Magna Concursos

Foram encontradas 1.007 questões.

3571013 Ano: 2024
Disciplina: Medicina
Banca: UNIFIMES
Orgão: Pref. Mineiros-GO
Provas:
Sobre as lesões císticas da mama, é CORRETO afirmar que:
 

Provas

Questão presente nas seguintes provas
3571012 Ano: 2024
Disciplina: Medicina
Banca: UNIFIMES
Orgão: Pref. Mineiros-GO
Provas:
A ultrassonografia é a modalidade de escolha para avaliação de imagem dos nódulos tireoidianos. O American College of Radiology (ACR) estabeleceu um sistema de estratificação de risco denominado Thyroid Imaging, Reporting and Data System (TI-RADS) para ser um guia prático para utilização ampla com um léxico único e padronização de relatórios ultrassonográficos. Com base no TI-RADS-ACR, assinale a alternativa INCORRETA:
 

Provas

Questão presente nas seguintes provas
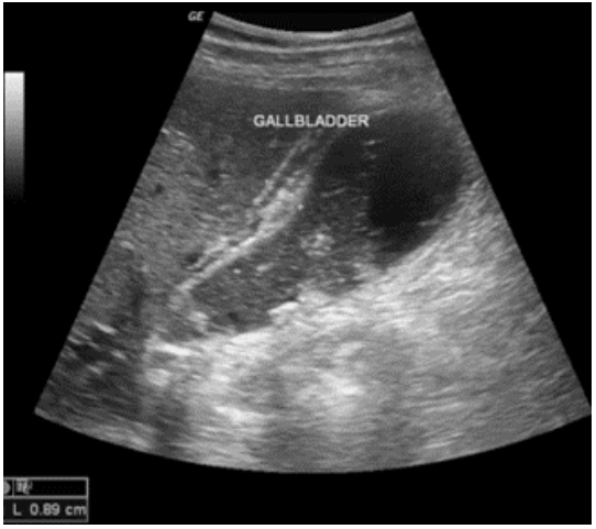
3571011 Ano: 2024
Disciplina: Medicina
Banca: UNIFIMES
Orgão: Pref. Mineiros-GO
Provas:
Paciente do sexo feminino, 69 anos, procurou atendimento de urgência referindo, há 1 dia, dor abdominal em faixa superior, febre, náuseas e vômitos. Ao exame físico: dor a palpação do hipocôndrio direito. Leucocitose. Evoluiu sem melhora do quadro clínico após analgesia.
Enunciado 3571011-1

Qual o diagnóstico mais provável?
 

Provas

Questão presente nas seguintes provas
3571010 Ano: 2024
Disciplina: Medicina
Banca: UNIFIMES
Orgão: Pref. Mineiros-GO
Provas:
Em relação à anatomia de Couinaud, é CORRETO afirmar:
 

Provas

Questão presente nas seguintes provas
3571009 Ano: 2024
Disciplina: Medicina
Banca: UNIFIMES
Orgão: Pref. Mineiros-GO
Provas:
Em relação a ultrassonografia pélvica em crianças e adolescentes, assinale a alternativa INCORRETA:
 

Provas

Questão presente nas seguintes provas
3571008 Ano: 2024
Disciplina: Medicina
Banca: UNIFIMES
Orgão: Pref. Mineiros-GO
Provas:
Ultrassom abdominal de um recém-nascido para avaliar hidronefrose intraútero evidenciou: rim direito normal e rim esquerdo aumentado de volume, à custa de múltiplas formações císticas não comunicantes (aspecto de cachos de uva), sem parênquima renal normal. A principal hipótese diagnóstica é:
 

Provas

Questão presente nas seguintes provas
3571007 Ano: 2024
Disciplina: Medicina
Banca: UNIFIMES
Orgão: Pref. Mineiros-GO
Provas:
Mulher de 63 anos de idade é encaminhada para avaliação de dermatomiosite; comprovada por biópsia de pele. Qual das características associa-se a maior risco de malignidade?
 

Provas

Questão presente nas seguintes provas
3571006 Ano: 2024
Disciplina: Medicina
Banca: UNIFIMES
Orgão: Pref. Mineiros-GO
Provas:
Paciente do sexo feminino, 50 anos, com artrite reumatoide (fator reumatoide positivo) há 4 anos e em tratamento há 3 anos e meio. Atualmente, está em uso de metotrexato 20 mg/semana, ácido fólico 5 mg/semana, prednisona 5mg/dia e Infliximabe 3 mg/kg a cada 8 semanas. Em caso de remissão sustentada, qual a melhor conduta, de acordo com as Consenso Brasileiro da SBR para tratamento da AR?
 

Provas

Questão presente nas seguintes provas
3571005 Ano: 2024
Disciplina: Medicina
Banca: UNIFIMES
Orgão: Pref. Mineiros-GO
Provas:
Em relação as alterações radiográficas da Espondiloartrite axial, assinale a alternativa correta:
 

Provas

Questão presente nas seguintes provas
3571004 Ano: 2024
Disciplina: Medicina
Banca: UNIFIMES
Orgão: Pref. Mineiros-GO
Provas:
Sobre a infecção gonocócica disseminada, assinale a alternativa INCORRETA:
 

Provas

Questão presente nas seguintes provas