Foram encontradas 361 questões.
Gestante, primigesta, na 12ª semana de gravidez, vem trazendo laudo ultrassonográfico realizado na 6ª semana de
gravidez, concluindo como sendo uma gestação gemelar dicoriônica diamniótica.
Assinale a alternativa que melhor descreve o laudo ultrassonográfico que definiu essa corionicidade e amnionicidade.
Assinale a alternativa que melhor descreve o laudo ultrassonográfico que definiu essa corionicidade e amnionicidade.
Provas
Questão presente nas seguintes provas
Assinale a alternativa CORRETA que representa um critério diagnóstico da gastrosquise.
Provas
Questão presente nas seguintes provas
Estimar a perda sanguínea após o parto ajuda na classificação da gravidade da hemorragia pós-parto. A estimativa
visual dessa perda sanguínea é simples e rápida, porém subjetiva.
Assinale a alternativa que representa a estimativa aproximada de perda sanguínea visual quando aproximadamente 50% de uma compressa encontra-se ensopada de sangue.
Assinale a alternativa que representa a estimativa aproximada de perda sanguínea visual quando aproximadamente 50% de uma compressa encontra-se ensopada de sangue.
Provas
Questão presente nas seguintes provas
Paciente 18 anos, primigesta, veio para consulta ginecológica referindo atraso menstrual, náuseas e vômitos. Não
sabe se está grávida. Ao exame, observa-se aumento do volume mamário e auréolas secundárias. À palpação
abdominal, percebe-se útero acima da borda superior da sínfise púbica (a meio caminho entre a sínfise e o umbigo)
e batimentos cardiofetais de 156 bpm pelo sonarDoppler.
Assinale a alternativa CORRETA que sugere a idade gestacional provável, baseada no exame clínico.
Assinale a alternativa CORRETA que sugere a idade gestacional provável, baseada no exame clínico.
Provas
Questão presente nas seguintes provas
Gestante 20 anos, primigesta, veio para consulta pré-natal, no dia 16 de março de 2025, assintomática, porém deseja
saber a idade gestacional (IG) correta, pois, em cada consulta, um médico lhe informa uma idade gestacional
diferente. Refere ainda que tinha ciclos regulares e sabia o momento da sua ovulação em todos os meses. Abaixo
seguem os dados informados pela paciente e as ultrassonografias anteriores com suas idades gestacionais na época
do exame:
Primeiro dia da última menstruação: 04 de agosto de 2024
Último dia da última menstruação: 09 de agosto de 2024
Data da última ovulação: 18 de agosto de 2024
Data da 1ª ultrassonografia: 23 de agosto de 2024 (IG: 4 semanas)
Data da 2ª ultrassonografia: 10 de outubro de 2024 (IG: 11 semanas)
Diante desses dados, qual a idade gestacional de acompanhamento da gravidez mais adequada, no dia da consulta de pré-natal?
Primeiro dia da última menstruação: 04 de agosto de 2024
Último dia da última menstruação: 09 de agosto de 2024
Data da última ovulação: 18 de agosto de 2024
Data da 1ª ultrassonografia: 23 de agosto de 2024 (IG: 4 semanas)
Data da 2ª ultrassonografia: 10 de outubro de 2024 (IG: 11 semanas)
Diante desses dados, qual a idade gestacional de acompanhamento da gravidez mais adequada, no dia da consulta de pré-natal?
Provas
Questão presente nas seguintes provas
Qual das situações de trauma abaixo é diagnosticada com acurácia através do FAST?
Provas
Questão presente nas seguintes provas
Homem 23 anos. Vítima de espancamento. Admitido numa unidade básica com insuficiência respiratória por
fratura de mandíbula bilateral e hematoma. Médico do SPA realizou uma cricotiroidostomia por punção e
encaminhou ao centro de trauma mais próximo.
Segundo o ATLS, por quanto tempo podemos ventilar o paciente através desse método?
Segundo o ATLS, por quanto tempo podemos ventilar o paciente através desse método?
Provas
Questão presente nas seguintes provas
Mulher 70 anos. Admitida na emergência com quadro de obstrução intestinal. Após realizar uma TC de abdome
sem contraste, foi sugerido um diagnóstico de íleo biliar.
Qual dos achados tomográficos abaixo é compatível com essa situação cirúrgica?
Qual dos achados tomográficos abaixo é compatível com essa situação cirúrgica?
Provas
Questão presente nas seguintes provas
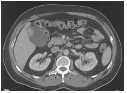
Mulher 57 anos. Assintomática do ponto digestivo. Realizou TC do abdome sem contraste para avaliação de cólica
nefrética e suspeita de ureterolitíiase.
Após avaliação da imagem abaixo, você indicaria qual procedimento cirúrgico?

Após avaliação da imagem abaixo, você indicaria qual procedimento cirúrgico?

Provas
Questão presente nas seguintes provas
Na visão laparoscópica da hernioplastia inguinal, qual triângulo está localizado entre o ducto deferente e os vasos
espermáticos?
Provas
Questão presente nas seguintes provas
Cadernos
Caderno Container