Foram encontradas 625 questões.
Assinale a alternativa correta referente à semiologia do tronco cerebral.
Provas
Dentre as afirmações apresentadas, assinale a alternativa correta.
Provas
A afirmação que descreve corretamente as síndromes corticais do sistema nervoso é:
Provas
Qual é a principal via ascendente do sistema nervoso responsável por transmitir informações sobre tato, pressão e propriocepção para o cérebro?
Provas
Qual dos seguintes termos descreve a habilidade de um indivíduo em realizar movimentos coordenados e precisos?
Provas
Mulher de 77 anos, branca, casada, aposentada, escolaridade ensino fundamental, comparece à consulta acompanhada da filha, com queixa de esquecimento. Filha relata que começou a notar o sintoma referido há aproximadamente um ano. No início, os familiares perceberam que a paciente estava com dificuldade para lembrar de nomes, recados e que estava contando os mesmos casos e fazendo as mesmas perguntas várias vezes. Paciente nega outras alterações cognitivas, como alteração na fala e percepção. Nega alterações comportamentais e de humor. Atualmente, apresenta dificuldade para realização de atividades de vida diária. Faz uso de sinvastatina, losartan e furosemida.
Antecedentes: hipertensa e ex-tabagista. Nega etilismo. Mini-exame do estado mental (MEEM): revelou alterações em orientação, memória de evocação, atenção e cálculo, comando e cópia de pentágonos (14/30 pontos). Teste do relógio: não conseguiu reproduzir o desenho.
Com relação ao diagnóstico dessa paciente, assinale a alternativa correta.
Provas
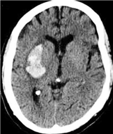
Paciente do sexo masculino, 58 anos, hipertenso prévio sem controle adequado e tabagista. Admitido com queixa de cefaleia e hemiplegia completa à esquerda de início súbito há 4 horas da admissão hospitalar. No momento apresenta pontuação na escala do NIH de 12, pressão arterial de 210/100 mmHg, FC: 87 bpm, ritmo sinusal no monitor cardíaco. Tomografia de crânio a seguir.

(https://www.google.com/imgres?)
Assinale a alternativa correta referente ao tratamento na fase aguda desse paciente.
Provas
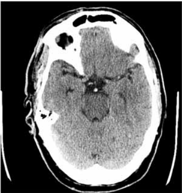
Paciente do sexo masculino, 67 anos, apresentou-se ao hospital com rebaixamento súbito da consciência há uma hora da admissão. Ao exame apresentava tetraparesia flácida, sonolência e nistagmo vertical. Após estabilização hemodinâmica, realizou tomografia de crânio (a seguir). Familiar que acompanha o paciente refere que ele faz uso de medicações para hipertensão arterial e arritmia cardíaca, mas não sabe informar os nomes.

(https://www.google.com/ url?sa=i&url=https%3A%2F%2Fwww.frontiersin.org%)
Assinale a alternativa que apresenta, corretamente, o tratamento mais adequado para esse paciente.
Provas
Paciente admitido com queixa de febre aferida de 39 ºC há 3 dias, associada a cefaleia holocraniana e fotofobia. Ao exame físico, apresenta rigidez de nuca.
Assinale a alternativa correta em relação às indicações de punção lombar antes da tomografia de crânio na suspeita de infecções do sistema nervoso central.
Provas
Qual das seguintes opções é uma característica comum da maioria das neuropatias periféricas hereditárias?
Provas
Caderno Container