Foram encontradas 619 questões.
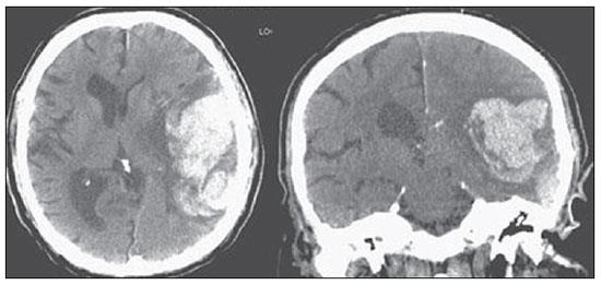
Analise a tomografia abaixo e indique qual o achado:

http://www.rb.org.br/detalhe_artigo.asp?id=2613&idioma=Portugues
Provas
O BCG (bacilo de Calmette e Guérin) vem sendo utilizado há várias décadas e tem por finalidade evitar que a primo-infecção natural, causada por Mycobacterium tuberculosis, evolua para doença. A vacinação deve ser adiada:
I - até três meses após o tratamento com imunodepressores ou com corticosteroides em dose elevada.
II - quando o peso ao nascer for inferior a 2.000g.
III – até 3 meses em casos de imunodeficiência congênita ou adquirida.
Está correto o que se afirma em:
Provas
Leia:
“Nessa fase, a tolerância imunológica esgota-se diante da incapacidade do sistema imune de eliminar o vírus. É caracterizada pelo teste HBeAg reagente e por menores índices de HBV-DNA sérico, indicativo de menor replicação viral. Os valores das aminotransferases podem apresentar flutuações, e a atividade necroinflamatória no fígado, por sua vez, pode ser moderada ou grave. A progressão da fibrose é acelerada.”
Fonte: http://www.aids.gov.br/pt-br/pub/2016/protocolo-clinico-e-diretrizes-terapeuticas-para-hepatite-b-e-coinfeccoes
Das fases da infecção pelo HBV, o excerto discorre sobre qual delas?
Provas
O Ministério da Saúde aponta que a infecção pelo HBV é um processo dinâmico, dividido em:
Provas
Sobre a Exposição do RN ao HIV após o nascimento, considere os itens, abaixo:
I - A transmissão do HIV pode ocorrer pela ingestão de leite humano contaminado com HIV (leite materno ou pela amamentação cruzada). A amamentação é contraindicada para mulheres infectadas pelo HIV.
II - A inibição farmacológica da lactação deve ser realizada imediatamente após o parto, utilizando-se cabergolina 1,0 mg via oral, em três doses (dois comprimidos de 0,5 mg por via oral, 1x ao dia, por 3 dias), administrada antes da alta hospitalar.
III - Em caso de suspeita de infecção materna aguda, cujo risco de transmissão para o lactente é alto, orienta-se a interromper imediatamente a amamentação e realizar CV e PEP no lactente. Fazer o acompanhamento da criança exposta até definição do caso.
Está correto o que se afirma em:
Provas
De acordo com o Ministério da Saúde, são sinais de infecção pelo Hiv em crianças e adolescentes, exceto:
Provas
O Ministério da Saúde aponta que o a associação de fibrato com estatina com a TARV aumenta o risco de
Provas
Os PCDT do manejo da infecção pelo HIV no adulto, traz uma lista de medicamentos para esquemas de resgate, após múltiplas falhas - ARV de uso restrito. Dessa lista, o PCDT diz que é o inibidor de integrase (INI) preferencial, exceto para gestantes ou pacientes em uso de rifampicina.
Assinale a alternativa que preenche, corretamente, a lacuna do texto:
Provas
No roteiro de abordagem inicial do adulto vivendo com Hiv, o Infectologista deve avaliar o histórico familiar de:
Provas
De acordo com os Protocolos Clínicos e Diretrizes Terapêuticas (PCDT) para o manejo da infecção pelo HIV em adultos, o cuidado contínuo em HIV pode ser entendido como o processo de atenção aos usuários que vivem com HIV, passa por alguns estágios. Desses estágios, após o Diagnóstico oportuno segue:
Provas
Caderno Container