Foram encontradas 1.359 questões.
Homem, 70 anos, com antecedente pregresso de hipertensão arterial, diabetes, tabagismo (50 anos-maço) e DPOC, trazido para atendimento médico, pois apresenta mudança no padrão da tosse, tornando-se mais intensa e produtiva há 5 dias, associada à febre e dificuldade para respirar nas últimas 24 horas. Não fez uso de antibióticos recentemente. Está em uso irregular das medicações, as quais os acompanhantes não sabem informar quais são. Ao exame: Agitado, Pressão arterial 90 x 54 mmHg, FC 120 bpm, FR 32 irpm, tempo de enchimento capilar 6 segundos, saturação de oxigênio 88 % em catéter nasal de O2/3 litros minuto. Temperatura axilar 37,4°C. Ausculta pulmonar: presença de roncos e sibilos difusos bilateralmente. Exames Laboratoriais: Cr 1,4 mg/dL, ureia 75 mg/dL, K sérico 5,3 mg/dL, Na 133 mg/dL, Hemograma Hb 11,2 mg/dL, LG 18000, segmentados 80 %, com desvio a esquerda. Plaquetas 140000. Em relação ao caso hipotético, assinale a afirmativa correta.
Provas
Homem, 52 anos, tabagista ativo, 35 anos-maço, hipertenso, refere dor torácica retroesternal de início súbito há, aproximadamente, 30 minutos, de forte intensidade e com irradiação para as costas. Ao exame apresenta-se pálido, com sudorese intensa, pressão arterial em membro superior direito 140 x 90 mmHg e em membro superior esquerdo 110 x 80 mmHg. FC 120 bpm, saturação arterial 92% em ar ambiente. A ausculta cardíaca apresenta bulhas hipofonéticas. Presença de turgência jugular e pulsos assimétricos. Diante do quadro exposto, assinale a afirmativa correta.
Provas
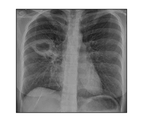
Homem, 40 anos, 60 kg, agente penitenciário, refere que há cerca de dois meses vem apresentando tosse seca, com episódios de febre ao fim do dia. Refere,também, emagrecimento não intencional e que tem se sentido cansado. Procurou atendimento médico diversas vezes, sendo prescrito antibióticos e “bombinha para asma”; porém, sem melhora. Nega tabagismo ou doenças. Atualmente, não está em uso de nenhuma medicação. Pesquisa de BAAR no escarro positiva. Realizada radiografia de tórax com o resultado a seguir:

Diante do quadro exposto, o tratamento adequado para este paciente é o esquema RHZE (150 + 75 + 400 + 275 mg) comprimidos/dia durante meses seguido por RH (300 + 150 mg) comprimidos/dia durante meses. Assinale a alternativa que completa correta e sequencialmente a afirmativa anterior.
Provas
Homem, 72 anos, com histórico de hipertensão arterial, diabetes, obesidade e insuficiência cardíaca, é trazido ao pronto-socorro pelo SAMU, pois apresenta quadro de dispneia, que vem em piora há 72 horas. Refere intensa falta de ar para dormir e piora do edema em membros inferiores, afirmando que “hoje está muito difícil para respirar”. Ao exame paciente apresenta-se vigil, PA 180 x 110 mmHg, FC 100 bpm, FR 30 irpm, saturação de oxigênio 88% em ar ambiente, ausculta pulmonar: presença de crepitação bilateralmente até terço médio, ausculta cardíaca com ritmo regular e bulhar hipofonética. Presença de refluxo hepatojugular, edema 3+/4 em membros inferiores. Tempo de enchimento capilar:três segundos. Realizados exames laboratoriais com os seguintes resultados: Cr 1,8 mg/dl, ureia 60 mg/dL, K 5,2 mg/dL, Na 132 mg/dL, hemograma Hb 13 mg/dl, Ht 32 %, LG 6500 Plaquetas 180000. Em relação ao caso hipotético, assinale a afirmativa mais adequada para o manejo do paciente.
Provas
Homem, 40 anos, etilista crônico e com histórico de fibrilação atrial, em uso de varfarina 2,5 mg/dia, é trazido ao pronto-socorro devido à crise epiléptica há meia hora. Familiares referem que o paciente está há um dia sem ingerir bebida alcoólica e que nunca apresentou episódios semelhantes. O paciente, enquanto assistia televisão, teve perda súbita da consciência, associada a abalos em todos os membros, liberação esfincteriana. O quadro teve duração de, aproximadamente, 1 minuto, com o paciente mostrando-se confuso e sonolento após a crise. Sobre o quadro do paciente, assinale a afirmativa correta.
Provas
Mulher, 24 anos, queixa-se de cefaleia holocraniana, de moderada a forte intensidade, associada a náuseas, fonofobia e fotofobia. Piora ao exercício físico e durante os períodos menstruais. As crises duram, aproximadamente, 12 horas e com a frequência de 3 episódios por semana. Relata redução em sua produtividade no trabalho e está deixando de realizar atividade de lazer devido aos episódios. Apresenta esse quadro desde os 20 anos. Nega mudança no padrão da dor. Faz uso de analgésicos simples; porém, nota que vem perdendo efeito com o tempo. A respeito do caso clínico exposto, assinale a afirmativa correta.
Provas
Mulher, 50 anos, vem apresentando perda de peso associada à polidipsia e poliúria. Seu médico suspeitando de possível quadro de diabetes solicitou a coleta de uma glicemia capilar, não estando a paciente em jejum no momento da coleta. O resultado foi de 225 mg/dL. A partir disso, pode-se afirmar que:
Provas
Mulher, 50 anos, eutrófica, hipertensa há 10 anos, faz acompanhamento em unidade básica de saúde. Relata fazer atividade física regularmente, cerca de 50 minutos, 5 vezes por semana. Atualmente, está em uso de Losartana 100 mg/dia, anlodipino 10 mg/dia, hidroclorotiazida 25 mg/dia. Exames laboratoriais realizados há uma semana. Creatinina 0,8 mg/dL, Ureia 20 mg/dL, Na sérico 140 mg/dL, K sérico 4,8 mg/dL. Traz também resultado de MAPA solicitado por seu médico assistente – Média Vigília: 140 x 90 mmHg, Média Sono 136 x 86 mmHg. Ao exame: ausculta cardíaca: ritmo regular em dois tempos, bulhas normofonéticas, sem sopros. Ausculta pulmonar murmúrio vesicular presente, sem sibilos. Membros inferiores sem edemas. Pressão arterial: 138 x 88 mmHg, FC 90 bpm. Considerando a situação hipotética, a conduta mais adequada é:
Provas
Homem, 65 anos, obeso, no 4º dia de pós-operatório de artroplastia do quadril, evolui com dispneia, de início agudo, associada à tosse seca, referindo dor quando inspira profundamente. Sinais Vitais: PA 110 x 70 mmHg, FC 125 bpm, FR 26 irpm, saturação de oxigênio 92%, tempo de enchimento capilar três segundos. Ausculta pulmonar com murmúrios vesiculares reduzidos em pulmão esquerdo. Sem edemas em membros inferiores. De acordo com o caso clínico, analise as afirmativas a seguir.
I. Deve ser coletado o D-Dímero do paciente inicialmente, pois há relação prognóstica com níveis muito elevados.
II. Neste caso deve-se proceder com a realização de uma angiotomografia de tórax do paciente; na sequência, não se deve atrasar a realização da trombólise.
III. O paciente apresenta alta probabilidade pré-teste, não sendo necessária a coleta do D-dímero para a indicação de realização de exame de imagem.
IV. A tríade clássica do quadro com dispneia, dor pleurítica e hemoptise acontece na minoria dos pacientes.
Está correto o que se afirma apenas em
Provas
Mulher, 20 anos, 60 kg, com histórico de Diabetes mellitus tipo I, apresenta quadro de dor abdominal, associado a vômitos com início há 24 horas. Refere quadro de tosse produtiva e febre há 7 dias. Ao exame apresenta-se vigil, desidratada, ausculta pulmonar reduzida em base direita. PA 110 x 70 mmHg, FC 110 bpm, FR 34 irpm. Realizada a coleta de exames laboratoriais: Glicemia capilar 490 mg/dL, Cr 1,1 mg/dL, Ureia 40 mg/dL, Na 145 mg/dL, K 3,2 mg/dL, gasometria arterial: Ph 7,1, BIC 10, PCO2 23. Hemograma Hb 12,0 mg/dL, Ht 40 %, LG 20000, segmentados 75%, bastões 3%, plaquetas 156000, Proteína C Reativa 25 (VR < 5); Urina: presença de corpos cetônicos. Radiografia de tórax com opacidade em lobo inferior direito. Teste rápido SARS-COV2 negativo. A respeito do caso clinico, analise as afirmativas a seguir.
I. Deve ser realizada a hidratação preferencialmente com solução coloide 10 ml/Kg na primeira hora.
II. Antes de ser iniciada a terapia insulínica deve ser realizada a reposição de potássio.
III. Deve ser feita a reposição de bicarbonato, incialmente 1 mEq/Kg e, posteriormente, coletada nova gasometria.
IV. Em virtude da suspeita de infecção pulmonar como precipitante do quadro de cetoacidose, deve ser iniciado tratamento com antibiótico.
Está correto o que se afirma apenas em
Provas
Caderno Container