Foram encontradas 470 questões.
A odontologia preventiva tem como objetivo auxiliar pessoas a alcançar uma saúde bucal saudável ao longo de suas vidas. Informe se é verdadeiro (V) ou falso (F) para o que se afirma e assinale a alternativa com a sequência correta.
( ) Motivar o paciente a mudar o comportamento é fundamental para melhorar a saúde bucal.
( ) O aspartame e o sorbitol podem ser substitutos do açúcar, uma vez que eles tem potencial de ser anticariogênico.
( ) Os géis fluoretados com alta concentração (2%) são necessários prescrição do cirurgião-dentista.
( ) Os enxaguantes bucais que contem concentração de 0,63 de fluoreto estanoso ou 0,2% de fluoreto de sódio devem ser prescritos pelo cirurgiã-dentista responsável.
Provas
Sobre manejo de perfurocortantes, informe se é verdadeiro (V) ou falso (F) para o que se afirma e assinale a alternativa com a sequência correta.
( ) Lâminas de bisturi, fios ortodônticos e vidro quebrados são considerados perfurocortantes descartáveis.
( ) A agulha deve ser quebrada antes de ser depositada no recipiente de descarte perfurocortantes.
( ) Após a anestesia local, a agulha deve ser reencapada com as duas mãos.
( ) O recipiente do perfurocortante deve ser fechado, à prova de vazamento e rotulado com símbolo de risco biológico.
Provas
A Norma de Patógenos Sanguíneos da OSHA, lei de controle de infecção mais importante em odontologia, define uma exposição ocupacional como “qualquer contato razoavelmente antecipado com a pele, olhos ou membrana mucosa ou lesões percutâneas envolvendo sangue ou quaisquer outros materiais potencialmente infecciosos”, podendo ser definidos por categoria de funcionários grau I, II e III. São da categoria de funcionários grau I, exceto:
Provas
Assinale a alternativa correta que corresponde ao tipo de ácido utilizado para o condicionamento do tecido dentário para receber restaurações de resinas compostas fotopolimerizáveis.
Provas
Assinale a alternativa incorreta. São aplicações do uso da peça de mão de alta rotação:
Provas
São instrumentos básicos para o cirurgião-dentista realizar a avaliação clínica inicial do paciente, exceto:
Provas
A colocação de barreiras mecânicas em superfícies e em equipamentos podem ser utilizadas no consultório odontológico, como embalagens e saquinhos plásticos. São vantagens do uso de barreiras mecânicas de superfície, exceto:
Provas
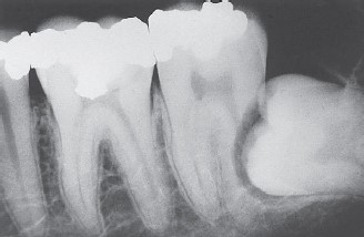
A figura abaixo é um tipo de radiografia odontológica. Assinale a alternativa correta que corresponde a essa radiografia.

Fonte: livro “Fundamentos em Odontologia para TSB e ASB”.
Provas
Conforme a Organização Internacional para Padronização (ISO) a notação dentária é fundamental para facilitar a execução do exame clínico e o entendimento de toda equipe de saúde bucal. Assinale a alternativa correta que equivale ao primeiro molar inferior direito decíduo.
Provas
O padrão do fluxo de trabalho no processamento dos instrumentais odontológicos é fundamental para garantir que ocorra em circuito único, ou seja, de sujo, para limpo, para estéril e para armazenamento, nunca havendo “recuo”. A respeito da área contaminada, são itens que podem ser mantidos e/ou processos que são realizados nesse ambiente, exceto:
Provas
Caderno Container