Foram encontradas 480 questões.
Homem de 22 anos procurou a emergência preocupado com gengivorragia e epistaxe de repetição. Refere que sempre teve isso, mas agora tem se tornado mais frequente. Ao exame físico: hematomas e petéquias. Exames laboratoriais: hemoglobina: 7,2 g/dL, leucócitos: 1 780/mm3 e plaquetas: 23 000/mm3. Nesse momento, a conduta correta é
Provas
O texto a seguir refere-se à questão.
Homem, 21 anos de idade, procurou o pronto-socorro devido ao início de palpitações há 12 horas. Nega uso de quaisquer medicamentos ou drogas. Exame físico: orientado e cooperativo; PA: 110 x 70 mmHg e saturação de O2: 96%; ausculta pulmonar: normal. ECG (D2 longo) mostrado a seguir.

O manejo inicial correto inclui a
Provas
Com relação ao papel da radiografia de tórax (Rx) no manejo correto da crise aguda de asma na emergência, é correto afirmar que ela
Provas
Dos achados a seguir, àqueles que mais provavelmente podem indicar etiologia hemorrágica no acidente vascular cerebral são:
Provas
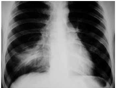
O texto a seguir refere-se à questão.
Mulher de 46 anos de idade, previamente hígida, há 3 dias queixava-se de tosse, febre, dispnéia e expectoração amarelada, resolvendo procurar o pronto-socorro. Ela negou etilismo ou tabagismo. Ao exame físico: corada, hidratada e febril (38,1 ºC); PA: 110 x 70 mmHg, FC: 96 bpm, saturação de oxigênio: 94% e frequência respiratória: 20 ipm; ausculta pulmonar: crepitações no terço médio de hemitórax direito. Cardíaco e abdome: normais. Radiografia de tórax: mostrada a seguir.

Em relação à conduta inicial, assinale a alternativa correta.
Provas
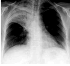
O caso clínico a seguir refere-se à questão.
Homem, 37 anos de idade, etilista há 15 anos (2 litros de cerveja, 4 vezes por semana), foi levado ao pronto-socorro devido a febre, náusea, vômitos e desconforto respiratório há um dia. Exame físico: confuso, agitado e agressivo; PA: 160 x 105 mmHg, FC: 115 bpm, FR: 24 ipm, temperatura: 38,1 ºC e saturação de O2: 89%; abdome: fígado palpável a 6 cm do RCD. Radiografia de tórax mostrada a seguir.

Admitindo-se que a glicemia capilar (dextro) foi de 35 mg/dL, é correto prescrever
Provas

Provas
No adulto, a dermatite eczematosa atópica acomete, mais frequentemente,
Provas
O reservatório habitual da febre amarela urbana é
Provas
O texto a seguir refere-se à questão.
Mulher de 73 anos, previamente hígida, procurou a emergência devido à dispnéia súbita e dor torácica em hemitórax direito. Exame físico: ansiosa, consciente e afebril; PA: 110 x 60 mmHg, FC: 112 bpm, FR: 32 ipm e saturação de O2: 88%; ausculta cardíaca e pulmonar: normais; extremidades: ausência de edema. ECG mostrado a seguir.

Os achados eletrocardiográficos que se correlacionam com o diagnóstico correto do quadro clínico são:
Provas
Caderno Container