Foram encontradas 788 questões.
João, 21 anos, apresenta massa testicular à esquerda sólida
com hipótese diagnóstica inicial de câncer testicular. Qual é
o primeiro local de metástase deste tumor?
Provas
Questão presente nas seguintes provas
Os traumas fechados são causas comuns de lesão vesical,
principalmente em acidentes automobilísticos. Sobre esse
tipo de lesão, marque V para as afirmativas verdadeiras e
F para as falsas.
( ) O melhor exame de imagem para a investigação do trauma na bexiga é a urografia excretora. ( ) A laceração extraperitoneal ocorre pelo aumento súbito da pressão na bexiga. ( ) Os extravasamentos intraperitoniais devem ser abordados com laparotomia e rafia primária da bexiga.
A sequência está correta em
( ) O melhor exame de imagem para a investigação do trauma na bexiga é a urografia excretora. ( ) A laceração extraperitoneal ocorre pelo aumento súbito da pressão na bexiga. ( ) Os extravasamentos intraperitoniais devem ser abordados com laparotomia e rafia primária da bexiga.
A sequência está correta em
Provas
Questão presente nas seguintes provas
Sobre os tumores do testículo, é correto afirmar que:
Provas
Questão presente nas seguintes provas
Em relação às estruturas avaliadas no estudo Doppler e
suas respectivas funções, relacione adequadamente as
colunas a seguir.
1. Umbilical. 2. Cerebral média. 3. Uterina. 4. Ducto venoso.
( ) Avalia implantação placentária. ( ) Avalia função placentária. ( ) Avalia oxigenação fetal. ( ) Avalia função cardíaca do feto.
A sequência está correta em
1. Umbilical. 2. Cerebral média. 3. Uterina. 4. Ducto venoso.
( ) Avalia implantação placentária. ( ) Avalia função placentária. ( ) Avalia oxigenação fetal. ( ) Avalia função cardíaca do feto.
A sequência está correta em
Provas
Questão presente nas seguintes provas
São critérios avaliados no Perfil Biofísico Fetal (PBF)
ultrassonográfico, EXCETO:
Provas
Questão presente nas seguintes provas
Diante a um feto de 28 semanas, com peso abaixo do
percentil 3 para idade gestacional, qual deverá ser a
conduta imediata?
Provas
Questão presente nas seguintes provas
Sobre os nódulos hepáticos, analise as afirmativas a
seguir.
I. O hemangioma apresenta reforço acústico ao USG. II. A gênese da hiperplasia nodular focal está intrinsecamente relacionada com o uso de anticoncepcionais orais. III.A presença de cicatriz central e halo marginal caracteriza o hemangioma. IV. Vasos centrais de pequeno calibre podem ser encontrados nos adenomas. Assinale a alternativa correta.
I. O hemangioma apresenta reforço acústico ao USG. II. A gênese da hiperplasia nodular focal está intrinsecamente relacionada com o uso de anticoncepcionais orais. III.A presença de cicatriz central e halo marginal caracteriza o hemangioma. IV. Vasos centrais de pequeno calibre podem ser encontrados nos adenomas. Assinale a alternativa correta.
Provas
Questão presente nas seguintes provas
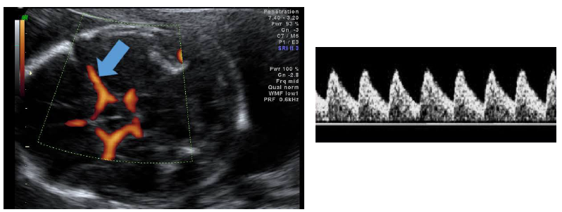
Com base nas imagens, assinale a artéria que está sendo estudada e a conduta esperada.


Provas
Questão presente nas seguintes provas
Qual é o nome do artefato evidenciado na figura?


Provas
Questão presente nas seguintes provas
1319602
Ano: 2019
Disciplina: Literatura Brasileira e Estrangeira
Banca: Consulplan
Orgão: Pref. Pitangueiras-SP
Disciplina: Literatura Brasileira e Estrangeira
Banca: Consulplan
Orgão: Pref. Pitangueiras-SP
“Mais tarde tive notícias dele. Mandava-me dizer que lá
me esperava. Sim, Barão!... Hei de voltar, um dia. E
havemos de tornar a perder-nos pelos caminhos sombrios
do nosso sonho e da nossa loucura; e mais uma vez
havemos de cantar às estrelas, e dar a vida para ires depor
outro botão de rosa na alta janela na tua Bela
Adormecida!...” O trecho exposto de “O barão”, de
Branquinho da Fonseca, atesta a constituição de uma
narrativa na qual, conforme o crítico literário Massaud
Moisés (2008), em “A literatura portuguesa”, “fundindo o
real e o ideal, o universo das formas sensíveis com o das
formas intuíveis, o escritor cria um surrealismo poético, que
emana da própria sondagem no interior das realidades
palpáveis”. Por tais características estilísticas e pela
influência da própria época de suas produções ficcionais, o
autor vincula-se ao movimento artístico-literário português
que levou o nome de:
Provas
Questão presente nas seguintes provas
Cadernos
Caderno Container