Foram encontradas 1.037 questões.
Atenção: o histórico a seguir deverá ser utilizado na questão seguinte:
Homem, 79 anos, com diagnóstico de neoplasia colorretal com metástases hepáticas, peritoneais e cerebrais, está em tratamento sob cuidados paliativos exclusivos após conferência familiar entre equipe da oncologia e familiares.
Foi internado na retaguarda do PS há um dia devido à dor abdominal severa, refratária a analgésicos comuns, presença de náuseas e vômitos intensos e parada da eliminação de gazes e fezes na colostomia. Ao EF: MEG, muito emagrecido, sonolento, FC 115, PA 84x66mmHg, desidratado, com abdome doloroso difusamente à palpação. Ausência de fecaloma ao toque retal.
Assinale a opção que indica a principal hipótese diagnóstica e o antiemético a ser utilizado.
Provas
Durante o atendimento de um paciente que evoluiu para parada cardiorrespiratória no pronto-socorro e que recebe reanimação cardiopulmonar, o seguinte traçado da capnografia em forma de onda é observado:

Baseado nesta informação e segundo o ACLS, a conduta mais adequada é
Provas
Paciente de 70 anos, sexo masculino, sem comorbidades conhecidas foi admitido no pronto-socorro há 6 horas, com quadro de dor torácica anginosa.
No momento, não apresenta qualquer queixa de dor e está assintomático, sem quaisquer alterações de sinais vitais. Realizou exames de troponina seriados, todos negativos. Segue eletrocardiograma admissional:

Assinale a opção que indica a conduta mais adequada.
Provas
Paciente do sexo masculino de 29 anos, com diagnóstico de Covid-19 na sua forma leve, dá entrada no pronto-socorro com quadro de pré-síncope, mal-estar generalizado e palpitações. Refere estar fazendo uso de um kit Covid prescrito, contendo hidroxicloroquina, azitromicina e ivermectina.
Ao exame, paciente diaforético, hipotenso e com sinais de má-perfusão periférica. Paciente foi monitorizado em desfibrilador e obtido o seguinte traçado elétrico:

Considere as seguintes opções terapêuticas:
I. Sulfato de magnésio
II. Amiodarona
III. Cardioversão elétrica sincronizada
IV. Desfibrilação
Para esse paciente, são factíveis de serem realizadas
Provas
Paciente de 25 anos do sexo feminino com antecedente de asma dá entrada no pronto-socorro em franca crise de broncoespasmo e insuficiência respiratória, não respondendo às medidas para controle da doença de base. Como consequência, é intubada.
À ventilação mecânica, após ajustados os parâmetros iniciais, observa-se, em modo volume controlado, a seguinte curva de fluxo x tempo:

Para amenizar o fenômeno apontado pela seta, todas as condutas abaixo são plausíveis, à exceção de uma. Assinale-a.
Provas
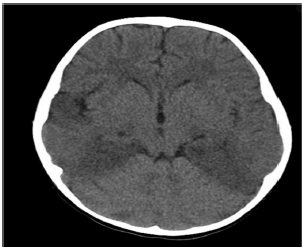
Paciente de 66 anos do sexo feminino com antecedente de hipertensão, AVC hemorrágico há 2 anos sem sequelas, e arritmia, sem seguimento médico adequado, fazendo uso irregular de captopril. Além disso, apresentou traumatismo craniano leve na semana passada, sem maiores repercussões.
Procura pronto-socorro com queixa de déficit neurológico agudo, com aparecimento há 40 minutos. À admissão, exibe PA 150x92, FC 77, FR 18, SatO2 96% a.a., glicemia capilar de 90mg/dL. Ao exame neurológico, apresenta hemiplegia à direita, afasia global e paralisia facial de padrão central, com NIHSS = 15. Realizada TC de crânio, abaixo:

Neste momento, a conduta mais adequada para essa paciente seria
Provas
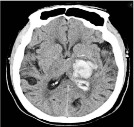
Paciente de 59 anos, do sexo masculino, com antecedente de HAS, DM e tabagismo, dá entrada em serviço de emergência com quadro de cefaleia súbita após briga no trânsito, seguida de hemiparesia em dimídio direito e afasia de expressão.
À admissão, está com FC 66, PA 198x118 e glicemia capilar de 275mg/dL. Realizada TC de crânio, exibida abaixo.

Assinale a opção que indica a única medida que não melhora o desfecho neurológico deste doente.
Provas
Homem de 40 anos, em situação de rua e etilista, é trazido por seus companheiros ao hospital. O paciente apresenta febre e perda de peso há 4 semanas, acompanhado de tosse com escarro purulento. Ao exame físico, emagrecido, em regular estado geral, com sinais vitais estáveis. Realiza RX tórax:

Sobre a patologia que apresenta, assinale a afirmativa correta.
Provas
Paciente do sexo masculino de 47 anos dá entrada no pronto-socorro com quadro de febre alta de até 40 graus, há 3 dias, seguido por confusão mental e alterações de comportamento há 1 dia.
Familiares referem que o paciente em questão começou a esmurrar a parede sem propósito, além de ficar se encarando no espelho durante horas a fio.
Ao exame neurológico, agitado, Glasgow 14, sem déficits focais, mas com discurso desconexo. Realizada TC de crânio:

Realizado, ainda, exame de líquor, com os seguintes achados: glicose 55, proteínas 70, células 52 (predomínio linfo-mono), bacterioscópio negativo.
A conduta adequada para o manejo desta condição é
Provas
Considere as vacinas a seguir.
I. Contra febre amarela.
II. Tríplice viral (sarampo, caxumba e rubéola).
III. DTPa (difteria, tétano e pertussis).
IV. Contra Influenza.
V. Contra Hepatite B.
Assinale a opção que indica, na gestação, as vacinas que não exibem contraindicações.
Provas
Caderno Container