Foram encontradas 619 questões.
Considere a imagem, a seguir, para responder à questão

Como é denominada a estrutura cerebelar apresentada pelo número 7?
Provas
Considere a imagem, a seguir, para responder à questão

Como é denominada a estrutura cerebelar apresentada pelo número 11?
Provas
A respeito da cetoacidose diabética, marque qual afirmativa é verdadeira (V) e qual é falsa (F), sequencialmente, indique a alternativa correta:
(__) A cetoacidose diabética ocorre mais comumente em pacientes com diabetes tipo 1, mas também acontece em pacientes com diabetes tipo 2.
(__) A cetoacidose diabética ocorre, somente, em pacientes com diabetes tipo 2.
(__) As cetonas são formadas quando há falta de insulina, e o corpo usa gordura como fonte de energia. As cetonas são substâncias básicas que vão desequilibrar o pH do sangue, ou seja, vão causar um desequilíbrio na composição sanguínea, que se não for tratado pode levar até ao coma e à morte.
(__) A prevenção da cetoacidose é feita com: aplicação correta das injeções de insulina, realização das medidas da glicemia capilar, acompanhamento médico regular, e controle alimentar para evitar alimentos com alto teor de açúcar e que podem levar à cetoacidose.
Provas
A pancreatite aguda é uma síndrome clínica resultante da inflamação aguda e da autodigestão destrutiva do pâncreas e dos tecidos peripancreáticos. Os marcadores séricos que ajudam a diferenciar a pancreatite aguda de outros distúrbios são:
Provas
As doenças sistêmicas estão, frequentemente, associadas a distúrbios no equilíbrio acidobásico. Em algumas situações, essas alterações podem resultar em risco de morte, caso não sejam identificadas, precocemente, e tratadas, adequadamente. Portanto, tornam-se imprescindíveis o reconhecimento precoce dos desequilíbrios acidobásicos e o tratamento das complicações. Em terapia intensiva, 90% dos pacientes têm algum distúrbio acidobásico. A respeito dos distúrbios acidobásicos, considere os itens:
I - A alcalose respiratória é caracterizada por aumento na pCO2 e por aumento compensatório na concentração sérica de bicarbonato. A principal causa encontrada em unidade de terapia intensiva é a doença pulmonar aguda ou crônica, com limitação na capacidade de ventilação alveolar relativa à produção de CO2.
II – A acidose respiratória ocorre quando a ventilação alveolar está aumentada em relação à produção de CO2 e se caracteriza por redução na pCO2 arterial. A compensação renal é feita pela diminuição na excreção de ácidos e pelo aumento na excreção de bicarbonato.
III - Na acidose metabólica, ocorre a diminuição dos níveis séricos de bicarbonato (<22mmHg), independentemente do pH. Suas principais causas são: Acúmulo de substâncias ácidas; Perda de fluidos contendo bicarbonato; Retenção apenas de H+.
IV – Alcalose metabólica, ocorre aumento do bicarbonato sérico acima de 26mmHg,
independentemente do pH. O mecanismo mais comum acontece por perda de íons H+ para as células ou para o meio externo, podendo surgir menos comumente no excesso na oferta de bicarbonato. São exemplos de causas específicas: Contração de volume (vômitos, diurese excessiva, ascite); Hipocalemia; Ingestão de álcalis (bicarbonato); excesso de glicocorticoides ou mineralocorticoides; Síndrome de Bartter.
Está correto o que se afirma em:
Provas
Com relação ao Tiopental, analise os excertos:
I - Mecanismo de Ação: Modulador alostérico positivo de receptores GABAA e glicina; alguma inibição glutamatérgica.
II - Uso: indução da anestesia geral, anestesia para procedimentos cirúrgicos de curta duração, suplementação de outros anestésicos.
III - Eliminação: primariamente renal (lenta).
Está correto o que se afirma em:
Provas
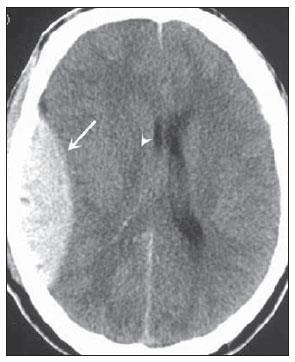
Analise a tomografia abaixo e assinale a alternativa que indique, corretamente, o achado radiográfico:

http://www.rb.org.br/detalhe_artigo.asp?id=2613&idioma=Portugues
Provas
A intoxicação por inseticidas pode ocorrer pela pele ou pela sua ingestão, como na tentativa de suicídio. Produz síndrome colinérgica dramática, de fácil diagnóstico no pronto-socorro. Os 2 principais representantes desse grupo são: 1 - Organofosforados: causam inibição irreversível da enzima acetilcolinesterase (malathion, parathion e gás sarin) e têm extensa distribuição no organismo e lento metabolismo hepático. 2 - Carbamatos: a inibição da acetilcolinesterase é reversível. São encontrados em muitos inseticidas domésticos (veneno para rato), têm ação bem mais curta e são metabolizados pelo fígado e pelo soro, habitualmente, em 12 a 24 horas.
Os principais antídotos utilizados nesse caso são:
Provas
Observe a imagem tomográfica abaixo, analise os excertos e assinale a alternativa correta:

http://www.rb.org.br/detalhe_artigo.asp?id=2613&idioma=Portugues
I – Tomografia Computadorizada com AVCI do território da Artéria Cerebral Posterior (ACP).
II – A;B - Infarto parcial, com envolvimento restrito ao hemisfério esquerdo.
III – C;D: Infarto completo à esquerda, com efeito de massa comprimindo o ventrículo lateral.
IV - No hemisfério direito visualiza-se hipodensidade esquerda maior.
Está correto o que se afirma em:
Provas
Há três subtipos principais de Acidente Vascular Isquêmico - AVCI, quanto à causa: por decorrente de doenças da parede arterial por arteriosclerose, dissecção ou displasia fibromuscular; , em que partículas provenientes de diversas partes do organismo migram para alguma região do cérebro; porém, como não é um processo restrito a uma área definida, terapia local só resolve o problema temporariamente; , ocasionado por déficit sanguíneo sistêmico, privando, por conseguinte, o tecido encefálico de sangue.
Assinale a alternativa que preenche, correta e respectivamente, as lacunas do texto:
Provas
Caderno Container