Foram encontradas 625 questões.
A abertura mediana que comunica o quarto ventrículo com o espaço subaracnoide é chamada de
Provas
Quantos sulcos horizontais estão presentes na superfície lateral do lobo frontal?
Provas
Em relação ao transtorno de déficit de atenção e hiperatividade (TDAH), assinale a alternativa correta.
Provas
Paciente do sexo masculino, 10 anos, com movimentos estereotipados de extensão do pescoço e piscamento, que melhoram com distração e pioram com estresse. O paciente consegue suprimi-los por um período e são precedidos por sensação de desconforto.
Essas características semiológicas sugerem
Provas
Paciente com 6 meses de vida, sem antecedentes relevantes, apresenta preferência por uso da mão esquerda. Além disso, apresenta hipertonia de membro superior direito.
Qual é o principal exame a ser solicitado?
Provas
Paciente do sexo masculino, 12 anos, com quadro de dor pulsátil em região frontal e periorbital esquerda há 3 dias e, há dois dias, houve queda da pálpebra esquerda. Teve episódio prévio semelhante há 2 anos com envolvimento do olho contralateral. Além disso, tem episódios recorrentes de cefaleia unilateral, pulsátil, de forte intensidade e associada a fotofobia. Ao exame físico atual apresenta acometimento da musculatura inervada pelo nervo oculomotor esquerdo com envolvimento da pupila. Realizou RM de crânio, que evidenciou captação de contraste do nervo oculomotor à esquerda. Os exames laboratoriais e o líquor são normais. A principal hipótese é de
Provas
Assinale a alternativa correta referente às miopatias.
Provas
Paciente feminina, 62 anos, hipertensa, diabética e em reposição hormonal, é admitida na emergência com queixa de hemiparesia completa à direita, afasia motora leve e paralisia facial central à direita, de início há 3 horas. Realizou tomografia de crânio sem contraste, que foi classificada como ASPECTS 10. Com 3,5 horas do início dos sintomas apresentava pontuação na escala do NIH de 10, pressão arterial de 180/100 mmHg, glicemia capilar de 124 mg/dL, Sat02 de 94% e ritmo sinusal no monitor cardíaco.
Assinale a alternativa correta sobre a conduta acerca desse caso.
Provas
Dentre as opções terapêuticas na Doença de Parkinson, assinale a alternativa correta.
Provas
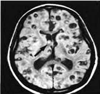
Analise a imagem de um paciente com diagnóstico de epilepsia e assinale a alternativa correta referente às neuroparasitoses mais comuns no Brasil.

(https://www.google.com/imgres?imgurl=x-raw-image)
Provas
Caderno Container