Foram encontradas 465 questões.
Para responder à questão, considere o caso clínico exposto a seguir:
J.T.L., 81 anos, masculino, é trazido ao ambulatório para uma consulta de rotina. É portador de doença de Alzheimer, hipertensão arterial e diabetes mellitus. Está em uso de donepezila 10 mg/d, quetiapina 50 mg cedo e 100 mg à noite, losartana 50 mg pela manhã e insulina humana N 10 U à noite e pela manhã. Sua avaliação funcional demonstrou que para as atividades básicas de Katz, ele pontua 2, porque mantém a continência e a transferência, entretanto, para as atividades instrumentais, analisada pela escala de Pfeffer, ele é totalmente dependente (30/30).
Durante o exame físico, foi observado que o ritmo cardíaco encontrava-se irregular. Foi realizado um eletrocardiograma, mostrado a seguir:

Assinale a alternativa correta quanto ao benefício da prescrição de baixas dosagens de ácido acetilsalicílico para prevenção primária de doença cardiovascular.
Provas
Para responder à questão, considere o caso clínico exposto a seguir:
J.T.L., 81 anos, masculino, é trazido ao ambulatório para uma consulta de rotina. É portador de doença de Alzheimer, hipertensão arterial e diabetes mellitus. Está em uso de donepezila 10 mg/d, quetiapina 50 mg cedo e 100 mg à noite, losartana 50 mg pela manhã e insulina humana N 10 U à noite e pela manhã. Sua avaliação funcional demonstrou que para as atividades básicas de Katz, ele pontua 2, porque mantém a continência e a transferência, entretanto, para as atividades instrumentais, analisada pela escala de Pfeffer, ele é totalmente dependente (30/30).
Durante o exame físico, foi observado que o ritmo cardíaco encontrava-se irregular. Foi realizado um eletrocardiograma, mostrado a seguir:

Assinale a alternativa correta quanto à indicação de prescrição de estatina a esse paciente.
Provas
Para responder à questão, considere o caso clínico exposto a seguir:
J.T.L., 81 anos, masculino, é trazido ao ambulatório para uma consulta de rotina. É portador de doença de Alzheimer, hipertensão arterial e diabetes mellitus. Está em uso de donepezila 10 mg/d, quetiapina 50 mg cedo e 100 mg à noite, losartana 50 mg pela manhã e insulina humana N 10 U à noite e pela manhã. Sua avaliação funcional demonstrou que para as atividades básicas de Katz, ele pontua 2, porque mantém a continência e a transferência, entretanto, para as atividades instrumentais, analisada pela escala de Pfeffer, ele é totalmente dependente (30/30).
Durante o exame físico, foi observado que o ritmo cardíaco encontrava-se irregular. Foi realizado um eletrocardiograma, mostrado a seguir:

Foi feito o cálculo do intervalo QT corrigido pela fórmula de Bazett, 405 milissegundos. Assinale a alternativa correta a respeito do uso dos medicamentos que o paciente faz uso.
Provas
Assinale a alternativa em que constam os fatores associados à desidratação no idoso.
Provas
MANA, 85 anos, procura auxílio médico com história de sentir-se desanimada com fraqueza de membros inferiores. Vinha em uso de levotiroxina 50 mcg em jejum, omeprazol 20 mg em jejum, metoprolol 25 mg pela manhã, donepezila 5 mg/d, venlafaxina 150 mg/d e atorvastatina 20 mg/d. Durante exame físico, foi observada bradicardia, FC: 35 bpm. Foi realizado um eletrocardiograma, mostrado a seguir.

Assinale a alternativa que mostra qual associação medicamentoso pode justificar as alterações encontradas.
Provas
Assinale a alternativa que define corretamente Delirium.
Provas
M.W.C., feminino, 87 anos. Após queda da própria altura, passou a apresentar dor e impossibilidade para caminhar. A radiografia do membro inferior direito é mostrada a seguir.

Assinale a alternativa correta.
Provas
Em relação às fraturas de fêmur proximal, assinale a alternativa correta.
Provas
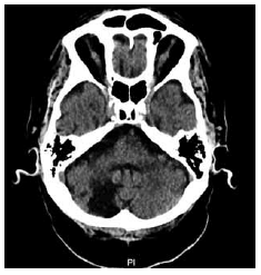
S.R.A., masculino, 84 anos, procura o ambulatório com queixas de tonturas que se iniciaram de forma súbita. As tonturas caracterizam-se por serem do tipo rotatórias associadas à turvação visual. Não há queixas de náuseas e vômitos, zumbidos nos ouvidos, escurecimento da vista, perda da consciência, convulsões e liberação esfincteriana. Entretanto, havia quedas frequentes conforme caminhava. Ao exame físico, nenhuma alteração foi observada exceto um nistagmo horizontal que se acentuava ao olhar para a direita. O paciente realizou uma tomografia computadorizada de crânio, mostrada a seguir:

Assinale a alternativa contendo o diagnóstico correto.
Provas
Assinale a alternativa que define de forma correta o teste de desempenho físico.
Provas
Caderno Container