Foram encontradas 50 questões.
Paciente de 30 anos, G0P0, procura ambulatório de ginecologia por apresentar irregularidade menstrual com períodos de atraso na menstruação por três meses. O quadro iniciou há oito meses. Durante o exame físico, foi percebido galactorreia à expressão papilar bilateral. O beta HCG foi negativo. Ultrassonografia endovaginal normal.
De acordo com o quadro acima, assinale a alternativa que indica o mecanismo fisiopatológico mais adequado para as alterações menstruais desse distúrbio.
Provas
Paciente de 65 anos, G4P4, procura ambulatório de ginecologia com queixas de perda involuntária de urina. Nega demais queixas. O exame ginecológico demonstrou apenas perda de urina à manobra de Valsava. Traz consigo avaliação urodinâmica que revelou pressão de perdas aos esforços de 100 cmH2O.
De acordo com os dados acima descritos, qual o provável diagnóstico?
Provas
Paciente de 50 anos, G4P4, procura o ambulatório de ginecologia para realizar exame preventivo. Antecedentes pessoais: diabetes e hipertensão com medicações, ligadura tubária há 10 anos. Foi submetida à histerectomia há cinco anos por sangramento menstrual consequente à miomatose uterina em hospital terciário.
Considerando o cenário acima e, de acordo com a orientação para a realização do exame de Papanicolau, assinale a alternativa CORRETA.
Provas
Paciente de 35 anos, casada, G01 P01, procurou o ambulatório de planejamento familiar para decidir sobre métodos contraceptivos. Nega sintomas. Nos antecedentes, revela Diabetes mellitus Tipo II com o uso de antiglicemiante oral. Fumante (uma carteira por dia) e etilista social. Revela ter fluxo menstrual pouco aumentado, mas não a incomoda. Nega cólicas menstruais.
Qual método cujo cenário acima descrito representa uma contraindicação?
Provas
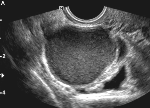
Paciente de 30 anos, G1P1 (C), veio ao consultório com queixas de cólicas de média intensidade no período catamenial há quatro anos, de caráter progressivo, associada à irregularidade menstrual. Sem métodos contraceptivos há dois anos. Traz consigo resultado de ultrassonografia que revela cisto em região ovariana, volumoso, uniloculado, com conteúdo tipo “vidro fosco” e ausência de vascularização ao Doppler.

Considerando o quadro acima, qual a melhor conduta?
Provas
Uma mulher de 35 anos, gestante no curso de 34 semanas, assintomática, veio ao ambulatório com o seguinte resultado de seu exame de Papanicolaou: “células escamosas atípicas de significado indeterminado, quando não se pode excluir lesão intraepitelial de alto grau (ASC-H)”. Entretanto, o exame ginecológico é aparentemente normal.
Considerando o cenário acima, assinale a alternativa que indica a melhor orientação.
Provas
Mulher de 28 anos procura o ginecologista com exame citológico demonstrando como resultado células glandulares atípicas de significado indeterminado (AIG), possivelmente não neoplásico.
De acordo com o cenário acima, assinale a alternativa que define o próximo passo na conduta.
Provas
Mulher de 55 anos, G3 P2 A1, chega ao ambulatório com quadro de irregularidade menstrual associada à percepção do encurtamento do ciclo menstrual há oito meses. Nega demais queixas, exame físico sem alterações. Exame ecográfico aparentemente sem alterações.
De acordo com o quadro acima, assinale a alternativa que melhor explica o mecanismo fisiopatológico dessa situação.
Provas
Assinale a alternativa que indica a causa mais frequente de pseudo-hermafroditismo feminino.
Provas
Casal procura ambulatório de infertilidade por tentar gestar há dois anos sem sucesso. O marido tem 30 anos, e a esposa, 28 anos (G1P0). Sem queixas no momento e sem dados relevantes no interrogatório sintomatológico. Chama a atenção, nos antecedentes pessoais da esposa, um tratamento por curetagem para aborto retido quando tinha 25 anos de idade e, desde então, o volume menstrual reduziu significativamente. Trazem consigo exames que mostravam função tireoidiana, glicemia e espermograma do marido normais. A avaliação ecográfica revelava ovulação no 15º dia do ciclo menstrual.
Levando em consideração o quadro acima, assinale a alternativa que contém a possibilidade diagnóstica mais provável.
Provas
Caderno Container