciada seria:
Provas
Caderno Container