Magna Concursos

Foram encontradas 740 questões.

2781480 Ano: 2023
Disciplina: Medicina
Banca: VUNESP
Orgão: Pref. Pindamonhangaba-SP

A primeira figura é uma foto de um ecocardiograma realizado em um recém-nascido com tumores múltiplos na parede lateral do ventrículo direito sem causar obstruções. A segunda figura é uma foto de um ecocardiograma realizado na mesma criança aos quatro anos de idade.

Enunciado 3561503-1

Qual o diagnóstico mais provável?

 

Provas

Questão presente nas seguintes provas
2781479 Ano: 2023
Disciplina: Medicina
Banca: VUNESP
Orgão: Pref. Pindamonhangaba-SP
Provas:

Com relação aos aneurismas de artérias periféricas, assinale a alternativa correta.

 

Provas

Questão presente nas seguintes provas
2781478 Ano: 2023
Disciplina: Medicina
Banca: VUNESP
Orgão: Pref. Pindamonhangaba-SP
Provas:

Homem de 70 anos, negro, tabagista e hipertenso há muitos anos, apresenta-se com claudicação intermitente e dor na panturrilha direita há alguns meses, aliviada com repouso. Feita a hipótese diagnóstica, assinale a alternativa que contém o sinal que deve ser pesquisado no exame físico do paciente para comprovar o seu diagnóstico.

 

Provas

Questão presente nas seguintes provas
2781477 Ano: 2023
Disciplina: Medicina
Banca: VUNESP
Orgão: Pref. Pindamonhangaba-SP
Provas:

Com relação ao emprego dos exames de imagem no diagnóstico do abdome agudo, assinale a alternativa correta.

 

Provas

Questão presente nas seguintes provas
2781476 Ano: 2023
Disciplina: Medicina
Banca: VUNESP
Orgão: Pref. Pindamonhangaba-SP
Provas:

Mulher de 23 anos, com atraso menstrual de 2 meses, apresentou dor súbita abdominal em região hipogástrica, seguida de tontura há cerca de 1 hora. Encaminhada ao Pronto-Socorro, foi atendida, submetida a exame físico e realizado exame HCG e ultrassom abdominal que detectaram gravidez ectópica rota. Que sinal se espera observar à inspeção do abdome, nesse caso, e o que ele indica?

 

Provas

Questão presente nas seguintes provas
2781475 Ano: 2023
Disciplina: Medicina
Banca: VUNESP
Orgão: Pref. Pindamonhangaba-SP
Provas:

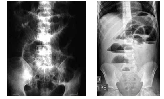
Homem de 45 anos procurou pronto-atendimento com história de náuseas, vômitos e distensão abdominal há 2 dias. Não elimina flatos ou fezes desde então. Foi submetido a uma laparotomia exploradora aos 40 anos por ferimento abdominal por arma de fogo (FAF). Foi uma operação extensa, segundo relato do paciente, em que foi removido mais de 1 metro de intestino delgado. Ao exame físico: em regular estado geral, um pouco desidratado, PA: 110 x 80 mmHg, FC: 85 bpm, RHA aumentados, abdome globoso, timpânico, globalmente doloroso, sem sinais de peritonite. Apresenta RX abdome (posição supina e ortostática) a seguir.

Enunciado 3561498-1

Qual o diagnóstico sindrômico e etiológico mais provável e a conduta inicial mais indicada?

 

Provas

Questão presente nas seguintes provas
2781474 Ano: 2023
Disciplina: Medicina
Banca: VUNESP
Orgão: Pref. Pindamonhangaba-SP
Provas:

As lesões esplênicas são frequentemente observadas na prática cirúrgica.

Com relação ao trauma esplênico, assinale a alternativa correta.

 

Provas

Questão presente nas seguintes provas
2781473 Ano: 2023
Disciplina: Medicina
Banca: VUNESP
Orgão: Pref. Pindamonhangaba-SP
Provas:

Na ceratoplastia penetrante em córneas com diâmetro normal, o tamanho recomendado para o enxerto é de 7.5 mm, porque enxertos de diâmetro maior têm mais possibilidade de apresentar, principalmente, a seguinte complicação pós-operatória:

 

Provas

Questão presente nas seguintes provas
2781472 Ano: 2023
Disciplina: Medicina
Banca: VUNESP
Orgão: Pref. Pindamonhangaba-SP
Provas:

Crianças com até 6 anos de idade com esotropia totalmente acomodativa e relação CA/A normal devem ser tratadas com

 

Provas

Questão presente nas seguintes provas
2781471 Ano: 2023
Disciplina: Medicina
Banca: VUNESP
Orgão: Pref. Pindamonhangaba-SP
Provas:

Paciente de 18 anos, masculino, branco, chega ao pronto-socorro referindo embaçamento visual em olho D após bolada que tomou nesse olho no jogo de futebol, há 1 hora.

O exame oftalmológico mostrou:

AV sc: OD MM

OE 20/20

Biomicroscopia: OD hifema tomando 2/3 da câmara anterior.

OE sem alterações.

Tonometria de aplanação: OD 35 mmHg

OE 14 mmHg

Fundoscopia: OD impossível

OE sem alterações.

Além de recomendar repouso em decúbito elevado e aumento da ingesta hídrica, o tratamento inicial para esse paciente consiste em

 

Provas

Questão presente nas seguintes provas