Foram encontradas 3.053 questões.
Atenção! O caso clínico a seguir refere-se à próxima questão.
Paciente de 19 anos, do sexo masculino, com relato de colisão
bicicleta x ônibus, com traumatismo cranioencefálico exclusivo,
com Glasgow 3 na cena e necessidade de intubação orotraqueal.
Deu entrada na sala de trauma, onde foi estabilizado e então
submetido a tomografia de corpo inteiro. Houve diversas
alterações apenas na tomografia de crânio – restante do exame de
imagem normal. Em seguida, levado ao centro cirúrgico, onde foi
submetido a passagem de dispositivo de monitorização de pressão
intracraniana (PIC) intraventricular. Após tal procedimento, foi
transferido à UTI. Dá entrada em mau estado geral, Glasgow 3T,
RASS -5 e com pupilas isomióticas, em uso de propofol 250mg/h,
fentanil 25mcg/h, intubado sob ventilação mecânica em
parâmetros baixos e sem drogas vasoativas.
Assinale a alternativa que indica o exame complementar que foi realizado e que confirmou o diagnóstico de ME.
Provas
Questão presente nas seguintes provas
Atenção! O caso clínico a seguir refere-se à próxima questão.
Paciente de 19 anos, do sexo masculino, com relato de colisão
bicicleta x ônibus, com traumatismo cranioencefálico exclusivo,
com Glasgow 3 na cena e necessidade de intubação orotraqueal.
Deu entrada na sala de trauma, onde foi estabilizado e então
submetido a tomografia de corpo inteiro. Houve diversas
alterações apenas na tomografia de crânio – restante do exame de
imagem normal. Em seguida, levado ao centro cirúrgico, onde foi
submetido a passagem de dispositivo de monitorização de pressão
intracraniana (PIC) intraventricular. Após tal procedimento, foi
transferido à UTI. Dá entrada em mau estado geral, Glasgow 3T,
RASS -5 e com pupilas isomióticas, em uso de propofol 250mg/h,
fentanil 25mcg/h, intubado sob ventilação mecânica em
parâmetros baixos e sem drogas vasoativas.
As opções a seguir apresentam medidas plausíveis para o controle da pressão intracraniana desse paciente, à exceção de uma. Assinale-a.
Provas
Questão presente nas seguintes provas
Atenção! O caso clínico a seguir refere-se à próxima questão.
Paciente de 19 anos, do sexo masculino, com relato de colisão
bicicleta x ônibus, com traumatismo cranioencefálico exclusivo,
com Glasgow 3 na cena e necessidade de intubação orotraqueal.
Deu entrada na sala de trauma, onde foi estabilizado e então
submetido a tomografia de corpo inteiro. Houve diversas
alterações apenas na tomografia de crânio – restante do exame de
imagem normal. Em seguida, levado ao centro cirúrgico, onde foi
submetido a passagem de dispositivo de monitorização de pressão
intracraniana (PIC) intraventricular. Após tal procedimento, foi
transferido à UTI. Dá entrada em mau estado geral, Glasgow 3T,
RASS -5 e com pupilas isomióticas, em uso de propofol 250mg/h,
fentanil 25mcg/h, intubado sob ventilação mecânica em
parâmetros baixos e sem drogas vasoativas.

Sobre o caso, assinale a afirmativa correta.
Provas
Questão presente nas seguintes provas
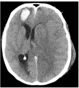
Atenção! O caso clínico a seguir refere-se à próxima questão.
Paciente de 19 anos, do sexo masculino, com relato de colisão
bicicleta x ônibus, com traumatismo cranioencefálico exclusivo,
com Glasgow 3 na cena e necessidade de intubação orotraqueal.
Deu entrada na sala de trauma, onde foi estabilizado e então
submetido a tomografia de corpo inteiro. Houve diversas
alterações apenas na tomografia de crânio – restante do exame de
imagem normal. Em seguida, levado ao centro cirúrgico, onde foi
submetido a passagem de dispositivo de monitorização de pressão
intracraniana (PIC) intraventricular. Após tal procedimento, foi
transferido à UTI. Dá entrada em mau estado geral, Glasgow 3T,
RASS -5 e com pupilas isomióticas, em uso de propofol 250mg/h,
fentanil 25mcg/h, intubado sob ventilação mecânica em
parâmetros baixos e sem drogas vasoativas.
Analise a tomografia de crânio a seguir.

A partir da análise da imagem acima, é correto afirmar que o escore de Marshall vale:
Provas
Questão presente nas seguintes provas
A ceftazidima-avibactam é um antibiótico de lançamento recente,
e que tem sido utilizado para o tratamento de algumas infecções
nosocomiais em UTI, causadas por germes multirresistentes.
Assinale a alternativa que indica a bactéria com seu respectivo mecanismo de resistência para a qual a prescrição desse antimicrobiano seria inefetiva.
Assinale a alternativa que indica a bactéria com seu respectivo mecanismo de resistência para a qual a prescrição desse antimicrobiano seria inefetiva.
Provas
Questão presente nas seguintes provas
Pacientes com neutropenia febril de alto risco devem ser
internados com prescrição de antibiótico de largo espectro.
Assinale a opção que indica o antimicrobiano cuja prescrição, em
monoterapia, é inadequada.
Provas
Questão presente nas seguintes provas
Sobre a colite pseudomembranosa, analise as afirmativas a seguir.
I. O agente etiológico é o C. difficile – caso haja sua identificação, o paciente deve ser transferido para leito com isolamento para contato e os funcionários da UTI devem ser orientados a higienizar suas mãos com álcool gel antes e após qualquer contato com o paciente ou com suas vizinhanças.
II. Nos quadros graves, em que o paciente não pode ingerir medicações por via oral, devido ao aumento da resistência ao metronidazol, o tratamento com vancomicina por via intravenosa deve ser imediatamente instituído.
III. As toxinas A e B dessas bactérias podem ser pesquisadas, porém tal exame exibe baixa sensibilidade e, caso haja alta probabilidade pré-teste dessa infecção, o tratamento deve ser iniciado, mesmo que a primeira amostra tenha resultado negativo
Está correto o que se afirma em
I. O agente etiológico é o C. difficile – caso haja sua identificação, o paciente deve ser transferido para leito com isolamento para contato e os funcionários da UTI devem ser orientados a higienizar suas mãos com álcool gel antes e após qualquer contato com o paciente ou com suas vizinhanças.
II. Nos quadros graves, em que o paciente não pode ingerir medicações por via oral, devido ao aumento da resistência ao metronidazol, o tratamento com vancomicina por via intravenosa deve ser imediatamente instituído.
III. As toxinas A e B dessas bactérias podem ser pesquisadas, porém tal exame exibe baixa sensibilidade e, caso haja alta probabilidade pré-teste dessa infecção, o tratamento deve ser iniciado, mesmo que a primeira amostra tenha resultado negativo
Está correto o que se afirma em
Provas
Questão presente nas seguintes provas
Recentemente, as infecções de corrente sanguínea pelo gênero
Candida têm aumentado, gerando grande morbimortalidade nas
UTIs brasileiras.
Sobre as infecções de corrente sanguínea relacionadas a cateter
de curta permanência por esse fungo, assinale a afirmativa
incorreta.
Provas
Questão presente nas seguintes provas
Atenção! O texto a seguir refere-se à próxima questão.
A meningite bacteriana é uma infecção potencialmente letal e que geralmente demanda internação em UTI. Na década de 2000, estudo publicado no NEJM mostrou os benefícios da dexametasona em altas doses para o tratamento dessa doença, quando causada por certas bactérias. Mais recentemente, certos agentes etiológicos dessa condição vêm cursando com aumento de resistência à ceftriaxona, justificando o acréscimo de vancomicina ao esquema antimicrobiano empírico para essa doença.
Para esse paciente, deve-se estabelecer leito com
A meningite bacteriana é uma infecção potencialmente letal e que geralmente demanda internação em UTI. Na década de 2000, estudo publicado no NEJM mostrou os benefícios da dexametasona em altas doses para o tratamento dessa doença, quando causada por certas bactérias. Mais recentemente, certos agentes etiológicos dessa condição vêm cursando com aumento de resistência à ceftriaxona, justificando o acréscimo de vancomicina ao esquema antimicrobiano empírico para essa doença.
Para esse paciente, deve-se estabelecer leito com
Provas
Questão presente nas seguintes provas
Atenção! O texto a seguir refere-se à próxima questão.
A meningite bacteriana é uma infecção potencialmente letal e que geralmente demanda internação em UTI. Na década de 2000, estudo publicado no NEJM mostrou os benefícios da dexametasona em altas doses para o tratamento dessa doença, quando causada por certas bactérias. Mais recentemente, certos agentes etiológicos dessa condição vêm cursando com aumento de resistência à ceftriaxona, justificando o acréscimo de vancomicina ao esquema antimicrobiano empírico para essa doença.
Considere um paciente com suspeita de meningite bacteriana cujo líquor coletado exibe, em seu exame bacterioscópico, a presença de diplococos gram-negativos.
Caso, anteriormente à coleta do exame, tenham sido prescritas empiricamente dexametasona, ceftriaxona e vancomicina, após tal informação, deve-se
A meningite bacteriana é uma infecção potencialmente letal e que geralmente demanda internação em UTI. Na década de 2000, estudo publicado no NEJM mostrou os benefícios da dexametasona em altas doses para o tratamento dessa doença, quando causada por certas bactérias. Mais recentemente, certos agentes etiológicos dessa condição vêm cursando com aumento de resistência à ceftriaxona, justificando o acréscimo de vancomicina ao esquema antimicrobiano empírico para essa doença.
Considere um paciente com suspeita de meningite bacteriana cujo líquor coletado exibe, em seu exame bacterioscópico, a presença de diplococos gram-negativos.
Caso, anteriormente à coleta do exame, tenham sido prescritas empiricamente dexametasona, ceftriaxona e vancomicina, após tal informação, deve-se
Provas
Questão presente nas seguintes provas
Cadernos
Caderno Container