Magna Concursos

Foram encontradas 740 questões.

2781500 Ano: 2023
Disciplina: Medicina
Banca: VUNESP
Orgão: Pref. Pindamonhangaba-SP
Provas:

Mulher, 78 anos, portadora de Divertículo de Zenker não tratado, evolui com quadro de sudorese noturna, astenia, tosse seca e dispneia há 4 dias.

Assinale a alternativa que indica o diagnóstico mais provável dessa paciente e sua etiologia.

 

Provas

Questão presente nas seguintes provas
2781499 Ano: 2023
Disciplina: Medicina
Banca: VUNESP
Orgão: Pref. Pindamonhangaba-SP
Provas:

Os fatores de risco do hospedeiro influenciam nas taxas de infecção hospitalar de forma ainda mais significativa, quando submetidos a um procedimento cirúrgico.

Assinale a alternativa que justifica essa afirmação.

 

Provas

Questão presente nas seguintes provas
2781498 Ano: 2023
Disciplina: Medicina
Banca: VUNESP
Orgão: Pref. Pindamonhangaba-SP

A manobra de Lecompte realizada na operação de Jatene serve para

 

Provas

Questão presente nas seguintes provas
2781497 Ano: 2023
Disciplina: Medicina
Banca: VUNESP
Orgão: Pref. Pindamonhangaba-SP
Provas:

Com relação aos abscessos pulmonares, é correto afirmar:

 

Provas

Questão presente nas seguintes provas
2781496 Ano: 2023
Disciplina: Medicina
Banca: VUNESP
Orgão: Pref. Pindamonhangaba-SP
Provas:

Para o cirurgião, a escolha de um fio ideal para uma boa síntese é uma preocupação constante, sendo importante que esse fio mantenha a força tênsil por tempo suficiente até que a cicatriz adquira sua própria resistência frente aos estímulos mecânicos habituais e que seja inerte, provocando o mínimo de reação tecidual. Assim,

 

Provas

Questão presente nas seguintes provas
2781495 Ano: 2023
Disciplina: Medicina
Banca: VUNESP
Orgão: Pref. Pindamonhangaba-SP
Provas:

Com relação à Doença Diverticular dos Colons (DDC), é correto afirmar que

 

Provas

Questão presente nas seguintes provas
2781494 Ano: 2023
Disciplina: Medicina
Banca: VUNESP
Orgão: Pref. Pindamonhangaba-SP
Provas:

O sangramento gastrointestinal do trato superior é um problema relativamente comum e a maioria dos sangramentos não varicosos (70%) é atribuída à úlcera péptica. A endoscopia alta flexível é o melhor procedimento inicial para o diagnóstico nesses casos. Os pacientes que apresentam sangramento ativo com jato arterial à endoscopia são de alto risco e a intervenção é necessária.

A classificação desses pacientes, segundo Forest, é

 

Provas

Questão presente nas seguintes provas
2781493 Ano: 2023
Disciplina: Medicina
Banca: VUNESP
Orgão: Pref. Pindamonhangaba-SP
Provas:

O termo doença intestinal inflamatória é geralmente usado para descrever duas doenças de causa desconhecida com aspectos gerais semelhantes: a colite ulcerativa e a doença de Crohn. Com relação a esse tema, assinale a alternativa correta.

 

Provas

Questão presente nas seguintes provas
2781492 Ano: 2023
Disciplina: Medicina
Banca: VUNESP
Orgão: Pref. Pindamonhangaba-SP

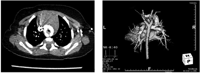
Mãe de lactente de um ano refere que seu filho apresenta chiado no peito desce o nascimento. Vem sendo tratado como bronquiolite desde então. Procurou novo pediatra que o encaminhou ao cardiopediatra. Mãe apesar de desconfiada passou em consulta e realizou radiografia de tórax normal, eletrocardiograma normal, ecocardiograma que viu alguma alteração na aorta nada conclusivo e angiotomografia e tomografia de tórax.

Enunciado 3561515-1

Com base nessas ilustrações, qual seu diagnóstico?

 

Provas

Questão presente nas seguintes provas
2781491 Ano: 2023
Disciplina: Medicina
Banca: VUNESP
Orgão: Pref. Pindamonhangaba-SP
Provas:

O conceito de câncer colorretal familiar é relativamente novo. Assinale a observação correta relativa a esse tema.

 

Provas

Questão presente nas seguintes provas