Foram encontradas 2.016 questões.
Sobre a avaliação por imagem do paciente com colecistite aguda, assinale a alternativa correta.
Provas
Sobre as lesões tumorais do ângulo pontocerebelar, assinale a alternativa correta.
Provas
Paciente masculino, de 14 anos, vem realizar ressonância magnética do encéfalo, que apresentou imagem típica de Megacisterna magna. Sobre esse diagnóstico, assinale a alternativa correta.
Axial T2

Provas
Sobre os principais sinais radiológicos da doença de Crohn, de sua atividade inflamatória e de suas complicações na tomografia computadorizada de abdome, assinale a alternativa correta.
Provas
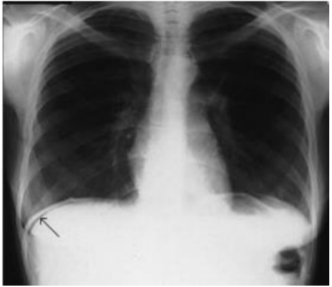
Em relação ao RX para avaliação de pneumoperitônio (vide imagem abaixo), qual é a melhor incidência?

Radiografia do tórax em posição ortostática demonstrando pequeno pneumoperitônio (seta).
Provas
Assinale a alternativa correta em relação à avaliação por imagem da apendicite aguda.
Provas
Em relação às lesões hepáticas focais, assinale a alternativa correta.
Provas
Conforme a avaliação do AVC agudo por tomografia computadorizada, qual dos seguintes achados é característico de evento agudo?
Provas
Quanto ao método de imagem de escolha no screening pré-tratamento trombolítico, na avaliação do AVC isquêmico agudo, assinale a alternativa correta.
Provas
Sobre o uso da tomografia computadorizada na avaliação do AVC agudo, assinale a alternativa correta.
Provas
Caderno Container