Magna Concursos

Foram encontradas 40 questões.

4028959 Ano: 2026
Disciplina: Medicina
Banca: VUNESP
Orgão: Pref. São José Rio Preto-SP
Provas:
Em relação ao transtorno do espectro autista (TEA), é correto afirmar que
 

Provas

Questão presente nas seguintes provas
4028958 Ano: 2026
Disciplina: Saúde Pública
Banca: VUNESP
Orgão: Pref. São José Rio Preto-SP
Provas:
A primeira linha de tratamento medicamentoso no transtorno de déficit de atenção e hiperatividade (TDAH) é
 

Provas

Questão presente nas seguintes provas
4028957 Ano: 2026
Disciplina: Medicina
Banca: VUNESP
Orgão: Pref. São José Rio Preto-SP
Provas:
Adolescente de 13 anos apresenta história de dificuldade escolar progressiva, ataxia, distonia e alteração na movimentação ocular caracterizada por incapacidade de realizar sacadas verticais (paralisia supranuclear do olhar vertical). A família relata episódios de cataplexia desencadeada por riso e piora gradual do equilíbrio. O exame físico mostra esplenomegalia.

Com base nesse quadro clínico, o diagnóstico provável é
 

Provas

Questão presente nas seguintes provas
4028956 Ano: 2026
Disciplina: Medicina
Banca: VUNESP
Orgão: Pref. São José Rio Preto-SP
Provas:
Sobre a doença associada ao anticorpo contra a glicoproteína da mielina de oligodendrócitos (MOGAD), é correto afirmar:
 

Provas

Questão presente nas seguintes provas
4028955 Ano: 2026
Disciplina: Medicina
Banca: VUNESP
Orgão: Pref. São José Rio Preto-SP
Provas:
Em relação aos distúrbios do sono na infância, é correto afirmar que
 

Provas

Questão presente nas seguintes provas
4028954 Ano: 2026
Disciplina: Medicina
Banca: VUNESP
Orgão: Pref. São José Rio Preto-SP
Provas:
Em relação à síndrome do X-frágil, é correto afirmar que
 

Provas

Questão presente nas seguintes provas
4028953 Ano: 2026
Disciplina: Medicina
Banca: VUNESP
Orgão: Pref. São José Rio Preto-SP
Provas:
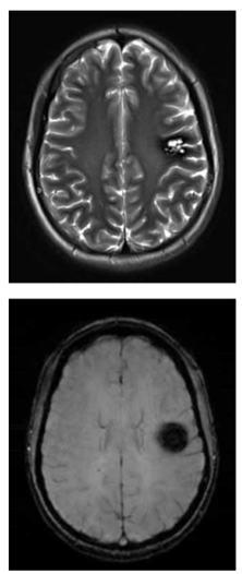
Adolescente de 16 anos realiza exame de imagem por ressonância magnética do crânio para investigação de epilepsia focal. O exame demonstra a alteração a seguir (imagem ponderada em T2 e imagem ponderada em suscetibilidade magnética (SWI), respectivamente):

Enunciado 4443569-1
(Arquivo pessoal; imagens usadas com autorização)

Considerando o exposto, é correto afirmar que o achado das imagens é compatível com
 

Provas

Questão presente nas seguintes provas
4028952 Ano: 2026
Disciplina: Medicina
Banca: VUNESP
Orgão: Pref. São José Rio Preto-SP
Provas:
Criança de 6 anos apresenta torcicolo, há 3 semanas, associado a episódios de vômitos matinais e marcha instável. Nas últimas 48 horas, os pais notaram piora da coordenação motora e sonolência progressiva. Ao exame, observa-se nistagmo, ataxia de marcha e rigidez cervical. O fundo de olho revela papiledema.

Diante desse quadro clínico, a conduta adequada é
 

Provas

Questão presente nas seguintes provas
4028951 Ano: 2026
Disciplina: Medicina
Banca: VUNESP
Orgão: Pref. São José Rio Preto-SP
Provas:
Em relação ao complexo da esclerose tuberosa, é correto afirmar que
 

Provas

Questão presente nas seguintes provas
4028950 Ano: 2026
Disciplina: Medicina
Banca: VUNESP
Orgão: Pref. São José Rio Preto-SP
Provas:
Lactente de 3 dias, previamente saudável, começa a apresentar irritabilidade, vômitos e letargia progressiva. Evolui rapidamente com rebaixamento do nível de consciência e episódios de respiração irregular. Não há febre. Os exames laboratoriais mostram amônia plasmática de 400 µmol/L (VR < 80), glicemia normal, ausência de acidose metabólica e corpos cetônicos negativos. A análise de aminoácidos plasmáticos revela aumento de glutamina e redução de citrulina. O exame de urina mostra presença de ácido orótico aumentado.

Com base nesses achados, o diagnóstico provável é
 

Provas

Questão presente nas seguintes provas