Foram encontradas 1.030 questões.
Adolescente de 13 anos de idade é trazido ao pronto-socorro por episódio de queda da bicicleta com traumatismo da região lateral da cabeça. Inicialmente, ele se apresentava alerta, porém, após 25 minutos do acidente, evoluiu com diminuição do nível de consciência. Tomografia de crânio sem contraste realizada na urgência demonstra o achado a seguir.

A estrutura vascular mais provavelmente acometida neste quadro é:
Provas
Menina de 4 anos de idade é trazida ao pronto-socorro por primeiro episódio de crise epiléptica e alteração do nível de consciência. Pais relatam que a criança iniciou há 3 dias diarreia com presença de sangue nas fezes e febre de 38ºC. Exames laboratoriais demonstram hemoglobina 7,8 g/dL, hematócrito 26%, plaquetas 32.000/mm³ e presença de múltiplos esquizócitos no esfregaço de sangue periférico. Creatinina 2,8 mg/dL, ureia 56 mg/dL, sódio sérico 135 mmol/L e glicemia 119 mg/dL.
O diagnóstico mais provável é:
Provas
Menino de 11 anos de idade apresenta fraqueza em membro superior direito e afasia de início súbito. Estudo de imagem do crânio demonstra acidente vascular isquêmico associado à estenose proximal da artéria cerebral média esquerda. O agente infeccioso mais provavelmente relacionado a esse quadro é:
Provas
Adolescente de 14 anos de idade apresenta episódios recorrentes de mielite longitudinalmente extensa e neurite óptica. O anticorpo mais provável de ser relacionado ao caso é o
Provas
Lactente inicia aos 2 meses de idade quadro progressivo de hipotonia, fraqueza muscular, aumento da enzima CPK, macroglossia, cardiomiopatia hipertrófica e insuficiência respiratória. Considerando o diagnóstico mais provável, a terapia de reposição enzimática que deve beneficiar esse paciente é a com
Provas
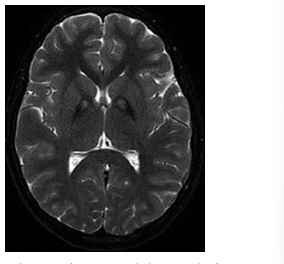
Menina de 9 anos de idade apresenta história progressiva de distonia, disartria e regressão cognitiva. A imagem por ressonância magnética de crânio revela o achado a seguir.

O gene mais provavelmente associado ao quadro é:
Provas
A principal infecção congênita relacionada ao desenvolvimento de polimicrogiria na região perisylviana é:
Provas
Menina de 5 anos de idade apresenta-se há 1 dia com instabilidade de marcha. Ao exame, nota-se leve nistagmo horizontal bilateral, dismetria nas provas índex-índex e índex-nariz. Marcha é atáxica. Força muscular e reflexos osteotendíneos são preservados. Apresentou infecção de vias aéreas superiores há 7 dias, mas sem febre ou sintomas respiratórios no momento da avaliação.
O diagnóstico mais provável é:
Provas
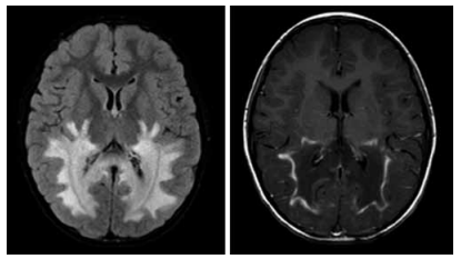
Menino de 6 anos de idade apresenta quadro progressivo de comprometimento cognitivo e espasticidade. As imagens por ressonância magnética do crânio FLAIR e T1 com contraste, respectivamente, demonstram as alterações a seguir.

O diagnóstico mais provável é:
Provas
Adolescente de 12 anos é trazido à consulta por queixa de quedas frequentes. Ao exame, apresenta fraqueza e hipotrofia muscular distais em membros inferiores, com pés cavos e “dedos em martelo”. Os reflexos osteotendíneos são abolidos globalmente. Pai e irmã mais velha apresentam achados de exame físico semelhantes. Eletroneuromiografia é compatível com neuropatia sensitivo-motora de padrão desmielinizante.
O diagnóstico mais provável é:
Provas
Caderno Container