Foram encontradas 361 questões.
Mulher, 33 anos, em uso de anticoncepcional oral há 12 anos. Realizou USG de abdome que identificou lesão
compatível com adenoma hepático.
Qual subtipo tem maior risco para transformação maligna?
Qual subtipo tem maior risco para transformação maligna?
Provas
Questão presente nas seguintes provas
Em relação à resposta contida na alternativa C, (questão 33), qual o marcador tumoral e o quimioterápico são
usados para tratar esse senhor de 66 anos?
Provas
Questão presente nas seguintes provas
Qual dos quadros clínicos abaixo exemplifica a 2ª causa mais comum de obstrução intestinal de delgado?
Provas
Questão presente nas seguintes provas
Homem 88 anos, Alzheimer e acamado. Apresenta distensão abdominal, desconforto e vômitos. O Rx é sugestivo de
Ogivie.
Qual condição abaixo é necessária para indicar o tratamento de descompressão colonoscópica?
Qual condição abaixo é necessária para indicar o tratamento de descompressão colonoscópica?
Provas
Questão presente nas seguintes provas
Ainda em relação à questão 30, podemos afirmar que a pressão de pulso é
Provas
Questão presente nas seguintes provas
Em relação ao caso, (questão 29), o ATLS classifica o choque hemorrágico em 4 classes.
Em relação à classe II, acima citada, NÃO devemos encontrar
Em relação à classe II, acima citada, NÃO devemos encontrar
Provas
Questão presente nas seguintes provas
Homem 61 anos, portador de cirrose hepática alcoólica. Apresentou hemorragia digestiva alta por varizes de
esôfago com quadro de choque hemorrágico grau II. EDA não conseguiu parar o sangramento e contactou com o
cirurgião.
Qual o tratamento adequado nessa situação?
Qual o tratamento adequado nessa situação?
Provas
Questão presente nas seguintes provas
Ainda em relação à paciente da questão 26, esta não tolerou a dieta enteral e precisou iniciar NPT. Após uma
semana, evoluiu com febre, calafrio e sinais flogísticos no sítio de punção.
Qual o microorganismo que mais comumente causa essa infeção?
Provas
Questão presente nas seguintes provas
Em relação ao caso acima, qual tratamento podemos indicar nessa situação?
Provas
Questão presente nas seguintes provas
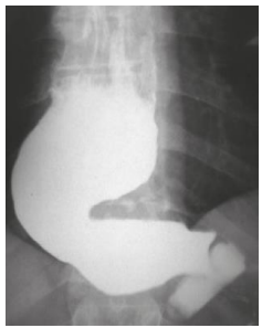
Mulher, 56 anos, portadora de megaesôfago grau IV (imagem abaixo). Admitida na enfermaria com desnutrição
grave. Após instalação de sonda nasoenteral e dieta, passou a apresentar exames laboratoriais compatíveis com
síndrome de realimentação.
Após realizar um ionograma, qual alteração foi identificada?

Após realizar um ionograma, qual alteração foi identificada?

Provas
Questão presente nas seguintes provas
Cadernos
Caderno Container