Foram encontradas 361 questões.
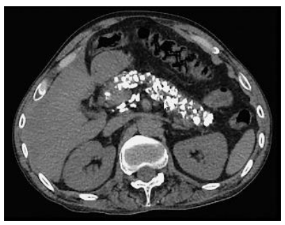
Homem, 45 anos, etilista por 10 anos. Na investigação de uma dor abdominal, realizou a TC abaixo.
Qual sintoma NÃO é esperado nessa situação?

Qual sintoma NÃO é esperado nessa situação?

Provas
Questão presente nas seguintes provas
Qual dos tumores pancreáticos abaixo é melhor tratado, quando possível, com cirurgias de enucleação?
Provas
Questão presente nas seguintes provas
Homem 24 anos. Vítima de acidente motociclístico há 1 h (veículo elétrico+ sem capacete). Admitido na emergência
com Glasgow de 9 e tríade de Cushing. Apresentava hemotímpano E., paralisia facial E. e sinal de Battle +
otoliquorreia D.
Qual dos sinais clínicos apresentados NÃO é característico de fratura de base craniana?
Qual dos sinais clínicos apresentados NÃO é característico de fratura de base craniana?
Provas
Questão presente nas seguintes provas
Mulher 44 anos. Procurou o proctologista. Dor + secreção anal há 2 meses. No exame físico (realizado em posição de
litotomia), identifica-se orifício fistuloso posterior à linha médio-anal com saída de secreção purulenta.
Podemos concluir que se trata de
Podemos concluir que se trata de
Provas
Questão presente nas seguintes provas
Homem 55 anos. Portador de esteatose hepática moderada, realizou USG de acompanhamento que evidenciou lesão
polipoide em vesícula biliar de 0,6 cm + ausência de cálculos.
O hepatologista encaminhou para o cirurgião.
Qual a conduta adequada a ser tomada?
Qual a conduta adequada a ser tomada?
Provas
Questão presente nas seguintes provas
Um homem de 33 anos, tabagista de longa data, procura atendimento por queimação no peito que ocorre,
principalmente, após refeições e ao se deitar. Ele não apresenta dor ao engolir, perda de peso ou vômitos.
Com base nesse quadro, qual é a melhor abordagem inicial?
Com base nesse quadro, qual é a melhor abordagem inicial?
Provas
Questão presente nas seguintes provas
Sobre a Doença Pulmonar Obstrutiva Crônica, está INCORRETO afirmar que
Provas
Questão presente nas seguintes provas
Sobre as causas de hiponatremia, está INCORRETO afirmar que
Provas
Questão presente nas seguintes provas
Sobre o diagnóstico diferencial da meningite, está INCORRETO afirmar que
Provas
Questão presente nas seguintes provas
Sobre a terapia medicamentosa na doença arterial coronariana, está INCORRETO afirmar que
Provas
Questão presente nas seguintes provas
Cadernos
Caderno Container