Foram encontradas 800 questões.
L.P., 26 anos, chega à emergência com sudorese, hipertermia, nistagmo, hipertensão (PAM 123 mmHg), arritmia. Durante o atendimento, foi encontrado um frasco com pó branco e restos dessa substância em suas narinas. Para correção da taquiarritmia (Torsades de Pointes) ocasionada pela intoxicação por cocaína, a conduta indicada é administrar:
Provas
A fibrilação atrial é a arritmia mais comum na emergência. É comumente é assintomática, mas pode precipitar quadro de instabilidade hemodinâmica. O ECG esperado nessa arritmia e a terapêutica adequada em caso de instabilidade hemodinâmica, são, respectivamente:
Provas
T.N.S., 77 anos, portador de insuficiência cardíaca por IAM, chega à emergência com dor torácica e dispneia. PA: 100x70 mmHg, FC: 48 bpm, tempo de enchimento capilar: 4 segundos. O ECG demonstra bloqueio atrioventricular de segundo grau (Morbitz II). Como médico assistente, sua conduta é:
Provas
Um paciente portador de linfoma, última quimioterapia há 13 dias, chega à unidade com queixa de calafrios e febre não aferida. Ao exame: paciente em regular estado geral, desidratado, hipocorado, taquicárdico (115 bpm), eupneico em ar ambiente, normotenso (110x70 mmHg), temperatura de 38,2°. Na admissão, foram solicitados exames laboratoriais. Sendo a principal hipótese diagnóstica neutropenia febril, os resultados que confirmariam seu diagnóstico são:
Provas
A pancreatite aguda é uma condição que exige um manejo adequado e, já na admissão hospitalar, há necessidade de análise da gravidade do paciente. Uma forma simples de avaliação é pelo escore de Ranson, que tem como parâmetros iniciais: a idade e os valores de leucócitos, LDH, glicose e TGO. Pontuaria nesse critério:
Provas
C. V. R., 83 anos, está em internação hospitalar há 17 dias por sepse urinária, a qual necessitou de diversos escalonamentos da antibioticoterapia. Acompanhante refere que ontem, a partir da tarde, paciente apresentou diversos episódios de diarreia aquosa com odor forte. Diante do quadro acima, as principais hipóteses – diagnóstica e terapêutica – adequadas são, respectivamente:
Provas
O coma é a ausência completa de despertar e de conteúdo da consciência. Para ser diferenciado dos quadros de síncope ou concussão, o quadro de coma deve persistir por mais de:
Provas
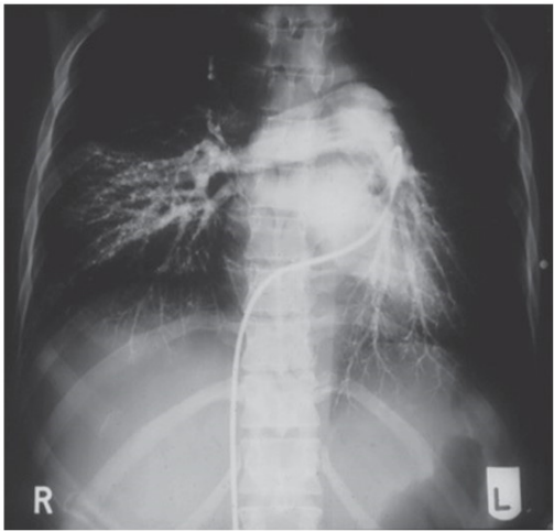
Uma mulher, 32 anos, foi internada devido a uma dispneia intensa e vertigem ao esforço. Durante a anamnese, ela relata parto vaginal cerca de 3 meses antes de buscar o pronto-socorro e retorno recente do uso de anticoncepcionais orais combinados. Apresenta dor torácica bilateral, sugestiva de caráter pleurítico. Foi solicitada uma angiotomografia com o resultado a seguir:

Com isso, o diagnóstico mais provável é:
Provas
Um jovem, 27 anos, 65kg, deu entrada na emergência, com queimaduras de 2º e 3º graus em tronco anterior e membro inferior esquerdo, por combustão de álcool ao acender churrasqueira. Mostra-se lúcido, orientado em tempo e espaço, sem apresentar tosse. No caminho, foram administrados 1.000mL de Ringer Lactato no SAMU. De acordo com a 10ª edição do ATLS, a sequência de reposição volêmica desse paciente nas próximas horas será:
Provas
Um paciente, vítima de politrauma, na avaliação neurológica, apresentou abertura ocular ausente, sons incompreensíveis, flexão normal. A pontuação na escala de coma de Glasgow é igual a:
Provas
Caderno Container