Magna Concursos

Foram encontradas 30 questões.

1019143 Ano: 2019
Disciplina: Nutrição
Banca: GSA Concursos
Orgão: Pref. Saltinho-SC
A Lei 13.306/2016 altera o Estatuto da Criança e do Adolescente de acordo com a Lei de Diretrizes e Bases da Educação e prevê:
 

Provas

Questão presente nas seguintes provas
1019142 Ano: 2019
Disciplina: Nutrição
Banca: GSA Concursos
Orgão: Pref. Saltinho-SC
A encefalopatia de Wernicke que os alcoólatras podem desenvolver, caracterizada por confusão mental oftalmoplegia e ataxia, está associada a uma redução na ingestão e na absorção de
 

Provas

Questão presente nas seguintes provas
1019141 Ano: 2019
Disciplina: Nutrição
Banca: GSA Concursos
Orgão: Pref. Saltinho-SC
A partir dos direitos de aprendizagem e desenvolvimento da criança, a BNCC estabeleceu campos de experiência, fundamentais para que a criança possa aprender e se desenvolver:
 

Provas

Questão presente nas seguintes provas
1019140 Ano: 2019
Disciplina: Nutrição
Banca: GSA Concursos
Orgão: Pref. Saltinho-SC
Para Piaget o pensamento infantil passa por quatro estágios (estágios do desenvolvimento), desde o nascimento até o inicio da adolescência, quando a capacidade plena do raciocínio é atingida.
 

Provas

Questão presente nas seguintes provas
1019139 Ano: 2019
Disciplina: Nutrição
Banca: GSA Concursos
Orgão: Pref. Saltinho-SC
Educar para Piaget é:
 

Provas

Questão presente nas seguintes provas
1019109 Ano: 2019
Disciplina: Fisioterapia
Banca: GSA Concursos
Orgão: Pref. Saltinho-SC
Provas:
Um paciente de 35 anos é encaminhado por um perito do INSS para o setor de fisioterapia apresentando história de dor na região lombossacra e parestesia de membro inferior direito. A carta de encaminhamento do perito solicita relatório fisioterapêutico sobre as condições cinético-funcionais do paciente. Durante a avaliação, o paciente reclama que não consegue trabalhar há mais de um ano e que a única alternativa para sua situação é ser aposentado por invalidez. Ao exame físico, o Fisioterapeuta não constata alterações clínicas que possam estar desencadeando as dores relatadas. O fisioterapeuta decide aplicar o teste de Hoover como ilustrado na figura abaixo. enunciado 1019109-1 Considerando as informações do caso clinico e na figura acima, assinale a alternativa correta:

 

Provas

Questão presente nas seguintes provas
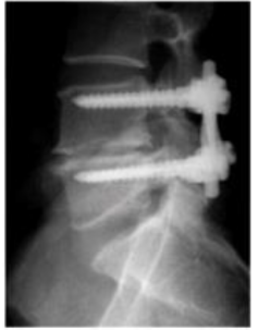
1019108 Ano: 2019
Disciplina: Fisioterapia
Banca: GSA Concursos
Orgão: Pref. Saltinho-SC
Provas:

Sobre a imagem abaixo assinale a alternativa correta:

enunciado 1019108-1

 

Provas

Questão presente nas seguintes provas
1019107 Ano: 2019
Disciplina: Fisioterapia
Banca: GSA Concursos
Orgão: Pref. Saltinho-SC
Provas:
Uma mulher de 52 anos com diagnóstico de artrite reumatoide procura o fisioterapeuta com queixa de dor articular nas mãos e dificuldade para execução de atividades de vida diária. A partir desse quadro clínico, o fisioterapeuta precisa avaliar no exame físico, EXCETO:
 

Provas

Questão presente nas seguintes provas
1019106 Ano: 2019
Disciplina: Fisioterapia
Banca: GSA Concursos
Orgão: Pref. Saltinho-SC
Provas:
Paralisia Cerebral (PC) é um grupo de desordens do desenvolvimento do movimento e da postura, devido à lesão não progressiva no encéfalo imaturo, com etiologia e quadro clínicos diversos. Na PC, as desordens motoras estão frequentemente associadas às alterações sensoriais, cognitivas, comunicativa, perceptiva e/ou comportamental. Com o auxilio desta definição, julgue as afirmações que seguem.
I) A lesão que causa a PC poderá ocorrer no período pré-, peri- ou pós-natal. II) Devido à diversidade da etiologia, as manifestações clínicas da PC não são facilmente observadas. III)O diagnóstico da PC é baseado em alterações predominantemente motoras. IV)Devido ao caráter predominantemente motor, raramente são encontrados distúrbios sensoriais associados ao quadro de PC. V) Tanto a lesão no encéfalo quanto os sinais e sintomas característicos da PC não são progressivos.
Estão corretas, apenas as afirmações:
 

Provas

Questão presente nas seguintes provas
1019105 Ano: 2019
Disciplina: Fisioterapia
Banca: GSA Concursos
Orgão: Pref. Saltinho-SC
Provas:
Um programa fisioterapêutico no pós operatório imediato na artroplastia do quadril deve conter:
 

Provas

Questão presente nas seguintes provas