Foram encontradas 619 questões.
O surfactante pulmonar é constituído basicamente por lipídeos (90%) e proteínas (10%), sendo a fosfatidilcolina saturada seu principal componente tenso ativo, responsável pela diminuição da tensão superficial alveolar. Dentre as proteínas, destacam-se as apoproteínas (SP-A, SP-B, SP-C e SP-D), que são fundamentais na determinação da função e do metabolismo do surfactante pulmonar. Com relação ao surfactante, analise os itens:
I - O surfactante é sintetizado a partir da 20ª semana gestacional pelas células epiteliais tipo II.
II - O RN pré-termo com idade gestacional inferior a 35 semanas apresenta, portanto, deficiência da quantidade total de surfactante pulmonar. Tal deficiência resulta em aumento da tensão superficial e da força de retração elástica, levando à instabilidade alveolar com formação de atelectasias progressivas, com diminuição na complacência pulmonar.
III - Além da deficiência de surfactante, o aumento da quantidade de líquido pulmonar devido à maior permeabilidade da membrana alvéolo-capilar observada no RN pré-termo contribui significativamente para a gravidade da Síndrome do Desconforto Respiratório - SDR.
Está correto o que se afirma em:
Provas
No recém-nascido, é um sinal de aumento do trabalho respiratório e representa o movimento para cima e para baixo da cabeça, a cada respiração, pela contração da musculatura acessória do pescoço.
Assinale a alternativa que completa, corretamente, a lacuna do texto:
Provas
São parâmetros normais da gasometria arterial, exceto:
Provas
Analise os excertos abaixo sobre os achados da ausculta pulmonar:
I - são ruídos longos, graves e musicais, gerados pelo turbilhão aéreo que se forma com a movimentação de muco e de líquido dentro da luz das vias aéreas (geralmente brônquios de grosso calibre). Indicam asma brônquica, bronquites, bronquiectasias e obstruções localizadas. Aparecem na inspiração e, com maior frequência, na expiração. São fugazes, mutáveis, surgindo e desaparecendo em curtos períodos de tempo.
II - são sons contínuos, musicais e de longa duração. Têm sua origem nas vias aéreas e requerem o fechamento prévio dos brônquios.
Os itens discorrem sobre:
Provas
é como se define a vibração sentida quando o paciente emite um som estridente, como quando requisitado a falar “33”. Isso é importante, pois auxilia diagnóstico de processos patológicos, tais como derrame pleural ou consolidações pulmonares.
Assinale a alternativa que preenche, corretamente, a lacuna do texto:
Provas
Durante o exame físico do tórax, comum em enfisematosos é o:
Provas
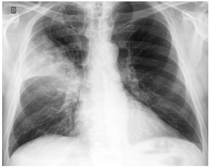
Frente ao achado no exame radiográfico, o Pneumologista decide entrar com uma Quinolona. Qual dos fármacos abaixo foi prescrito:
Provas
Observe a imagem abaixo:

Podemos observar, nitidamente, nesta radiografia, um infiltrado à direita, compatível com uma consolidação lobar, o que configura:
Provas
Acetilcisteína é um fármaco indicado em pneumologia como:
Provas
Dos inibidores de monoaminooxidase (IMAOs), é exemplo de antidepressivo inibidor seletivo da recaptura de noradrenalina:
Provas
Caderno Container