Foram encontradas 850 questões.
Em relação à semiologia das síndromes medulares, assinale a alternativa correta.
Provas
Qual das síndromes a seguir é uma síndrome lacunar clássica?
Provas
Paciente do sexo feminino, 26 anos, com diagnóstico de esclerose múltipla, apresenta quadro agudo de diplopia binocular horizontal. Ao exame do olhar conjugado para a esquerda, apresenta limitação da adução de olho direito e nistagmo do olho esquerdo. A convergência é preservada. Qual é a estrutura envolvida no surto atual?
Provas
Qual é a região comumente afetada na síndrome de desmielinização osmótica que ocorre após correção rápida de hiponatremia?
Provas
Você recebe um paciente de 65 anos após 14 dias de um AVC isquêmico cerebelar, com boa recuperação sintomática e melhora da lesão nos exames de imagem. Atualmente, apresenta ataxia leve. A investigação etiológica evidenciou fibrilação atrial permanente e não valvar. Com relação à profilaxia secundária, assinale a alternativa correta.
Provas
Paciente do sexo feminino, 72 anos, com fraqueza do lado direito e dificuldade de fala há duas horas da admissão. Tem antecedente de hipotireoidismo e hipercolesterolemia. Ao exame, apresenta afasia de expressão e hemiparesia à direita de predomínio braquial. Realizou tomografia computadorizada de crânio que não evidenciou alterações. Qual é o diagnóstico e o território vascular acometido?
Provas
Paciente do sexo masculino, 40 anos, com mielorradiculopatia em cone medular de evolução aguda. Imagem por ressonância magnética mostra edema e captação de contraste em cone e cauda equina e há pleocitose com eosinófilos no líquor. A principal hipótese diagnóstica é
Provas
Paciente do sexo feminino, 16 anos, com quadro de fraqueza para subir escadas há dois anos. Mais recentemente, iniciou também com fraqueza para elevar os membros superiores. Seus genitores são primos de segundo grau e não há história familiar de quadro semelhante. Ao exame, apresenta atrofia e fraqueza de cinturas escapular e pélvica. Os reflexos osteotendinosos estão presentes, porém são reduzidos, e não há fatigabilidade ou fasciculações. Assinale a alternativa correta em relação à principal hipótese diagnóstica e à investigação inicial.
Provas
Paciente do sexo masculino, 65 anos, comerciante com ensino médio completo, foi trazido à consulta por familiares devido a quadro de esquecimentos há 2 anos. Atualmente, não consegue mais gerir sua loja ou as finanças da casa e não se lembra de compromissos. Tem antecedente de hipertensão arterial sistêmica e dislipidemia. O exame neurológico geral é normal. Pontuou 25 no mini- -exame do estado mental (perdeu 2 pontos em atenção e cálculo e 3 pontos na evocação). Qual é a principal hipótese diagnóstica?
Provas
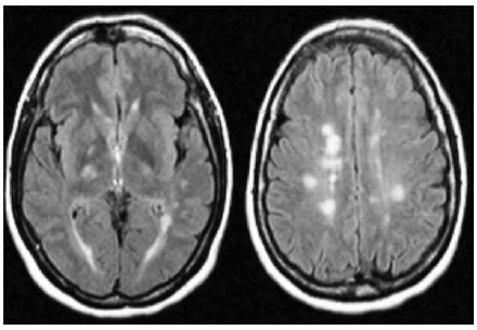
Paciente do sexo feminino, 25 anos, com queixa de fraqueza e dormência à esquerda há 3 dias. Tem antecedente de neurite óptica à esquerda há dois anos. Ao exame, apresenta hemiparesia com sinais de liberação piramidal à esquerda, bem como hipoestesia nesse dimídio. Realizou a ressonância magnética de crânio mostrada a seguir.

A celularidade e a bioquímica do líquor eram normais. Diante do exposto, o diagnóstico é de
Provas
Caderno Container