Foram encontradas 460 questões.
O suporte nutricional orientado por objetivos é essencial para melhorar os resultados finais após trauma e cirurgia e deve se basear na avaliação repetida da resposta à alimentação. Uma avaliação nutricional contínua é o ponto de partida para qualquer terapia nutricional. Assim, deve-se considerar que
Provas
O paradigma SIRS (Síndrome da Resposta Inflamatória Sistêmica)/CARS (Síndrome da Resposta Compensatória Sistêmica) mudou nos últimos quinze anos e agora é entendido que ambos são desencadeados simultaneamente diante de um insulto sistêmico.
Com relação a esse importante tema, relacionado à resposta metabólica ao trauma cirúrgico, é correto afirmar:
Provas
Com relação à abordagem atual nas vítimas de queimaduras extensas, assinale a alternativa correta.
Provas
Na complexa série de eventos inter-relacionados durante a cicatrização de feridas, múltiplos fatores podem prejudicar o resultado, ocasionado diferentes tipos de cicatrizes. Com relação a esse tema, assinale a alternativa correta.
Provas
Homem de 20 anos deu entrada no Pronto-Socorro apresentando, há 4 dias, febre alta, diarreia, distensão e dor abdominal difusa de forte intensidade, com vários episódios de vômitos. Nega cirurgias prévias. Realizada tomografia abdominal de abdome demonstrada a seguir.

O diagnóstico do paciente é:
Provas
Homem de 30 anos, condutor de veículo, sofreu colisão auto x poste e deu entrada na emergência apresentando trauma torácico com fratura de arco costal direito e pneumotórax, sendo submetido à drenagem torácica fechada do hemitórax direito em selo d’água. Apresentou boa expansibilidade pulmonar, com remoção do dreno torácico após 48 horas, recebendo alta hospitalar. Após 5 dias, o paciente retorna ao hospital apresentando dor pleurítica à direita e febre (37,9 ºC). O RX simples e a tomografia de tórax demonstraram hemotórax coagulado à direita.
Qual a conduta mais adequada para essa situação?
Provas
Com relação às neoplasias das glândulas salivares, assinale a alternativa correta.
Provas
Com relação ao traumatismo de extremidades, assinale a alternativa correta.
Provas
Com relação às veias perfurantes incompetentes (VPIs) e seu papel na Doença Venosa Crônica (DVC) de membros inferiores, assinale a alternativa correta.
Provas
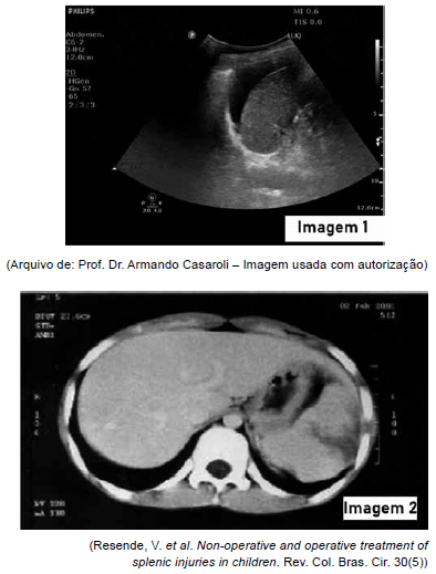
Homem de 25 anos sofre agressões no abdome e dá entrada na emergência consciente, referindo dor abdominal. Realizada avaliação e atendimento iniciais a contento, apresentando estabilização hemodinâmica. Com relação ao achado do e-FAST, demonstrado na imagem 1 (demais focos sem alterações), e a tomografia computadorizada de abdome (imagem 2), pode-se concluir, corretamente, que o paciente apresenta:

Provas
Caderno Container